AOTRAUMA.ORG Центр Илизарова  

Ортопедия и травматология Общие вопросы/General questions Help Информационные технологии в медицине
 вверх
 отправить
 поиск
 админ
 главная


Перелом таза
Ортопедия и травматология Отправлено Anton V. Shakhin, MD 22 Январь 2008, 08:56
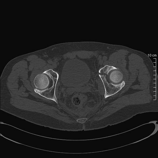
Уважаемые коллеги! Помогите, пожалуйста, определиться с тактикой.
Мужчина 54 года, рост 176, вес 84, упал, катаясь на лыжах.

<  |  >

 

  • Сообщения о Ортопедия и травматология
  • Также Anton V. Shakhin, MD
  • Связаться с автором
  • Ответить

    Re: Перелом таза
    Alexander Chelnokov 22 Январь 2008, 16:05
    Дорогой Антон,

    по столь скудной визуальной информации можно лишь сказать, что видно повреждение передней колонны вертлужой впадины. Так что если есть еще и перелом именно таза, то надо обзорный снимок + inlet+ outlet. Если это все-таки ацетабулярный перелом - то прямой снимок и косые проекции (Judet).

    [ Ответить ]

    Re: Перелом таза
    Maxim Agalakov 22 Январь 2008, 22:10
    фас, inlet, Judet, иначе не разобраться


    -- С уважением, Maxim
    [ Ответить ]


    ( Ответить )

    Powered by Zope  Squishdot Powered MedLink
    Посетитель: 0000253
      "По форме правильно, а по существу - издевательство" В.И.Ленин
    ©2001-2019Orthoforum Coordinator.
    [ Главная | Отправить сообщение | Поиск | Админ ]