AOTRAUMA.ORG Центр Илизарова  

Ортопедия и травматология Общие вопросы/General questions Help Информационные технологии в медицине
 вверх
 отправить
 поиск
 админ
 главная


повреждение лучевого нерва??
Ортопедия и травматология Отправлено Юрий Сиваков 26 Декабрь 2007, 21:55
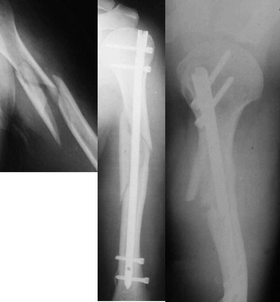
Уважаемые коллеги! Необходима консультация.Больной 52 лет.Травма 02.10.2007г.Операция-19.10.2007г.
Сразу после операции-нарушения кожной чувствительности по наружной поверхности н\3 предплечья,кисти,1 и 2 пальцев кисти,ограничение активных движений в лучезапястном суставе при сжатом кулаке.При электромиографии-лучевой нерв 4% от нормы. Через два месяца после операции беспокоят боли в месте перелома в покое и при движениях в плечевом суставе. Отсутствие положительной динамики в восстановлении кожной чувствительности и объеме движений в л-з суставе.Дальнейшая тактика-ждать?, оперировать? Спасибо.

<  |  >

 

  • Сообщения о Ортопедия и травматология
  • Также Юрий Сиваков
  • Связаться с автором
  • Ответить

    Re: повреждение лучевого нерва??
    Alexander Chelnokov 27 Декабрь 2007, 19:42
    Лучевой нерв контузили скорее всего при введении нижних винтов. Коллегам доводилось встречать даже дефект лучевого нерва в результате его наматывания на сверло, поэтому в дистальном отделе плеча безопаснее вводить винты в сагиттальной плоскости.

    ЭМГ в раннем сроке должна показывать лишь блок проводимости, без явного указания на степень повреждения.

    Очевидно, наиболее рациональной в представленной ситуации была бы отсроченная ревизия (при отсутствии признаков восстановления функции нерва после 4 мес.)

    [ Ответить ]

    Re: повреждение лучевого нерва??
    Vladimir Storozhenko 28 Декабрь 2007, 20:57
    уважаемый Юрий. при контузии нерва за два месяца должны были быть хотя бы признаки положительной динамики. При отсутствии оных имеет место скорее всего более серьезные поврежденя. на мой взгляд не стоит тянуть с ревизей нерва.
    [ Ответить ]

    Re: повреждение лучевого нерва??
    Евгений Чекашкин 28 Декабрь 2007, 20:58
    Если не наблюдается клинических признаков восстановления моторной и сенсорной функции лучевого нерва в течении 8 недель, подумайте о сухожильной транспозиции сгибателей на нефункционирующие разгибатели. Техника транспозиции при дистальном и проксимальном парезах подробно описана в
    Кэмпбэл оперативная ортопедия. Причина ятрогенного повреждения скорее всего связана с проведением
    дистальных блокирующих винтов - абсолютно согласен с Александром.

    Успехов,
    Евгений Чекашкин
    [ Ответить ]

    • Re: повреждение лучевого нерва??
      Отправитель: Alexander Chelnokov 28 Декабрь 2007, 21:00
      Аксон растет ~1 мм/сут., так что 8 недель будет достаточно для восстановления только после самых дистальных контузий. Поэтому 4 мес., а то
      и 5 - более реалистичный срок.

      [ Ответить ]
      • Re: повреждение лучевого нерва??
        Отправитель: В.Машталов 28 Декабрь 2007, 21:02
        4 месяца минимальный срок притятия решения для ревизии нерва.
        Сухожильная пластика дело далекого будующего , есть еше невролиз, шов, пластика нерва.
        С целью предупреждения повреждения нерва при дистальном блокировании, особенно если есть необходимость блокирования в нескольких плоскостях (стандартно блокируем в сагитальной плоскости) при низких оскольчатых
        переломах определяем локализацию нерва с помощью нейростимулятора Stimuplex, который используют анестезиологи для проводниковой анестезии В зоне
        проведения винта веерообразно до 1 см в диаметре пунктируем иглой аппарата до получения отклика, нет отклика нерва нет проблем, блокируем со спокойной душой. Целесообразно использовать сверло с укороченной частью в зоне канавок, до 5 мм, не накручивает мягкие ткани.

        В Вашей ситуации совет ждать, лучевой нерв способнее, чем мы о нем думаем!
        С ув. В. Машталов

        [ Ответить ]
      • Re: повреждение лучевого нерва??
        Отправитель: Evgueny Tschekashkine 11 Январь 2008, 01:52

        Sasha,

        Sporit ne o chem - mozhno zdat i dolshe.
        Vopros v drugom - est li priznaki regeneratzii ( hotya bi Tinnel sign) ili net nikakoi dynamiki.
        K schastiu postop neuropraxia redko vstrechatsya u mnoi nabludaemih bolnih, no u vseh nabludaemih otmechalis progressivnoe vosstanovlenie kozhnoi chuvstvitelnosti i v poslednuyu ochered dvigatelnaya function.
        Za 4- 5 mesaytsev ozhidanya chuda sila functioniruuschih sgibatelei kisti i paltsev umenshaetsa, chto otrazhaetsa na resultate transpositsii.
        A po semu ne soglasen s tvoimi srokami.
        S nastupauschim Novim Godom !
        Kind Regards,
        Evgueny Tchekashkine

        [ Ответить ]
    Re: повреждение лучевого нерва??
    Юрий Алексеевич Булахтин 29 Декабрь 2007, 06:20
    Уважаемый Юрий!
    Согласен с теми коллегами, кто советует вопрос о ревизии нерва решать через 4-5 мес после операции. Лучевой нерв в плане восстановления самый благодарный. Но только не ждите пассивно - в период реабилитации выполняйте необходимое лечение и обязательно иммобилизацию кисти, чтобы не отвисала (сейчас вполне доступны всякие брейсы). Кроме этого можно попробовать параневральную блокаду с дипроспаном как диагностический тест - если от "анатомии" что-то осталось - получите явное улучшение (увы, очень кратковременное). Ну а шить, при полном перерыве, можно и через пять месяцев.
    Удачи и терпения.
    Юрий Алексеевич Булахтин
    [ Ответить ]

    Re: повреждение лучевого нерва??
    Юрий Сиваков 09 Январь 2008, 23:13
    Уважаемые коллеги,большое спасибо всем ответившим. Почти общее мнение и других консультантов - с операцией подождать еще некоторое время.


    [ Ответить ]

    Re: повреждение лучевого нерва??
    Мажид 12 Июль 2011, 02:28
    Ятрогенное травмотическое полное повреждение левого лучевого нерва в нижней трети плеча.Операция была проведена 6.07.2011.г. требуеться пластическое вмешательство по пересадки нерва.В течение какого времени нужно провести операцию. Спасибо
    [ Ответить ]


    ( Ответить )

    Powered by Zope  Squishdot Powered MedLink
    Посетитель: 0000124
      "По форме правильно, а по существу - издевательство" В.И.Ленин
    ©2001-2019Orthoforum Coordinator.
    [ Главная | Отправить сообщение | Поиск | Админ ]