ВХОД ДЛЯ ПАЦИЕНТОВ
вверх
поиск
админ
главная
|
Контрактура локтевого сустава |
 |
 |
 |
Прислано Sergey Melashenko 18 Декабрь 2007, 21:46
из
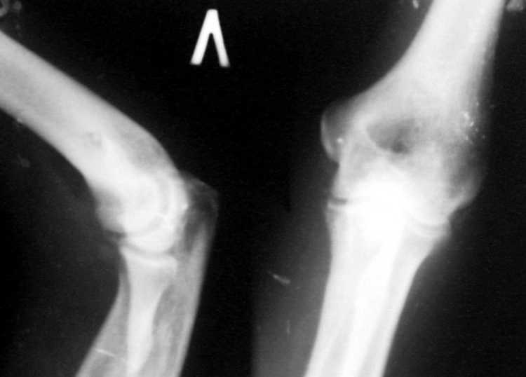
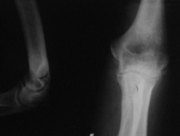
Поступил пациент, 47 лет. травма 15 сентября - вывих предплечья, репозиция. Фиксация 1 месяц.
До настоящего времени не обращался. Вот рентенограммы на 2-й и 3-й месяцы после травмы. Неврологии нет. Имеется контрактура локтевого сустава (сгибиние 90, разгибание 120). На снимках что-то похожее на гетеротопические оссификаты, такое впечатление. Как лучше восстановить функцию, возможно ли применить редрессацию? Все-таки локтевой сустав "капризный".
С ув. Sergey Melashenko, г. Запорожье
Обратите внимание: Поля с жирными названиями обязательны.
Старайтесь отвечать в рамках обсуждаемой темы, а не начинать новые обсуждения.
Указывайте адекватную тему сообщения, чтобы было ясно, о чем оно.
Не послайте сообщений не по теме (оффтопик), раздраженных, грубых или обидных комментариев. Здесь это неуместно.
|