вверх
отправить
поиск
админ
главная
|
Перелом вертлужной впадины и бедер |
 |
 |
 |
Отправлено Гринь Алексей 08 Февраль 2008, 19:36 ОКБ N;2, г. Тюмень
Уважаемые коллеги! Помогите пожалуйста в лечении сложного клинического случая Пациент 33 лет поступил 1.02.08 с диагнозом: Множественная травма. Т-образный перелом свода, перелом заднего края правой вертлужной впадины. Поперечный подвертельный перелом диафиза, подвздошный вывих правого бедра. Поперечный подвертельный перелом диафиза на фоне консолидированного косого перелома в\3 левого бедра в порочном положении. Открытый краевой перелом надколенника правого коленного сустава. Открытый оскольчатый перелом н\челюсти. Закрытый неосложненный перелом V ребра справа. В настоящее время больной компенсирован. Планируем: в положении больного на спине выполнить БИОС левого бедра ретроградно. После повернуть на левый бок и выполнить БИОС правого бедра антеградно одновременно с Y-образным доступом к вертлужной впадине. После - остеосинтез вертлужной впадины реконструктивными пластинами. Посоветуйте пожалуйста: 1. возможно ли выполнить все 3 операции одномоментно? 2. если возможно, то м\б начать операцию на стороне более тяжелого повреждения? Как при этом укладывать, и каким способом оперировать? 3. стоит ли выполнять БИОС левого бедра при условии, что если выбрать штифт длинной до б\вертела, то при введении проксимальный конец пройдет мимо б\вертела по задней поверхности?Заранее благодарен. Гринь Алексей.
<
|
>
|
|
Ответить
|
Перелом вертлужной впадины и бедер
Бен.Э.М 09 Февраль 2008, 21:13
|
во первых больной недообследован, нужну делать КТ правой вертлужной впадины.
Французские травматологи при политравме оперируют всё сразу, но я думаю что ето правило не должно быть железным, ведь это во многом зависит от состояния больного.
Я бы прооперировал вертлужную впадину и бедро одним заднелатеральным доступом который идёт от Spina iliaca posterior superior до большого вертела и вдоль оси бедра, пластину на вертлужную впадину, DHS или гвоздь Гамма на бедро, и на левое бедро аппарат внешней фиксации.
|
[
Ответить ]
|
Re: Перелом вертлужной впадины и бедер
Отправитель: Гринь Алексей 11 Февраль 2008, 18:11
|
Уважаемый Бен Э.М. благодарю Вас за ценный совет. Мы поступим именно так как Вы предлагаете. Но установка DHS потребует длинной диафизарной накладки, что значительно увеличит операционную рану, а «гаммы», к сожалению, в настоящее время у нас нет. Можно использовать реконструктивный Chm (он у нас есть). Тем более что точка введения этого штифта традиционная, что позволит нам при необходимости увеличения доступа к ацетабулюм выполнить остеотомию б\вертела (а после и его остеосинтез) с меньшими трудностями.
|
[
Ответить ]
|
|
Re: Перелом вертлужной впадины и бедер
Gofman Alex 10 Февраль 2008, 01:32
|
Уважаемый доктор,по моему мнению,если то что мы видим на снимках , это настоящее состояние больного,10 дней после травмы, то идет речь о неверно выбранной ,мягко говоря , тактике .
Все перечисленные Вами переломы и повреждения говорят о "высокоэнергетической травме" приведшей к тяжелому повреждению организма.
В ортопедии существует понятие Damage control , которое подразумевает что лечение ортопедических повреждений у больных с множественными сочетанными ранениями должно производиться по этапно.
В первую и неотложную очередь необходимо произвести временную наружную фиксацию переломов крупных костей в минимально короткое время операции и как можно раньше.
После этого в ближайшие дни произвести стабилизацию больного в условиях реанимации, за это время спланировать предстоящий этап оперативного лечения по окончательной фиксации переломов.
Ваш больной находиться по моему еще перед первой стадией лечения и мне трудно представить ,что он компенсирован ,если его переломы выглядят так , как на снимках , через 10 дней после травмы.
Отдельно можно обсудить тот факт что не вправленная 10 дней головка бедра представит определенную трудность вправлении из за спазма мышц вокруг, а так же очень высокая вероятность некроза головки в будущем .
Предлагаю статью о тактике ведения подобных больных
The Journal of Bone and Joint Surgery (American). 2005;87:434-449.
© 2005 The Journal of Bone and Joint Surgery, Inc.
Damage Control Orthopaedics
Evolving Concepts in the Treatment of Patients Who Have Sustained Orthopaedic Trauma
Craig S. Roberts, Hans-Christoph Pape, Alan L. Jones, Arthur L. Malkani, Jorge L. Rodriguez, and Peter V. Giannoudis,
С уважением
Др Гофман Алекс
Israel
Assaf Harofeh Medical center
Spine Unit
|
[
Ответить ]
|
Re: Перелом вертлужной впадины и бедер
Отправитель: Гринь Алексей 11 Февраль 2008, 18:12
|
Так же благодарю Алекса Гофмана, мы обязательно изучим приведенные Вами статьи и наконец-то будем применять Damage control, а так же ISS, что поможет нам выбрать «верную тактику».
|
[
Ответить ]
|
|
Re: Перелом вертлужной впадины и бедер
Maxim Agalakov 11 Февраль 2008, 20:21
|
сомнительно, что все удастся в одну сессию, учитывая то, что штифтование бедра с неправильно сросшимся переломом будет не очень простым.
Думаю, что нужно начать с бедер, далее, если будет возможность - впадина, если состояние больного не позволит пойти на вертлугу - попытаться вправить вывих, уложить на вытяжение, вернуться к впадине позже.
|
[
Ответить ]
|
Re: Перелом вертлужной впадины и бедер
Рунков А.В. 11 Февраль 2008, 23:14
|
Алексей, Привет!!!
Изначально я бы при поступлении наложил аппарат таз+оба бедра, с фиксацией вертельной области.
Затем при выходе из кризиса и заживления раны на колене ЗИМО ретроградно + Yобразный доступ с синтезом вертлуги.
Затем спокойно подумал что делать с неправильно сросшимся переломом сравнив его с восстановленной половиной.
если надо коррегировать - ЧКО с этой стороны, затем ретроградно гвоздь с рассверливанием проксимального канала.
Пример с антеградным введением стержня (застарелый случай)

У тебя тоже можно воспользоваться этой методой, однако настоятельно рекомендую ЗИМО делать в аппарате (дистракционном устройстве) и лишь потом открыто вертлугу.
Детали возможно подскажет Челноков А.Н.
|
[
Ответить ]
|
Re: Перелом вертлужной впадины и бедер
Алексей 12 Февраль 2008, 23:55
|

Я тоже считаю, сперва необходимо разобраться с переломаной и деформированой вертлужной впадиной, одномоментно устравнить вывих головки бедренной кости, с фиксацией диафиза (чем там у Вас есть), а остальное после активной подготовки больного. С уважением А.Леспович
|
[
Ответить ]
|
Re: Перелом вертлужной впадины и бедер
Гринь Алексей 15 Февраль 2008, 18:14
|
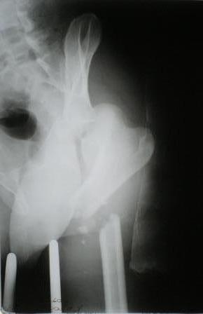
Глубокоуважаемые коллеги! Благодарю за полезные советы, которые нам очень помогли в выборе оперативной тактики пациента. 13.02.08 мы выполнили первый этап оперативного лечения этого больного. Вначале зафиксировали левое бедро АВФ Гофмана
(главный травматолог области достал из каких-то «анналов», первый раз в жизни увидел этот аппарат в живую). После наложения «ДРУ Челнокова» выполнили ЗИО правого бедра реконструктивным штифтом Chm. Далее уложили пациента на левый бок и выполнили остеосинтез вертлужной впадины. Ограничились задне-латеральным доступом без отсечения вертела, чтобы не утяжелять операцию. Результат прилагается.

Следующим этапом планируем выполнить ЗИО левого бедра.
Но есть еще вопросы:
1. укорочение левой н\конечности составляет 3 см. Необходимо ли думать об этом сейчас, или вернуться к устранению укорочения после консолидации перелома?
2. сохраняется некоторое смещение переднего отдела вертлужной впадины, нужно ли его устранить?
Сердечно благодарю за оказанную помощь. Гринь Алексей.
P.s.: Алексей Владимирович ПРИВЕТ! Ваши Р-граммы замечательные. Спасибо.
|
[
Ответить ]
|
Re: Перелом вертлужной впадины и бедер
Отправитель: Рунков А.В. 20 Февраль 2008, 16:20
|
Алексей привет!
Я тобой гордюсь! Тюменские тазы в надежных руках все вроде отлично.
И смещение передней колонны вроде бы не критично.
Если можно пошли три проекции и побольше размером,
что-то плохо стал видеть.
С левой ногой надо отдельные снимки посмотреть, как там в аппарате?
Удлинять ногу сейчас я бы не стал, а забил бы через коленку гвоздь, чтобы активизировать больного
А потом после появления первичной мозоли подумал
не удлиннить ли наппаратом на гвозде.
С уважением РАВ
|
[
Ответить ]
|
|
( Ответить )
|
|