Ответить
|
Re: Помогите дифференцировать.
Андрей Рубленко 23 Декабрь 2007, 00:42
|
похоже что это киста. а в месте перелома наверное все-таки отломок, а не "секвестр". я думаю КТ поможет в диф. дигностике.
|
[
Ответить ]
|
Re: Помогите дифференцировать.
Alexey Semenisty 23 Декабрь 2007, 11:09
|
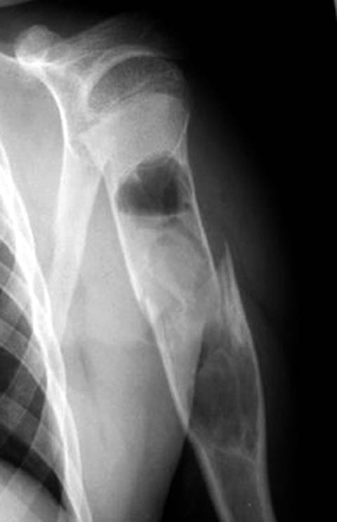
Здравствуйте, Виктор!
Рентгенологически патологический перелом шейки левой плечевой кости,
Обычный перелом с адекватным механизмом.
наличие секвестра,
Где Вы видите секвестр и что под этим термином подразумеваете? Может быть Вы имеете ввиду небольшой (2х1,5 см) отломок?
шаровидная полость в головке.
Это не шаровидная полость, а нормальное рентгеновское изображение ротированного проксимального отломка
До травмы - жалоб
небыло. При осмотре отек не выражен. Что бы вы сделали для уточнения
диагноза?
Для уточнения диагноза я бы убрал слово "патологический"
С уважением, А.Семенистый.
ГКБ № 13, Москва.
|
[
Ответить ]
|
Re: Помогите дифференцировать.
Виктор 23 Декабрь 2007, 11:11
|
ДОБРОГО ДНЯ orthoforum,
Однозначно перелом шейки плеча. не требуется никаких действий кроме гипсовой повязки.
-- З НАЙКРАЩИМИ ПОБАЖАННЯМИ, ВІКТОР
|
[
Ответить ]
|
Re: Помогите дифференцировать.
А.Фирсов 23 Декабрь 2007, 11:12
|
Перелом шейки плеча. Незначительная репозиция, контроль,гипс...
ТОО №3 МУЗ ГКБ№7 Фирсов А.П.
|
[
Ответить ]
|
Re: Помогите дифференцировать.
керимов артур 23 Декабрь 2007, 16:04
|
перелом скорее всего обычный, особенно если в анамнезе имела местот быть травма, "секвестр" - промужуточный ротированный отломок. Можно ничего не делать- обычная иммобилизация и в плановом порядке КТ плечевого сустава.
P.S хорошо бы было посмотреть на другие снимочки!!!
|
[
Ответить ]
|
Re: Помогите дифференцировать.
Waldemar Kindswater 23 Декабрь 2007, 17:26
|
Уважаемый Виктор,
Я не травматолог, занимаюсь травматологией конечностей только по неотложке.
По-моему это киста, похоже на энхондрому. Для уточнения диагноза достаточно обычного КТ.
Что касается секвестра, тут я не согласен. Если приглядеться, то это проэкционный феномен.
О тактике. Перелом нестабильный, здесь такие оперируются. Обоснование - комфорт, ранняя подвижность в суставе и тем самым профилактика анкилоза.
У этого пациента нужно будет заполнить полость спонгиозой.
С уважением
Waldemar
Germany
|
[
Ответить ]
|
Re: Помогите дифференцировать.
Отправитель: Viktor Kost 24 Декабрь 2007, 22:56
|
Уважаемый Waldemar!
Ваше мнение для меня очень важно.
В свое время я проходил AO Fellowship в городе Регенсбург и действительно видел как такие переломы у вас оперируются.
|
[
Ответить ]
|
|
Re: Помогите дифференцировать.
Viktor Kost 24 Декабрь 2007, 22:47
|
Дорогие коллеги, большое всем спасиба за советы!
Сегодня сделал контрольный снимок места перелома и дествительно отломок, который я принял за секвестр изменился, хотя полость возможной кисты сохраняется. Спорным остается наличие шарополости в головке плеча. Сделал также и противоположный сустав для сравнения. Возможности КТ в моей ЦРБ не имеется. В обласной центр ( 100 км. ) потерпевший ехать не очень стремится.
Данная полость на стороне поражения очень напоминает полость аневризмальной кисти. Кто нибудь втречал такую патологию у взросхих?
После гипса.JPG
144KB (147700 bytes)
|
[
Ответить ]
|
Re: Помогите дифференцировать.
Отправитель: Galina Diachkova 25 Декабрь 2007, 09:35
|
Это не полость и не секвестр. Остеопороз головки плечевой кости и фрагмент.С противоположной стороны (другая проекция)также зона остеопороза в области большого бугорка.
С уважением проф. G.V.Diachkova
|
[
Ответить ]
|
|
Re: Помогите дифференцировать.
Viktor Kost 24 Декабрь 2007, 22:50
|
И второй снимок
Противоположный сустав.JPG
136KB (140215 bytes)
|
[
Ответить ]
|
Re: Помогите дифференцировать.
Lev Lapidus 25 Декабрь 2007, 18:24
|
Добрый день уважаемый Виктор
Снимок выглядит нормальным. Обратите внимание, в каком положении он сделан.
Если во внутренней ротации - то это совершенно нормальная картина.
Lev Lapidus
|
[
Ответить ]
|
Re: Помогите дифференцировать.
Alexey Semenisty 25 Декабрь 2007, 18:40
|
Сделайте снимок здорового плечевого сустава в прямой проекции но с максимальной наружной ротацией или внутренней ротацией плеча и увидите в головке такую же "шарополость" с костной структурой ничем не похожую на аневризмальную кисту.
С уважением, А.Семенистый.
ГКБ № 13, Москва.
|
[
Ответить ]
|
Re: Помогите дифференцировать.
Отправитель: Александр Жужнев 27 Декабрь 2007, 00:32
|
Я согласен с уважаемыми А.Семенистым и Л.Лапидус,на мой взгляд проблема в рентгенукладке,у нас ретгенлаборанты тоже частенько грешат,особено по ночам -выдают такие "аневризмальные" кисты.
А относительно истинных аневризмальных кист,так их образование,как правило,сопровождается и клиническими проявлениями и жалобами соответствующими.
С уважением,Жужнев А.
|
[
Ответить ]
|
|
Re: Помогите дифференцировать.
Алишер Баховудинов 25 Декабрь 2007, 22:47
|
Доброго времени суток коллеги! У меня тоже создается впечатление, что это патологическое образование головки плеча. Думаю не будет большой трагедии, если сделать пункционную биопсию и отправить материал морфологам. По крайней мере можно будет окончательно определиться с тактикой. Все таки лечение в условиях гипсовой иммобилизации не самое лучшее решение проблемы. С уважением Алишер Баховудинов.
|
[
Ответить ]
|
Re: Помогите дифференцировать.
Djoldas Kuldjanov, M.D. 27 Декабрь 2007, 19:18
|

Дифференциальную диагностику надо проводить между однокамерной костной и аневризмальной кистой, но расположение в полости кисты тонкого,
линейного фрагмента кости, подтверждает диагноз однокамерной костной кисты.
"Упавший" фрагмент - патогномоническая подсказка к патологическому перелому, часть стенки падает в полость кисты и опускается вниз из-за
силы тяжести.
Подозрение о "шаровидной полости" в головке - это из-за укладки, и на представленном снимке подтверждение правильности рекомендации коллег.
McGlynn FJ, Mickelson MR, El-Khoury GY: The fallen fragment sign in unicameral bone cyst. Clin Orthop 1981 May;(156):157-9.
Killeen KL.: The fallen fragment sign Radiology 1998 Apr;207(1):261-2 ..
Struhl S, Edelson C, Pritzker H, Seimon LP, Dorfman HD: Solitary (unicameral) bone cyst. The fallen fragment sign revisited. Skeletal Radiol
1989;18(4):261-5.
В последнее время на страницах сайта появились тенденция к "упражнениям" в консервативных методах лечения переломов различной локализации.
Отличное решение при отсутствии возможности современной технологии и невозможности оперативного вмешательства из-за общего состояния.
При консервативном лечении при изолированных переломах для фиксации
плеча можно ограничиться обычной небольшой абдукционной подмыщечной
подушечкой, которая создает адекватную фиксацию и предупреждает
мягкотканые осложнения из-за ранних движений. Все полуфиксирующие
гипсовые повязки и торакобрахиальная гипсовая повязка для фиксации
проксимального плеча неудобны для больного и затягивают процесс
восстановления.
Сегодня, когда современные возможности намного опережают возможности
прошлого века, оперативное лечение являются более приемлемым даже у
пожилых больных. Хотя по снимкам трудно предположить (отличное качество
кости), что больному 69, и поэтому для быстрейшего восстановления
рекомендуется оперативное лечение.
Довольно длинный проксимальный конец позволит интрамедуллярную фиксацию
через малый разрез бескровно.
Из пластин, после очистки полости и аутографта,
Locking Proximal Humerus Plate от Hand Innovation
http://www.handinnovations.com/product.php?pg=prod&prodid=3
с возможностью установки пластины немного ниже, чем другие.
Djoldas Kuldjanov, MD
Department of Orthopedic Surgery
St. Louis University Medical Center
|
[
Ответить ]
|
Re: Помогите дифференцировать.
Отправитель: Никита Заднепровский 27 Декабрь 2007, 19:20
|
Здравствуйте, Джолдас.
own> Из пластин, после очистки полости и аутографта,
own> Locking Proximal Humerus Plate от Hand Innovation.
Не совсем понял. Там винты идут без резьбы на рабочей части? На картинке резьбовое соединение только на головке винта с пластиной, что создает угловую стабильность. И? Объяснения не нашел. Первый раз увидел такой дизайн.
Пожалуйста, просветите. :))
С уважением, Заднепровский Никита Николаевич
|
[
Ответить ]
|
Re: Помогите дифференцировать.
Отправитель: Djoldas Kuldjanov, M.D. 27 Декабрь 2007, 19:32
|
Там винты идут без резьбы на рабочей
части? На картинке резьбовое соединение только на головке винта с пластиной, что создает угловую стабильность. И?
Стандартные механические тесты, проведенные доктором Jorge Orbay из Майами, показали, что
внезависимо от наличия резьбы, шурурпы (Peg)
заблокированные в пластине и в различных направлениях механически создают угловую стабильность.
Набор инструментария от Hand Innovation позволяет
применить обычные кортикальные или
спонгиозные шурупы вместо (peg) безрезьбовых.
Др. Orbay один из первых разработал и применил DVR, пластину для фиксации дистальных переломов луча из волярного доступа. На сайте имеется
техника применения пластины.
За его компанию из 120 человек в основном разработчики и дистрибютеры, недавно DePuy заплатил 150 миллионов, что доказывает популярность его продукта среди ортопедов.
При применении других пластин с угловой стабильностью для установки проксимальных, почти
горизонтальных шурупов, необходимо расширить доступ выше проксимально.
На этой пластине имеются возможности введения шурупов косо в 130 градусов, что позволяет уменьшить операционный доступ.
|
[
Ответить ]
|
Re: Помогите дифференцировать.
Отправитель: А.Миронов(Новокузнецк) 28 Декабрь 2007, 20:25
|
Уважаемый Djoldas!
мне показалась, что пластина сильно напоминает LPHP от Synthes, а если её немного "подогнуть" то и установить можно дистальнее рекомендованного положения и винты пойдут в головку.
С Уважением А.Миронов(Новокузнецк)
|
[
Ответить ]
|
Re: Помогите дифференцировать.
Отправитель: Djoldas Kuldjanov, M.D. 28 Декабрь 2007, 22:40
|
мне показалась, что пластина сильно
напоминает LPHP от Synthes, а если её немного "подогнуть" то и установить можно дистальнее рекомендованного положения и винты пойдут в головку.
Абсолютно верно, все то же самое. Разработчики акцентируют, что их пластина сидит немного ниже и
облегчает установку заднего проксимального шурупа без необходимости ротировать конечность.
Для подгонки пластин с угловой стабильностью необходимо предварительно вставить шурурпы в резбу, иначе деформацией можно нарушить своиства пластины.
Не знаю насчет "подогнуть" эти преконтурированные пластины очень жесткие и трудно поддаются к изгибу.
|
[
Ответить ]
|
Re: Помогите дифференцировать.
Отправитель: А.Миронов(Новокузнецк) 29 Декабрь 2007, 11:43
|
Уважаемый Djoldas!
>Для подгонки пластин с угловой стабильностью необходимо предварительно вставить шурурпы в резьбу
согласен или установить резьбовой направитель сверла
>Не знаю насчет "подогнуть" эти преконтурированные пластины очень жесткие и трудно поддаются к изгибу.
Я как раз имел ввиду LPHP, профиль её достаточно низкий импичмента при правильной установки не вызывает, а если нужно установить её ниже?, легко можно её до-моделировать в обл "шейки" недеформируя отверстия пластины. В общем в чём инновация показанной платы непонятно.
С Уважением А.Миронов(Новокузнецк)
|
[
Ответить ]
|
|
Re: Помогите дифференцировать.
Андрей Волна 28 Декабрь 2007, 19:16
|
Обычный перелом. Обычная шейка.Обычная головка.Обычное лечение.
|
[
Ответить ]
|
( Ответить )
|
|