ВХОД ДЛЯ ПАЦИЕНТОВ
вверх
поиск
админ
главная
|
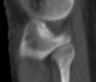
Остеосинтез при импрессионном переломе заднего отдела наружного мыщелка tibia? |
 |
 |
 |
Прислано Данил Близнец 21 Январь 2008, 17:31
из УНИИТО
Здравствуйте, уважаемые коллеги!
Подскажите, пожалуйста, какой выбрать доступ и способ фиксации при импрессионном переломе заднего отдела наружного мыщелка большеберцовой кости.
Женщина 40 лет, травму получила 02.01.2008, катаясь на горных лыжах.
Есть ли здесь необходимость использовать задний доступ, или можно справиться через наружный? Есть ли шансы сделать закрыто - под ЭОП через медиальное "окошко" поднять забойником суставную поврехность?
Какой лучше использовать фиксатор?
Спасибо.
Обратите внимание: Поля с жирными названиями обязательны.
Старайтесь отвечать в рамках обсуждаемой темы, а не начинать новые обсуждения.
Указывайте адекватную тему сообщения, чтобы было ясно, о чем оно.
Не послайте сообщений не по теме (оффтопик), раздраженных, грубых или обидных комментариев. Здесь это неуместно.
|