вверх
отправить
поиск
админ
главная
|
Отправлено Зинчук Игорь 02 Январь 2008, 19:51
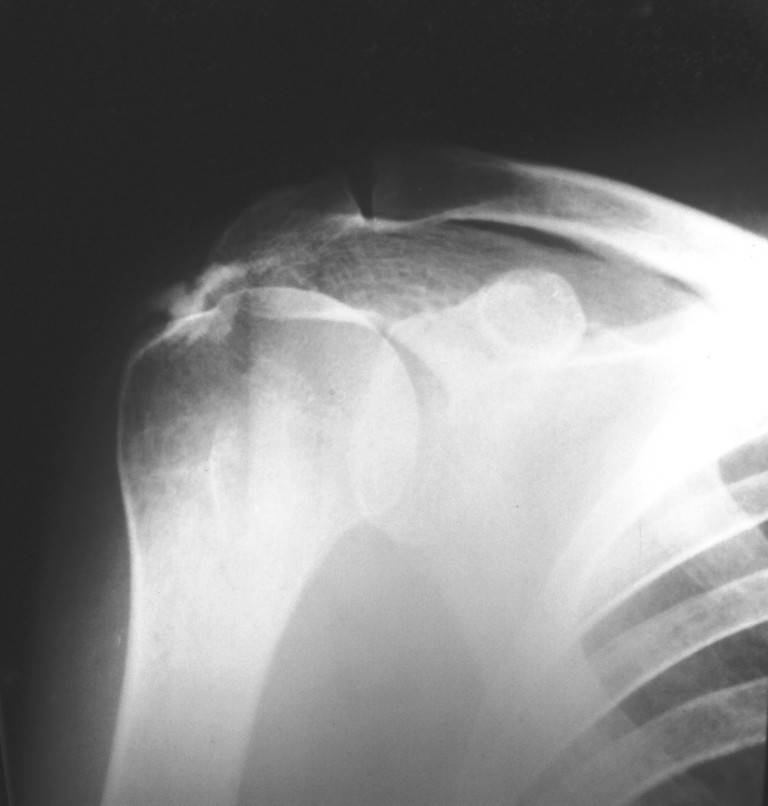
Уважаемые коллеги! Поздравляю всех с наступившим Новым Годом, наступающим праздником Светлого Рождества Спасителя, и прошу помощи в виде ваших комментариев по представленному мною рентгеновского снимка правого плеча. Женщина, 1959 г.р.. Жалоб на функцию правого плечевого сустава не предъявляет, движения в полном объеме, активные и пассивные без ограничений и боли. Меня смущает на данном снимки состояние головки.Сам снимок был проведен с целью контроля состояния сустава, так как больная в 2003 году проходила у меня лечение по поводу правостороннего осифицирующего тендинита надостной мышцы. Если потребуются снимки 2003г. скажите и я размещу.
<
|
>
|
|
Ответить
|
Re: Снимок плечевого сустава
Сергей Киселев 03 Январь 2008, 18:43
|
необходимо представить рентгеновские снимки с отведением
|
[
Ответить ]
|
Re: Снимок плечевого сустава
Отправитель: Зинчук Игорь 04 Январь 2008, 17:57
|
Я рекомендовал, но больная не хочет "светится", как она говорит, тем более что правое плечо её сейчас не беспокоит. На данный момент лечим осифицирующий субакромиальный бурсит с левой стороны. Перед тем как прийти на лечение, больная самостоятельно в поликлинике сделала снимок левого плечевого сустава, помня по опыту лечения в 2003г. что я все равно заставлю сделать снимок только на нормальном аппарате и нормального качества. Она так сказать решила несколько удешевить стоимость рентгенографии.
Меня смущает на представленном снимке <просветление> в области бугра и головки плеча. Или это только мои необоснованные сомнения?
|
[
Ответить ]
|
|
Re: Снимок плечевого сустава
Антон Бехтерев 04 Январь 2008, 00:58
|
А что вас смущает7 Остеопороз бугорка? Так это следствие хронического инсерционита вращателной манжеты. Сделайте снимок в более мягком, чем здесь режиме.
|
[
Ответить ]
|
Re: Снимок плечевого сустава
Отправитель: Зинчук Игорь 04 Январь 2008, 19:01
|
Да, это и смущает, нет ли там признаков формирования полости? Дополнительные снимки больная не хочет делать.
|
[
Ответить ]
|
Re: Снимок плечевого сустава
Отправитель: Анатолий 09 Январь 2008, 15:15
|
Если пациент отказывается от назначенного лечащим врачом дообследования,(без которого, по его мнению, точный диагноз не поставить), то врач с чистой совестью может "указать на дверь" такому пациенту и будет прав.
|
[
Ответить ]
|
|
Re: Снимок плечевого сустава
Андрей Верховский 04 Январь 2008, 09:12
|
"Жалоб на функцию правого плечевого сустава не предъявляет, движения в полном объеме, активные и пассивные без ограничений и боли.снимок был проведен с целью контроля состояния сустава, так как больная в 2003 году проходила у меня лечение по поводу правостороннего осифицирующего тендинита надостной мышцы." - все таки непонятно, с какой целью сделана рентгенография, и были ли ли для нее показания. К сожалению снимок не позволяет что либо судить конкретно (скорее всего качество потеряно при переформатировании). Конечно желательно бы разместить старые и свежие снимки хорошего качества.
|
[
Ответить ]
|
Re: Снимок плечевого сустава
Отправитель: Зинчук Игорь 04 Январь 2008, 19:13
|
Снимок проводился с целью контроля. Больная обратилась по поводу аналогичного процесса только в левом плече. Я попросил сделать снимок также и правого сустава, так как лечил её в 2003г. с аналогичным диагнозом, но только с правой стороны.
По поводу качества я согласен, но я не могу заставлять больную платить деньги за снимки сделанные на качественном оборудовании, если она может сделать бесплатно в поликлинике...

По вашей просьбе размещаю снимок 2003г.
|
[
Ответить ]
|
|
Re: Снимок плечевого сустава
Djoldas Kuldjanov, M.D. 05 Январь 2008, 08:52
|
"Меня смущает на представленном снимке "просветление" в области бугра и головки плеча. Или это только мои необоснованные сомнения?"
На первый взгляд непохоже на агрессивный процесс. Возможно, из-за качества снимков, но мне кажется, что на лопатке и на ключице имеются какие то аномальные пятна?
Отсутствие процесса в других участках тела и отсутствие жалоб, наличие характерной локализации, говорит о том, что процесс напоминает ?псевдокисту" головки плеча.
Кроме головки плеча "псевдокиста" встречается еще в передних отделах пяточной кости.
На фоне клинического благополучия, процесс обычно диагностируется в случайных рентген исследованиях.
Из-за отсутствия типичного воспалительного процесса в костномозговой части в Магнето Резонансовых Исследованиях "псевдокиста" показывает нормальный сигнал, поэтому первоочередно необходимо сделать качественные ренген снимки, которые увеличат шансы заметить случайные ?аномальные" находки и установить правильный диагноз.
|
[
Ответить ]
|
Re: Снимок плечевого сустава
Galina Diachkova 10 Январь 2008, 00:26
|
Конечно, снимки с отведением не помешали бы, но кроме остеопороза у больной других патологических изменений нет
С уважением Г.В.Дьячкова
|
[
Ответить ]
|
Re: Снимок плечевого сустава
Зинчук Игорь 14 Январь 2008, 12:01
|
Уважаемые коллеги! Всем, кто высказался, огромное спасибо за помощь.
С наилучшими пожеланиями Зинчук И.
|
[
Ответить ]
|
( Ответить )
|
|