ВХОД ДЛЯ ПАЦИЕНТОВ
вверх
поиск
админ
главная
|
Ложный сустав плюсневых костей |
 |
 |
 |
Прислано Антон Андрианов 18 Декабрь 2007, 20:16
из
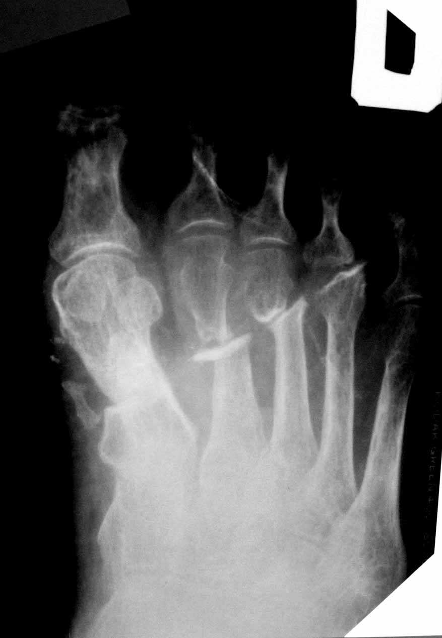
5 месяцев после тяжелой открытой травмы стопы
Обратился иногородний пациент 56 лет с ложным суставом плюсневых костей после открытого перелома. Имеется латентная инфекция-свищ закрылся месяц назад, умеренная отечность, плотные рубцы на тыле стопы, подвижность в ложных суставах незначительная, опороспособность стопы страдает.Как лучше взяться за лечение? Есть мысли о дистракции в аппарате. Высок риск через рубцы открывать линию перелома. Кто сталкивался с подобным?
Обратите внимание: Поля с жирными названиями обязательны.
Старайтесь отвечать в рамках обсуждаемой темы, а не начинать новые обсуждения.
Указывайте адекватную тему сообщения, чтобы было ясно, о чем оно.
Не послайте сообщений не по теме (оффтопик), раздраженных, грубых или обидных комментариев. Здесь это неуместно.
|