вверх
отправить
поиск
админ
главная
|
Comminuted fracture proximal humerus |
 |
 |
 |
Отправлено Dr Neeraj Bijlani 19 Январь 2008, 11:50
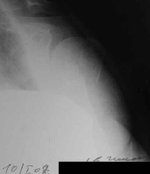
Hello,I am presenting a case of 80 year old male patient right handed known case of hypertension, diabetes and history of CVA 2 years back had a fall in the hosue 10 days back and came to me for pain and ecchymosis around the right shoulder. Xray shows evidence of comminuted fracture proximal humerus extraarticular. He is a doctors father and the doctor wants to know is there any minimally invasive procedure we can do ... I have advised him to go for complete surgery in the form of the AO locking plate under general anesthesia. He is a little reluctant for complete general anaesthesia. My questions to the house is ...1. Is there any other option besides the locking plate ?? (Less invasive) 2. If he is not medically fit for surgery, then can we leave him alone if yes what are the chances of going it into non union? Awaiting your reply Dr Neeraj Bijlani
<
|
>
|
|
Ответить
|
Re: Comminuted fracture proximal humerus
Abdurashid Turaev 20 Январь 2008, 23:20
|
Уважаемый коллега. В таком возрасте и при не согласии на опер. лечении, я думаю подушечка в подмышку , надеть брейс и пусть ходить на здоровье в " биологической дистракции "., или я ни то сказал?
С уважением Абдурашид.
|
[
Ответить ]
|
Re: Comminuted fracture proximal humerus
Иван Сиротин 21 Январь 2008, 00:03
|
Dear Dr. Neeraj Bijlani!
We don’t see the nonunion in this part of humerus to often. If hi has now not very bad rate of motion in the joint, may by you can try a conservative treatment with the traction cast bandge for the first time (1-2 weeks), and then the intensive physiotherapy. For the operative treatment I would like to take the Proximal Humeral Nail if it is possible (not an intraarticular fracture). This implant is by my opinion less invasive.
Best regards, Ivan Sirotin.
Russian State Medical University
|
[
Ответить ]
|
Re: Comminuted fracture proximal humerus
Е Халиман 21 Январь 2008, 11:46
|
How about Coldwell type plaster cast or something like that? With early passive motions.
|
[
Ответить ]
|
Re: Comminuted fracture proximal humerus
Alexander Chelnokov 21 Январь 2008, 22:17
|
Dear Neeraj,
DNB> My questions to the house is ...
DNB> 1. Is there any other option besides the locking plate ?? (Less invasive)

CT scans would be useful to evaluate the head.
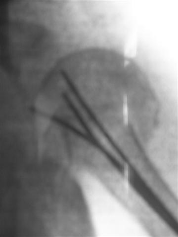
Another option could be closed nailing, see an example, the surgery was done 2 days ago. In common such surgeries are performed under regional anesthesia, not general.
One more option can be fixation by V-shape stressed wires.
DNB> 2. If he is not medically fit for surgery, then can we leave him
DNB> alone if yes what are the chances of going it into non union?
Fragments now look severely displaced.
|
[
Ответить ]
|
Re: Comminuted fracture proximal humerus
Отправитель: George Thomas 21 Январь 2008, 22:33
|
The fracture is completely displaced in the axial view. It is probably possible to align it with the patient in the vertical position, i.e. sitting or standing. However, I would use a locking plate for the tremendous pain relief it offers.

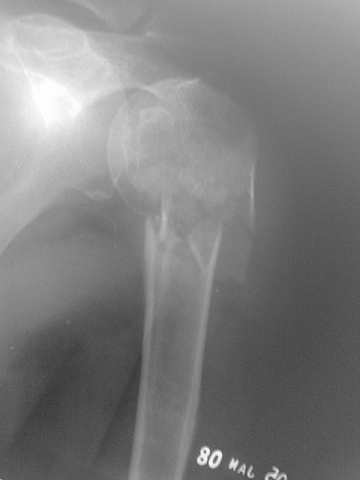
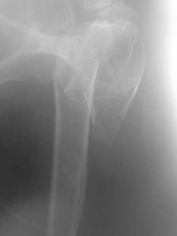
I am attaching the radiographs of the mother of a doctor. She has chronic renal failure for >10 years, diabetes mellitus and coronary artery disease. Age 62. She was offered the options of non-surgical management in a sling and surgery with a locking plate. She was given Tramadol for pain relief. Five days after injury, patient requested surgery, because of pain, inability to move without pain.
The reduction is not perfect. The patient is very small made, and it was difficult to bring the plate proximally without impingement in abduction.
Pain relief after surgery was early and sustained.
George Tomas
Chennai, India
|
[
Ответить ]
|
Re: Comminuted fracture proximal humerus
Отправитель: Alexander Chelnokov 21 Январь 2008, 22:38
|
George Thomas пишет:
> The fracture is completely displaced in the axial view. It is probably
> possible to align it with the patient in the vertical position, i.e.
> sitting or standing. However, I would use a locking plate for the
I agree that this reduction is not perfect. The gap may later result with nonunion. Such or even better reduction can be reached without site
opening as you mentioned. Locking plates are positioned as less invasive, why so long incision was - even longer than plate?
You would use locking plate in the discussed case because it is somewhat better comparatively to locked nail? Or just because you get accustomed
to use plates, or proximal humeral nails are not available around, or because of some other reason?

Pls compare wound size visible at x-rays of your example with ones after typical closed nailing of the proximal humerus.
|
[
Ответить ]
|
Re: Comminuted fracture proximal humerus
Отправитель: George Thomas 21 Январь 2008, 22:46
|
Dear Alex,
>>I agree that this reduction is not perfect. The gap may later result
with nonunion. Such or even better reduction can be reached without site
opening as you mentioned. Locking plates are positioned as less
invasive, why so long incision was - even longer than plate?
In the proximal humerus, the locking plate is generally introduced through an open incision of the type that I have used. The complex muscle attachments at the proximal end of the humerus, make it difficult to position the plate without opening.
>>You would use locking plate in the discussed case because it is somewhat
better comparatively to locked nail? Or just because you get accustomed
to use plates, or proximal humeral nails are not available around, or
because of some other reason?
Proximal humerus nails are available in India
The reason I prefer the locking plate for proximal humerus fractures is that the rotator cuff muscles have to be reattached, and that is possible with the plate and not the nail. I am not sure if they are detached in the present case. If they are not, then the nail is certainly a less invasive option.
Best regards,
|
[
Ответить ]
|
|
Re: Comminuted fracture proximal humerus
Nuno Craveiro Lopes 21 Январь 2008, 23:11
|
Bijlani,
This fx need to be manipulated, reduced and fixed. We developed a minimally invasive ex fix with Ilizarov parts to fix it, we call it “Spider”, which can hold 4 fragments.

Attaching a case.
Best regards,
Nuno Craveiro Lopes
|
[
Ответить ]
|
Re: Comminuted fracture proximal humerus
Отправитель: Christian Veillette 21 Январь 2008, 23:19
|
What is your postoperative protocol for the Spider?
How well do patients move their arms with the Spider in place?
Interesting.
CV
****************************************
Christian Veillette M.D., MSc., FRCSC
Shoulder and Elbow Reconstructive Surgery
Toronto Western Hospital, University Health Network
|
[
Ответить ]
|
|
Re: Comminuted fracture proximal humerus
Michael Markushevich 26 Январь 2008, 19:23
|

Cood day colleguaes! In this case I'd like to try
"palm three" technique. To addition for this may be need bone suture through mini transdeltoid approach.
Best regards Michael.
|
[
Ответить ]
|
Re: Comminuted fracture proximal humerus
Отправитель: George Thomas 28 Январь 2008, 22:06
|
Does not the greater tuberosity require suture or fixation?
|
[
Ответить ]
|
|
( Ответить )
|
|