ВХОД ДЛЯ ПАЦИЕНТОВ
вверх
поиск
админ
главная
|
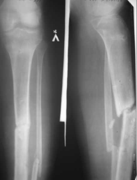
Ложный сустав большеберцовой кости. |
 |
 |
 |
Прислано Денис Магданов 17 Февраль 2008, 15:30
из
Здравствуйте,уважаемые коллеги. Хотелось бы услышать ваше мнение по следующему случаю:
пациент 20 лет, травма в июне 2007 г. Открытый перелом костей левой голени со смещением отломков. В этот же день выполнена ПХО открытого перелома костей левой голени, фиксация в КДА по Илизарову. Раны заживали вторичным натяжением. В январе 2008г. сняли аппарат, по причине нестабильности, - гипсовая иммобилизация. На данный момент согласно контрольным рентгенограммам и времени прошедшего с момента травмы имеется нормо, гипотрофичный ложный сустав большеберцовой кости. Местно - признаков воспаления не определяется. Лабораторные показатели в пределах нормы.
Планирую:
1. Рассверлить канал риммерами до диметра 12 – 13 мм, и выполнить остеосинтез блокированным канюлированным стержнем диметром 11 – 12 мм.
Вопросы:
1. Достаточно ли для стимуляции остеогенеза только рассверливания костно – мозгового канала, есть ли необходимость в костной пластике и декортикации, нужно ли выполнить остеотомию малоберцовой кости?
2. Есть ли необходимость первичной динамизации, или сначала в статику, потом динамизация? Если в статическом блокировании, то через сколько необходимо выполнить динамизацию?
3. Когда разрешить нагрузки на конечность?
Что вы посоветуете? Где могут быть - технические трудности. С уважением Д. Магданов.
Обратите внимание: Поля с жирными названиями обязательны.
Старайтесь отвечать в рамках обсуждаемой темы, а не начинать новые обсуждения.
Указывайте адекватную тему сообщения, чтобы было ясно, о чем оно.
Не послайте сообщений не по теме (оффтопик), раздраженных, грубых или обидных комментариев. Здесь это неуместно.
|