Ответить
|
Re: Застарелый вывих I пальца стопы
Алексей 08 Март 2008, 02:18
|
Наше Вам!
месяц после травмы при том, что есть - мое мнение только открытая репозиция, артролиз 1-го ПФС,МОС по ситуации и как можно скорее, если нет объективных противопоказаний (диабетическая ангиопатия, пневмония и тд)
|
[
Ответить ]
|
Re: Застарелый вывих I пальца стопы
Отправитель: Denis Glukhov 11 Март 2008, 23:38
|
Большое спасибо за отклик, правда аббревиатура "МОС" осталась для меня загадкой.
|
[
Ответить ]
|
Re: Застарелый вывих I пальца стопы
Отправитель: Alexander Chelnokov 12 Март 2008, 00:53
|
Я тоже до недавнего времени не знал, объяснили грамотные люди.
МОС - металоостеосинтез, ПОС - пластмассоостеосинтез, а ДОС -
деревоостеосинтез. Может, и еще какие есть.
|
[
Ответить ]
|
|
Re: Застарелый вывих I пальца стопы
Sergey Adonin 11 Март 2008, 01:13
|
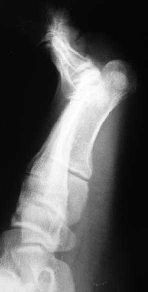
1 передний отдел стопы делается в косой, а не боковой проекции - на боковой все плюсневые кости накладываются друг на друга, и ничего не видно - это же аксиоматично! Я, например, на прямых проекциях не вижу совсем признаков перелома первой и четвертой плюсневой, и сомневаюсь в переломе третьей, боковые же совершенно неинформативны.
2. чтоб узнать, как лечится перелом шейки плюсневой кости через месяц после травмы, равно как и вывих первого плюсне-фалангового суствав, надо просто открыть ЛЮБОЙ учебник и не засорять форум.
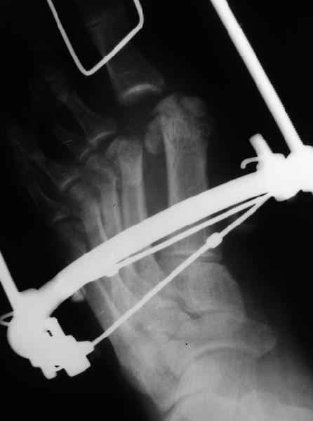
Они же наложили дистракционный аппарат (вместо того, чтоб сделать открытое вправление зафиксировать это одной спицой Киршнера), продержали больного две недели в аппарате (ЗАЧЕМ?), а теперь спрашивают , что делать...
|
[
Ответить ]
|
Re: Застарелый вывих I пальца стопы
Отправитель: Alexander Chelnokov 11 Март 2008, 01:15
|
2. чтоб узнать , как лечится [...] вывих первого плюстне-фалангового суствав, надо просто открыть ЛЮБОЙ учебник и не засорять форум.
А можно попросить кратко процитировать, что рекомендуется по поводу застарелого вывиха? Есть ли на сегодня какие-то варианты, позволяющие раннюю функцию сустава без опасности рецидива вывиха?
продержали больного две недели в аппарате (ЗАЧЕМ?), а теперь
Да вроде ни про какие 2 недели там не было. Так все-таки, что бы Вы сделали именно сейчас у данного пациента, окажись он внезапно с этим аппаратом в Вашем ведении?
|
[
Ответить ]
|
Re: Застарелый вывих I пальца стопы
Отправитель: Sergey Adonin 11 Март 2008, 01:20
|
Больной поступил к ним 20 февраля, когда травме был месяц Вопрос задан 7 марта. Разница - 2 недели и 2 дня.
Вы говорите "Да, снимки не лучшие, но суть проблемы на них видна ведь."
Как же суть проблемы видна? Человек говорит о переломе первой (то есть речь идет о переломо-вывихе?), второй, третьей и четвертой плюсневых костей, а я вижу только перелом второй. мне кажется, что проблема в таком случае будет чуть-чуть другая. Кстати, сколько переломов насчитали на этих снимках Вы?
На месяце вывиха надо попытаться вправить (вряд ли получится, хотя на 3 неделях я вправлял) закрыто, после чего - открытое вправление плюс-минус фиксация спицей. На семи неделях - то же самое, только закрыто вправлять можно и не пытаться. Если никак не вправляется (то есть если их дистракционный аппарат ничего не дистрагировал) - резекция основания проксимальной фаланги. Извините, убегаю на работу, искать цитаты некогда, попробую сделать это чуть позже.
Зачем Вам "ранняя функция" первого плюсно-фалангового сустава? Неужели после трех недель трансфиксации спицей ожидается принципиально различная функция.
|
[
Ответить ]
|
Re: Застарелый вывих I пальца стопы
Отправитель: Савранский Александр 12 Март 2008, 01:46
|
Однозначно-переломы 1,2,3,4 плюсневых костей.
На тактику это особо не влияет.
|
[
Ответить ]
|
Re: Застарелый вывих I пальца стопы
Отправитель: Sergey Adonin 11 Март 2008, 11:20
|
по поводу "кратко процитировать" - Например, вот здесь –
Сampbell's operative orthopaedics, C H A P T E R 86, Fractures and Dislocations of Foot, FIRST METATARSOPHALANGEAL JOINT
Есть все – биомеханика, патоанатомия, процедура оперативного вмешательства ( открытое вправление либо поперечным плантарным, либо продольным медиальным доступом, фиксация спицей на 3 недели при нестабильности), послеоперационное ведение и отдаленные результаты.
Безусловно, все исследования - свежая травма, но кто скажет, что техника открытого вправления меняется на 4-6 неделях ( за исключением очевидного иссечения рубцов и сложности реконструкции связочного аппарата) - тот первый бросит в меня камень
|
[
Ответить ]
|
Re: Застарелый вывих I пальца стопы
Отправитель: Denis Glukhov 11 Март 2008, 23:28
|
Уважаемый Сергей Адонин! Большое спасибо, что Вы уделили столько внимания моему скромному вопросу! Однако, осмелюсь заметить, что техника вправления вывиха как ручная, так и аппаратная не представляет каких - либо проблем. А на интересующий меня вопрос Вы, к сожалению, так и не ответили: "за исключением ... и сложности реконструкции связочного аппарата".
|
[
Ответить ]
|
|
Re: Застарелый вывих I пальца стопы
Анатолий Баранецкий, Москва. 11 Март 2008, 16:21
|
Доступная бесплатно статья с описанием решения схожих проблем
The Weil osteotomy for treatment of dislocated lesser metatarsophalangeal joints: Good outcome in 21 patients with 42 osteotomies
Authors: Hans-Jörg Trnka; Christoph Gebhard;
Published in: Acta Orthopaedica, Volume 73, Issue 2 April 2002 , pages 190 - 194
|
[
Ответить ]
|
Re: Застарелый вывих I пальца стопы
Отправитель: Denis Glukhov 11 Март 2008, 23:07
|
Большое спасибо за полезную информацию
|
[
Ответить ]
|
|
Re: Застарелый вывих I пальца стопы
Асратян Давид 12 Март 2008, 00:36
|
Уважаемый Денис! Полностью согласен с вариантом Анатолия Баранецкого остеотомия Вейля возможноа с фиксацией винтом аутофикс или его аналогами. По поводу плюсневых костей 2 сломана и срослась точно. по поводу третей можно задуматься, 4-мне кажется не затронута. хотя по истечению такого времени возможно и был перелом, но он сросся. А по поводу 1 ПФС. Два варианта: 1 открытое вправление, фиксация параоссльноспицей. ни в коем случае не трансартикулярно. Гопода, это вам не крупный сустав. Или же, что мне ближе. выполнить операцию аутохондпропластику. она будет здесь уместна. Не ищите в источниках, информации не найдете. методика запатентована мной и коллегами. если интересует. могу потов выслать.
С уважением АДА.
|
[
Ответить ]
|
Re: Застарелый вывих I пальца стопы
Отправитель: Denis Glukhov 12 Март 2008, 12:33
|
Уважаемый Давид! По наличию переломов можете не сомневаться, возможно проблема в качестве передачи изображения, но на сегодняшнюю тактику не влияет.
По поводу остеотомии Вейля - в ДАННОМ случае мы уже создали запас тканей дистракционным аппаратом.
За информацию по аутохондпропластике буду признателен.
|
[
Ответить ]
|
|
Re: Застарелый вывих I пальца стопы
Sergey Adonin 13 Март 2008, 03:07
|
Больной лечится ужасно, советы, на мой взгляд, даются совершенно 'творческие', и, что самое досадное, автор к ним прислушивается.
Имеем - без малого двухмесячные переломовывихи перeднего отдела стопы , больной в отделении 20 дней, доктор думает, что ему делать:
1 полное смещение второй плюсневой, которое НАВЕРНЯКА приведет к появлению натоптыша и невозможности нагружать передний отдел стопы - всеми участниками просто игнорируется.
2 когда несколько участников высказали свое сомнение в наличии переломов 3-4 плюсневой - автор просто сказал - 'поверьте мне на слово, они поломаны'
3 На мой вопрос - где же перелом певрой плюсневой ( согласитесь, наличие такого повреждения напрочь меняет тактику лечения) - ответа не последовало никакого
4. Я никогда не делал и не видел остеотомии Вейля. поиск в гугле показал, что эта остеотомия используется при длинных метатарсальных костях и метатарсалгии ( безусловно, с возможным подвывихом проксимальной фаланги). Какое это отношение имеет к травматическому вывиху первого плюсно-фалангового сустава, мне пока понять можно.
В данный момент вопрошающий врач получил 2 совета ( за исключением самого первого поста, кажется, Алексея, полностью автором проигнорированного) - либо остеотомию Вейля, либо аутохондропластику (при семинедельном вывихе!!!), которую 'Не ищите в источниках, информации не найдете. методика запатентована мной и коллегами. если интересует. могу потов выслать'. при этом 'фиксация параоссльноспицей. ни в коем случае не трансартикулярно. Гопода, это вам не крупный сустав...'( бедный Кэмпбелл) Обсуждение продолжается...
А может быть, действительно, сперва почитать общедоступный учебник, ( как автору , так и советчикам), а потом уже затевать подобные обсуждения? глядишь, и обсуждать нечего было бы...
Осознаю, что высказываюсь излишне грубо, но не могу с собой совладать . Во- первых, речь идет о ноге 24 летнего молодого человека, во-вторых, обсуждение происходит на форуме, который является ( стремится быть) форумом российских профессионалов - ортопедов..
|
[
Ответить ]
|
Re: Застарелый вывих I пальца стопы
Отправитель: Alexander Chelnokov 13 Март 2008, 03:15
|
1 полное смещение второй плюсневой, которое НАВЕРНЯКА приведет к появлению натоптыша и невозможности нагружать передний отдел стопы - всеми участниками просто игнорируется.
У автора не было вопросов по этому поводу.
2 когда несколько участников высказали свое сомнение в наличии переломов 3-4 плюсневой - автор просто сказал - 'поверьте мне на слово, они поломаны'
Не знаю, что за проблема, но я на своем мониторе переломы отлично вижу.
3 На мой вопрос - где же перелом певрой плюсневой ( согласитесь, наличие такого повреждения напрочь меняет тактику лечения) - ответа не последовало никакого
Та же проблема - по крайней мере на снимке в аппарате (фас) отчетливо видно перелом ее головки.
4. Я никогда не делал и не видел остеотомии Вейля. поиск в гугле показал, что эта остеотомия используется при длинных метатарсальных костях и метатарсалгии ( безусловно, с возможным подвывихом проксимальной фаланги). Какое это отношение имеет к травматическому вывиху первого плюсно-фалангового сустава,
Если обратить внимание на название рекомендованной статьи, то там как раз про вывихи и эту остеотомию.
сустав...'( бедный Кэмпбелл) Обсуждение продолжается...
А может быть, действительно, сперва почитать общедоступный учебник, ( как автору , так и советчикам), а потом уже затевать подобные
Давайте исходить из соображения, что учебники уже почитали, но вопросы остались. Тем более, мы сейчас столько всего делаем не так, как пишут в учебниках, и показываем это на конференциях как более продвинутые решения. Так что ожидаешь, что и остальное в учебниках уже усовершенствовано другими коллегами, которые непременно дадут полезный совет.
Осознаю, что высказываюсь излишне грубо, но
Не надо грубо, вежливость и доброжелательность никому не навредили...
|
[
Ответить ]
|
Re: Застарелый вывих I пальца стопы
Отправитель: Sergey Adonin 13 Март 2008, 03:17
|
1 в рекомендованной статье речь идет совсем не об этом, а несколько даже о противоположном
Статья - The Weil osteotomy for treatment of dislocated lesser metatarsophalangeal joints, то есть речь идет о остеотомии всех метатарсофаланговых суставов, КРОМЕ большого пальца. Могу потеоретизировать, почему люди не используют эту остеотомию при лечении вывихов болшого пальца, но не буду
2 когда предлагаемое лечение категорически не совпадает с описанием учебников, и когда автор берет на себя смелость утверждать что дедать описанное в учебниках нельзя не в коем случае( что и делается в данном обсуждении - про трансартикулярную фиксацию спицей), у этого должны быть очень серьезные обоснования, не так ли?
3 Если Вы видите перелом головки первой метатарсальной ( я не вижу, хотя и не утверждаю , что его нет ) - как же тогда можно серьезно говорить о остеотомии Вейла? об аутохондропластике?
4. Вопрос у автора был именно 'по тактике лечения стопы', а не вправления вывиха. Если же автор не понимает значитость смещенного на весь диаметр неправильно срастающегося ( с захождением отломков) перелома второй плюсневой - у больного большая проблема.
С искренним уважением
Сергей
|
[
Ответить ]
|
Re: Застарелый вывих I пальца стопы
Отправитель: Асратян Давид 13 Март 2008, 21:36
|
Уважаемый Сергей! Похоже ВЫ меня не так поняли.
Постараюсь более четко и конкретно.
1. остеотомия вейля предлагается для восстановления 2, 3 и при необходимости 4 плюсневыъх костей. Никакой речи о 1 поюсневой кости здесь и не было. Это и так ясно было, на мой взгляд. Может быть она в данной ситуации будет не класическая, но тем не менее,чтобы не было "НАВЕРНЯКА приведет к появлению натоптыша и невозможности нагружать передний отдел стопы - всеми участниками просто игнорируется", она и предлагается.
2. При наличии перелома головки 1 плюсневой кости, его репозиция при возможности или же, что скорее всего, придется выполнить остеотомию( шевронную, клиновидную, Бома и т.д., вариантов много), с последующей фиксацией аутофиксом или его аналогами.
3 Теперь о старине Кемпбелле(бедный Кэмпбелл),никто не игнорирует. Но есть много но. Давайте выполним открытое вправление и затем трансартикулярную фиксацию спицей! Я за двумя руками. Ну что мы получим. Устраненный вывих, а потом, ригидный первый палец стопы! Как потом решить вопрос с ригидным 1 пальцем? Опять операция?
Так вот, аутохондропластика или как вариант артропластика(Шанца-Брандеса, по Боярской и т.д) с последующей фиксаций по тыльной поверхности параоссально спицей(которая будет предотвращать вывих фаланги), даст возможность быстро разработать 1 пфс.
Ну и самое главное: лечить всех и все нужно не только по книжкам(!) Можно высылать много ссылок, не хватит и десятка страниц.А конкретного предложения я так и не услышал.
Поясните пожайлутса "3 На мой вопрос - где же перелом певрой плюсневой ( согласитесь, наличие такого повреждения напрочь меняет тактику лечения) - ответа не последовало никакого"- о какой перемене напрочь тактики идет речь?
С уважением АДА.
|
[
Ответить ]
|
|
Re: Застарелый вывих I пальца стопы
Алексей 14 Март 2008, 02:03
|
признаюсь, я не понял закидона в мой огрод, но:
1 согласен с Адониным по сути проблемы;
2 я не российский ортопед, я УКРАИНЕЦ!
|
[
Ответить ]
|
Re: Застарелый вывих I пальца стопы
sergey adonin 14 Март 2008, 05:58
|
Уважаемый Давид!
1 Спасибо за подробное объяснение - я действительно не понял, что , рассказывая про Вейля, имелся в виду второй палец. В принципе, я очень ( может быть, чрезмерно) расстроен ситуацией , когда больной находится в крупной (областной? Краевой? ) больнице 3 недели с невправленным вывихом пальца стопы, а его врач в интернете советы собирает. Кстати, судя по ответу <По поводу остеотомии Вейля - в ДАННОМ случае мы уже создали запас тканей дистракционным аппаратом.> - доктор глухов понял Вас так точно, как и я.
2 убежден, что надо просто все открыто вправлять\ фиксировать\ заживлять раны\ лечить переломы бедра, а потом, при наличии симптоматики в отдаленном периоде - делать мобилизации\аутохондропластики \ остеотомии \ артродезы \артропластики \ ампутации. Конечный функциональный результат после адекватной репозиции и фиксации на 7 неделях слишком непредсказуем, чтоб прямо сейчас начинать с реконструктивных операций.
3 кстати, Вы перелом пкрвой плюсневой видите? В каком месте и на каком снимке?
НУ как, этот пост я написал более вежливо, чем предыдущие, а?
Алексею. Земляк! Я сам донецкий, просто уже 8 лет по заграницам бегаю и обратно домой не хочу!
Сергей
|
[
Ответить ]
|
Re: Застарелый вывих I пальца стопы
Отправитель: Alexander Chelnokov 14 Март 2008, 06:11
|
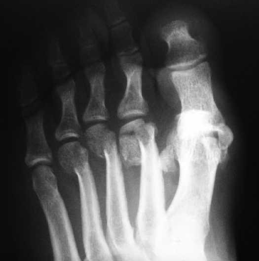
3 кстати, Вы перелом пкрвой плюсневой видите? В каком месте и на каком снимке?

Вот головка более прицельно.
|
[
Ответить ]
|
Re: Застарелый вывих I пальца стопы
Отправитель: sergey adonin 14 Март 2008, 06:40
|
Вот теперь вижу :)
предлагаю. Все то же самое плюс по обстоятельствам, в зависимости от внутриоперационных находок- либо ничего не делаем, либо фиксируем фрагмент спицей ( можно даже адсорбируемой - получим пласмассоостеосинтез:)) или микрошурупом, либо - если вправление пойдет совсем плохо - все же как минимум восьмая неделя - эксцизионная пластика сустава .
Вторую плюсневую вправлять и фиксировать спицей.
|
[
Ответить ]
|
|
Re: Застарелый вывих I пальца стопы
sergey adonin 14 Март 2008, 06:29
|
Вдогонку. Моя рекомнедация ясна , "как белый свет"
Скачать на халяву Кэмпбелла ( ссылка - тем на 5 вниз на этом форуме), прочитать соответствующую главу и сделать точно так, как рекомендует автор. В данном случае - медиальный доступ, открытое вправление и трансартикулярно спица, для второй плюсневой - то же самое. 7 недель, так что помучаться придется...
Как меняется тактика лечения - напишите сначала, какой перелом Вы видите, ибо я не вижу никакого. при раздроблении гооловки, возможно, придется делать эксцизионную пластику ( или вы будете предлагать Ваши многочисленные остеотомии?), при переломе шейки - репонировать дистальный фрагмент, фиксировать ( боюсь даже промолвить, но по-прежнему спицами, вероятно, трансартикулярно).
Напишите, какой перелом видете Вы ( александр , например, меня недавно очень удивил, рассмотрев что-то в латеральной проекции в аппарате)
|
[
Ответить ]
|
( Ответить )
|
|