ВХОД ДЛЯ ПАЦИЕНТОВ
вверх
поиск
админ
главная
исходное
|
Re: И снова пилон
послал Djoldas Kuldjanov 26 Февраль 2008, 21:50
|
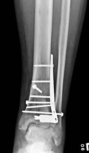
Публикации за последние пять лет показывают, что в лечении переломов пилона важным является состояние
мягких тканей. Поэтому при лечении пилона, особенно после высокоэнергетической травмы, необходимо придерживаться правила - лучше проводить запоздалую фиксацию, чем после операции иметь проблемы с мягкоткаными осложнениями.
Закрытый метод фиксации рекомендуется, когда фрагменты были сопоставлены в результате лигаментотаксиса, а открытый минимальный метод при нерепонированных отломках.
После репозиции сустава необходимо удостовериться
в заполнении образовавшейся полости ауто- или синтетическими заполнителями, что в последующем предохраняет от варусного коллапса.
После ExFix проведение компьютерной томографии считаем обязательным, получаем информацию о расположении крупных фрагментов, которая подскажет сторону операционного доступа и направления проведения фиксирующего материала.
Фиксация наружной лодыжки подсказывается переломом, а малоберцовая является ключом-ориентиром для длины конечности.
Если отсутствует перелом малоберцовой тогда теряется смысль проведение дистракции наружным "spanning или traveling" фиксатором.
В данном случае ориентир сохранен, малоберцовая хорошо сочленена с тараном. Но несмотря на отсутствия перелома на снимке, все-таки для страховки можно было бы сделать снимок проксимальной части конечности.
Любая фиксация - преконтурированные пластины с уголовой стабильностью, медиальная, латеральная в зависимости от нахождения отломков или наружная фиксация типа аппарата Илизарова подходят для ранней мобилизации.
Не все переломы пилона фиксируются медиальной
пластиной, поэтому, учитывая что большой фрагмент
находится на латеральной стороне, я бы применил
передне-латеральную пластину.

Djoldas Kuldjanov, MD
Department of Orthopedic Surgery
St. Louis University Medical Center
|
| Послать ответ |
Обратите внимание: Поля с жирными названиями обязательны.
Старайтесь отвечать в рамках обсуждаемой темы, а не начинать новые обсуждения.
Указывайте адекватную тему сообщения, чтобы было ясно, о чем оно.
Не послайте сообщений не по теме (оффтопик), раздраженных, грубых или обидных комментариев. Здесь это неуместно.
|