вверх
отправить
поиск
админ
главная
Предыдущее
Весь тред
|
Re: И снова пилон
Alexander Chelnokov 01 Март 2008, 21:12
|
Не проводить остеосинез малоберцовой кости в случае ее перелома (при
сочетании с пилоном)-считаю ошибкой!
Добавление восклицательного знака вряд ли делает точку зрения более обоснованной.
Если в дистракторе длина берцовых костей уже восстановлена, взаимоотношения наружной лодыжки и тарана уже правильные, какие еще проблемы решит остеосинтез малоберцовой кости?
Напомню, речь идет не о переломе лодыжек, тут механизм травмы другой, и малоберцовая может вообще быть целой при тяжелых разрушениях дистального конца большеберцовой.
На мой взгляд-имперссия очевидна и
значительна. Я за открытую репозицию!
Если несложно, в графическом редакторе выделите pls то, что Вы полагаете участками импрессии.
|
|
|
Ответить
|
Re: И снова пилон
Андрей Волна 02 Март 2008, 11:11
|
Уважаемые коллеги, остеосинтез малоберцовой кости при переломах пилона помогает решить, как минимум, 3 задачи:
1. шинировать сегмент. При переломах типа С, как правило, остеосинтез большеберцовой кости выполняется по спаданию отёка и заживлению мягких тканей, как и говорит об этом чуть ниже Djoldas. В этот период - с момента поступления пациента в стационар до собственно остеосинтеза перелома пилона мы можем стабилизировать конечность или путём остеосинтеза малоберцовой кости, или ExFix. Естественно, одно не равнозначно другому, для каждого метода есть свои показания в зависимости от характера перелома;
2. за счёт эффекта лигаментотаксиса восстановить правильные взаимоотношения в большеберцово-таранном сочленении. И действительно, я полностью согласен с Вами, Александр, такую же задачу мы решаем зачастую с помощью ExFix. И если наружная фиксация при переломе пилона является не методом первого этапа, а окончательным методом лечения перелома - ни о каком дополнительном остеосинтезе малоберцовой кости, как правило, речи не идёт и идти не должно. Но, если мы решили выполнить внутреннюю фиксацию, желательно помнить, что остеосинтез малоберцовой кости при переломе пилона помогает решить и ещё одну задачу - ортопедическую:
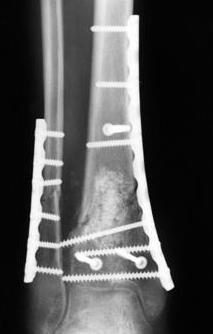
3. стабилизировать наружный опорный комплекс голени и предотвратить вальгусную деформацию голеностопного сустава. Конечно, данная проблема не очень актуальна, или вовсе не актуальна для 43С1, но для повреждений типа 43С2,3, особенно в случаях, когда метафизарный дефект потребовал пластики, а пластину пришлось уложить по медиальной стороне - остеосинтез малоберцовой кости является крайне необходимым - привожу характерный пример.

Но перелом малоберцовой кости может быть и много проксимальнее, и его так же приходится фиксировать из этих же соображений. И особенно, если пациент полный. Из отечественных хирургов на возможность развития такого осложнения - вальгусной деформации голеностопного сустава ч/з 2-3 месяца после операции при переломах типа 43С2 в отсутствии фиксации малоберцовой кости одним из первых указал Виталий Дрягин из ГКБ №3 Челябинска ещё в конце 90х.
С уважением
|
[
Ответить ]
|
( Ответить )
|
|