вверх
отправить
поиск
админ
главная
|
Повреждение передней крестообразной связки |
 |
 |
 |
Отправлено Александр Жужнев 04 Январь 2008, 01:25
Уважаемые коллеги с Наступившим Новым Годом!Нужна консультативная помощь: больной 13 лет,травма 29.12.07.-ротационный механизм(упал на коньках)... Жалобы на боли в правом коленном суставе,невозможность перемещаться с полной нагрузкой на правую н/конечность.Клинически отёчность сустава незначительная,патологической девиации голени не выявлено,симптомов менископатии-также не выявлено,отчётливо определяется симптом "переднего выдвижного ящика",тест Лахмана(+),всё исследовалось в сравнении со здоровым суставом(речи о гипермобильности коленных суставов не идёт).Признаков гемартороза сустава нет(при поступлении),обратился через два часа после травмы.На рентгенограммах в двух стандартных проекциях-присутствуют костные изменения(разрежение плотности костной ткани в области наружного мыщелка бедра).Функциональных снимков не производилось.Те что есть постараюсь выложить в ближайшее время.В своей практике с повреждением "крестов" у детей не сталкивался,в доступной мне литературе ничего ценного найти не удалось.Сейчас у больного произведена фиксация гипсовой повязкой,УВЧ,ЛФК свободных от иммобил.суставов и т.п)Возможности артроскопии в больнице нет.Дальнейшая тактика ведения больного? Буду благодарен за любую помощь и ссылку на литературные источники.С наилучшими пожеланиями Жужнев Александр
<
|
>
|
|
Ответить
|
Re: Повреждение передней крестообразной связки
Андрей Верховский 04 Январь 2008, 13:05
|
Уважаемый Александр! Прежде всего нужно определиться с диагнозом, ведь это и есть руководство к действию (то есть то о чем Вы просите). Иммобилизация - это хорошо, но лучше конечно не гипсовой лонгетой (а тем более не повязкой), а жестким ортезом (от в/3 бедра до н/3 голени) - при условии исключения перелома. Необходимо сделать МРТ коленного сустава, если в данном месте недоступна, направить в ближайшее место по возможности. Если же этого сделать невозможно, опираться на свой личный опыт и опыт коллег. Клинические данные во многих случаях могут быть информативными до 80 - 85 %. Мое личное мнение - диагностическая артроскопия - не метод выбора для ребенка, другое дело лечебная артроскопия. По поводу тактики - нужно в первую очередь исключить повреждение менисков, внутрисуставной (в том числе субхондральный) перелом. Если действительно имеется повреждение ПКС то само повреждение не является показанием для оперативного лечения в данном случае. Показанием будет являться возможная выраженная передне-задняя нестабильность коленного сустава - что маловероятно при достаточной иммобилизации и последующей реабилитации. Так что мое, повторюсь, сугубо личное мнение - не нужно лечить, лишь бы лечить (зачем УВЧ, ЛФК свободных суставов??). Так что в данном случае пока следует говорить о диагностической тактике, а не о тактике ведения.
С уважением Андрей Верховский.
|
[
Ответить ]
|
Re: Повреждение передней крестообразной связки
Отправитель: Александр Жужнев 04 Январь 2008, 19:54
|
Спасибо за комментарий уважаемый Андрей!
По поводу обследования,нам и так ясно,что МРТ-это "золотой" стандарт,аналогично как и разница между диагностической и лечебной артроскопией-к великому сожалению,ни то ни другое нам на сегодняшний день не доступно.После праздников обязательно направим в областной центр на МРТ.Артрокопические вмешательства у нас в области детям не проводятся.Протезно-ортопедическое предприятие тоже находится в области(280км),так что по бедности фиксируем чем есть(кстати,что Вас удивило в плане фиксации гипсовой повязкой,а не лонгетой,если больной лежит в стационаре под мед.наблюдением;чем гипсовый тутор с окном на коленном суставе хуже лонгеты?)Моё мнение, судя по рентгенограммам я не могу исключить у больного отрыв места прикрепления крестообразной связки)
А клинически,у больного как раз избыточная подвижность голени кпереди и прилично,это и настораживает.Это вообщем-то кроме болей практически и вся клиника.
Нас интересует : при наличии избыточной подвижности голени у ребёнка такого возраста можно ли на первом этапе(после исключения другой патологии)вести его консервативно(гипсовой иммобилизацией,ортезом)? Срок иммобилизации?Не будет ли упущено время для оперативного лечения в случае,если нестабильность будет сохраняться после иммобилизации?Какие нюансы в лечении данной патолгии у детей?Каковы абсолютные показания к оперативному лечению у детей,где прочитать?
С уавжением Жужнев А.
|
[
Ответить ]
|
|
Re: Повреждение передней крестообразной связки
Александр Жужнев 04 Январь 2008, 18:53
|
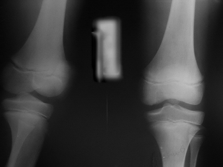
Снимок коленного сустава в приложении.
Приношу извинение за качество.

P.S В описании больного ошибка в возрасте,пациенту 11 лет.
|
[
Ответить ]
|
Re: Повреждение передней крестообразной связки
Отправитель: Dr. Shakhin, M.D. 04 Январь 2008, 23:24
|
Уважаемый Александр! У детей этого возраста практически не бывает повреждений креста. Вместо этого отрывается место его прикрепления - отрыв межмыщелкового возвышения большеберцовой кости. Обычно его хорошо видно на рентгенограмме. На представленных снимках строгой боковой проекции нет, судить об отрыве межмыщелкового возвышения нельзя. Если есть отрыв ММВ - артротомия, открытая репозиция, костный шов рассасывающимися материалами (толстая нить Викрил и т.п.). Мы бы пересняли боковую проекцию. С уважением!
|
[
Ответить ]
|
Re: Повреждение передней крестообразной связки
Отправитель: Александр Ельцин 11 Январь 2008, 04:32
|
Уважаемый коллега, на чем основано Ваше категоричное заявление о том, что у детей не бывает повреждений "креста"? Поделитесь своим опытом, - сколько детей с травмой Вы оперируете в год, сколько из них с повреждением ПКС и т.д.
А теперь мое личное мнение о данном клиническом случае. Провести консервативно, - гипс, далее восстановление движений и ЛФК (раз нет возможности сделать артроскопию), а потом уже обследовать за 280 км, - делать МРТ, оценивать клинику и т.д.
И еще, - категорически! - не делать артротомию у детей по поводу повреждения межмыщелкового возвышения.
Комментарии по mail/
Спасибо. Александр Ельцин. Детская травматология ЦИТО.
|
[
Ответить ]
|
Re: Повреждение передней крестообразной связки
Отправитель: Богатов Виктор 19 Январь 2008, 10:50
|
Полностью согласен с коллегами из ЦИТО. Из опыта сотрудников клиник травматологии, артрологии Саратовского НИИТО и клиники детской хирургии Саратовского медуниверситета, де6ти и подростки довольно часто рвут крестообразные связки, причём в ряде случаев с отрывом межмыщелкового возвышенияю В данных случаях целесообразно выполнить артроскопию, которая поможет определиться с той или иной тактикой. Не исключаю пластику ПКС из связки надколенника. Подростки хорошо перносят этот вид опрерации. Зоны роста практически не страдают.
|
[
Ответить ]
|
|
( Ответить )
|
|