Ответить
|
Re: Застарелый вывых головки луча
Алексей 27 Февраль 2008, 01:36
|
вэн энта хидма, я ражель?
Если беспокоит только косметический дефект, который кстати значительным быть не может, то может стоит задуматься прежде, чем вмешиваться в такой НЕЖНЫЙ сустав, как локтевой, к тому же еще в процессе раста и развития... Салам хабиби!
|
[
Ответить ]
|
Re: Застарелый вывых головки луча
Антон 27 Февраль 2008, 08:05
|
Уважаемый Абдурашид! Открытое вправление головки невозможно, т.к. за 3 года головка "привыкла" к патологическому положению, а её анатомическое место уже заполнено соединительной тканью. Мальчику показано закрытое вправление головки аппаратом наружной фиксации. Мы в таких случаях накладываем Илизарова и постепенно низводим головку. После достижения репозиции можно фиксировать ещё одной спицей, а можно подержать в аппарате. С уважением, Антон Шахин, Московская ДГКБ Св. Владимира, кафедра детской хирургии РМАПО
|
[
Ответить ]
|
Re: Застарелый вывых головки луча
Антон 27 Февраль 2008, 08:24
|
Вправлять головку надо ОБЯЗАТЕЛЬНО, показания 100%, иначе ребенок потеряет движения в локтевом суставе и вырастет инвалидом.
|
[
Ответить ]
|
Re: Застарелый вывых головки луча
Константин_Требухин 27 Февраль 2008, 13:30
|
Уважаемый Абдурашид, у ребенка имеется последствие повреждения Монтеджиа. В данном случае в связи деформацией локтевой кости показано двух этпаное лечение. Первым этапом в аппарате Илизарова проводиться низведение головки лучевой кости. Вторым этапом проводится корригирующая остеотомия локтевой кости на границе средней и верхней трети с остеосинтезом либо в аппарате Илизарова, либо стержнем Богданова. Востанавливается нормальная .иогнутая форма локтевой кости. Далее проводится ревизия луче-плечевого сочленения. Иссекаются рубцовые ткани. Головка вправляется и фиксируется спицей на 3-4 недели (либо ллавсановой лентой).
Без коорегирующей остеотомии локтевой кости рецидив вывиха головки лучевой кости неизбежен.
В данном случае операция обязательна.
|
[
Ответить ]
|
Re: Застарелый вывых головки луча
Константин Требухин 27 Февраль 2008, 15:09
|

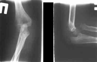
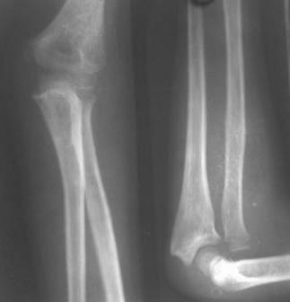
Иллюстрация к лечению застарелого повреждения Монтеджиа
Пациентка клиники детской травматологии ЦИТО
|
[
Ответить ]
|
Re: Застарелый вывых головки луча
gayrat bayimbetov 27 Февраль 2008, 16:59
|
1. Тут все спорно может быть головка смещена проксимально если это так
это в следствие потери опоры головки луча, елси нет то: в нормальных условиях стимулятором роста проксимального конца лучевой кости является
головка мыщелка (это моё мнение)!
Головка лучевой кости вправляется но с трудом так как высота стояение края головки лучевой кости наслаивается на головки мышелки плечевой
кости
При таких случаях производят резекция лучевой кости на протяжение от бугристости до шейки лучевой кости.
2. Ожидаемая конртактура ротационная. В нашей клиники разработано методика остеосинтеза при данных патологиях и имеем большой опыт
лечения.....
Пишите
3. Если хотите пи
|
[
Ответить ]
|
Re: Застарелый вывых головки луча
Андрей Пулатов 27 Февраль 2008, 19:06
|
Если по прошествии времени производить вправление без укорочения лучевой кости, или удлинения локтевой то возникнет избыточное давление в суставе, что спровоцирует деформирующие изменения и контрактуру.
|
[
Ответить ]
|
Re: Застарелый вывых головки луча
КонстантинТребухин 27 Февраль 2008, 19:43
|
Гайрат, пожалуйста напишите, пациентов какого возраста вы оперируете таким образом. Зона роста не резецируется? Как патогенетически обоснована резекция лучевой кости. Имеется ли ее удлинение? Как часто в остром периоде вы наблюдали изолированные вывихи головки л.к у детей 10лет? А повреждения Монтеджи?
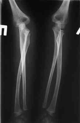
На рентненграмме видна деформация локтевой кости на границе верхней и средней трети. Ведь там был перелом.
Можно ли пренебрегать деформацией локтевой кости?
Разве не нарушено соотношение лучевой и локтевой кости.
Проведя корригирующую остеотомию локтевой кости не возникнет проблем с вправлением головки лучевой кости. Иначе никаким способом головку не удержать не удастся. Не раз наблюдали прорезывание лавсановой ленты, деформацию шейки лучевой кости.
Уважаемые коллеги, кто-нибудь еще видит здесь застарелое повреждение Монтеджи? Может мне показалось?
|
[
Ответить ]
|
Re: Застарелый вывых головки луча
Отправитель: Алексей Карпухин 28 Февраль 2008, 13:42
|
Уважаемый Константин, о том, что имеет место быть застарелое повреждение Монтеджа, по-моему, нет сомнений. Предложенная и используемая Вами лечебная тактика самая рациональная. Каковы отдаленные результаты в Вашей клинике? Заранее благодарен.
|
[
Ответить ]
|
|
Re: Застарелый вывых головки луча
levan 28 Февраль 2008, 13:59
|
Колеги!!! Сконцентрируйтесь... Не спешите и подумайте, что препятствует головке луча вернуться на свое место??? Отвыкание :):):) Конечно нет. Внимательно посмотрите на ось локтевой кости. Как раз она мешает вернуться лучу на место. Зря Монтеджи старался, что ли???
|
[
Ответить ]
|
Re: Застарелый вывых головки луча
Abdurashid Turaev 01 Март 2008, 00:01
|
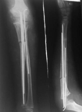
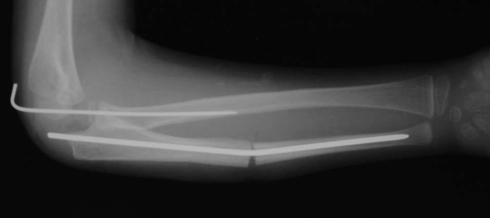
Многоуважаемые коллеги, всем большое спасибо!!! Да, здесь было повреждение Монтеджиа, когда нарисовал скиаграмму все стало понятно. Мне очень понравились рекомендации Константина Требухина, только немножко видоизменил; я считал так, если деформацию исправить то локт/кость должна удлиниться, и во вторых, если на аппарате низвести лучевую кость, то может наступить позиционное несоответствие в дистальном радиоульнарном сочленении. 28.02.08г операция - шарнирная остеотомия локтевой кости на уровне деформации, далее вскрыт плечелучевой сустав, удалены рубцовые тканы, после исправления варусной деформации и создания физиологического изгиба локтевой кости головка луча легко вправился, из части рубцовой ткани сделана пластика кольцевндной связки, трансартикулярная фиксация спицей, локтевая кость двумя спицами.

Еще раз всем выражаю благодарность!
С уважением Абдурашид.
|
[
Ответить ]
|
Re: Застарелый вывых головки луча
Констнтин Требухин 01 Март 2008, 02:04
|
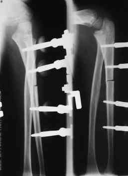
Уважаемые коллеги. Описанная методика много десятилетий применяется в отделении детской травматологии ЦИТО, руководитель- проф. Меркулов В.Н.. Результаты отличные и хорошие. Оьем движения в локтевом суставе восстанавливается в полностью, но возможно ограничение супинации. Реже случается замедленная консолидация локтевой кости. В 70-ых годах по этой теме защищена диссертация Шаклычевым М.К. под руководством проф. Тер-Егиазарова.
|
[
Ответить ]
|
Re: Застарелый вывых головки луча
Andre Pakh 11 Март 2008, 00:10
|
Дорогих женщин с 8 Марта!
оперировали подобный случай около 6 мес назад. Отличие только в одном- давность травмы была до 2х лет. Использовали методику описанную в "Pediatric fractures and dislocations" Lutz von Laer, M.D.
Артротомия, иссечение рубцов, остатков кольцевидной связки. На проксимальный отдел локтевой кости стержневой аппарат (рекомендуют
Compact II выпущеный Stryker Howmedica, но за неименеем...), остеотомия проксимального отдела локтевой кости, вправление головки лучевой кости, замыкание аппарата, проверка стабильности головки
лучевой кости в движении, ушивание без пластики кольцевидной связки.
Рекомендуются ранние спонтанные движения, ЛФК на лучелоктевой сустав.
Аппарат рекомендуют на 2 мес.

Данную методику применили впервые. После артролиза очевидная нестабильность головки луча. После остеотомии локтевой, вправления и
стабилизации аппарата головка луча при движениях на месте. Первые впечатления- "Либо чудо,либо фокус" (с) :))
У нас были проблемы. Скорее всего связанные с использованием стержневого аппарата с простым соединением. В Компакте же скорее всего шарнирное, со свободой движения во всех плоскостях, что конечно, значительно должно упрощать фиксацию в правильном положении.
1 подвывих головки лучевой кости в положении супинации - через 2 недели после операции- под ЭОП: аппарат разблокирован, повторное вправление головки, стабилизация аппарата.
2 По снятии аппарата через 2 мес после операции рефрактура в месте остеотомии(на фоне активного ротационного движения)- под контролем ЭОП выполнен
интрамедуллярный остеосинтез TEN. Положение головки луча стабильное.
Последних снимков к сожалению нет. Больной иногородний, но скоро появится и снимки предоставим.
Вот такой был случай :)
Best regards,
Андрей Пах
\Травматолого-ортопедическое отделение N3(детское)
МЛПУ ГКБ N1 г Новокузнецк\
|
[
Ответить ]
|
Re: Застарелый вывых головки луча
Отправитель: Abdurashid Turaev 11 Март 2008, 17:38
|
Спасибо Andre Pakh! Вот это действительно из жизни, из практики! Я после МОС наложил гипсовую лонгетную повязку на 3-неделя, как Вы думаете после этого контрактуры не будет?
|
[
Ответить ]
|
|
( Ответить )
|