Ответить
|
Re: Несращение ладьевидной кости после остеосинтеза компрессирущим винтом (nonunion of navicular bone after osteosynthesis with compression screw)
Danil Bliznets 13 Март 2008, 00:36
|
>>Здаётся мне Вы имеете удовольствие видеть ложный сустав ладьевидной кости.
Такое ощущение, что имеющееся состояние ещё не является необратимым (отсутствие склероза отломков на уровне перелома) и обусловлено исключительно нестабильностью (сам винт оказался слабоват или чрезмерные нагрузки привели к срыву фиксации - пациент, заметьте, мотоциклист!)
Почему-то хочется верить, что можно добиться сращения, если вернуть кости стабильность путём компрессионного остеосинтеза более мощным винтом без открытого вмешательства на компрометированной зоне и защитить фиксацию строгим соблюдением режима. Я сильно ошибаюсь?
|
[
Ответить ]
|
Re: Несращение ладьевидной кости после остеосинтеза компрессирущим винтом (nonunion of navicular bone after osteosynthesis with compression screw)
Отправитель: Алексей 13 Март 2008, 02:49
|

Боюсь, да - сращение не является результатом только фиксации, очень важно наличие кровообращения в стабильно фиксированых отломках. О механизме травмы общее представление мы получили, как питаются кости запястья знаем, да здесь вообще все может закончиться тотальным артродезом или эндопротезированием, а Вы о режиме думаете зачем-то. Это тоже важно конечно, если он до сих пор мотоциклист.
PS: ладьевидная кость является стабилизатором всех костей запястья, - она одна! Боль (субъективно) и нарушение функции (обьективно) по-другому преодалеть не удастся.
С уважением Алексей.
|
[
Ответить ]
|
Re: Несращение ладьевидной кости после остеосинтез
Отправитель: Екатерина Лаврукова 13 Март 2008, 22:08
|

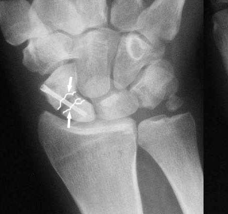
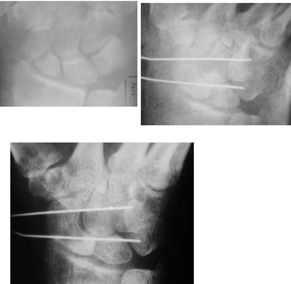
Ув. Данил! По моему мнению все-таки ложный сустав -склероз отломков (приложение), 5 мес, диастаз. Для подтверждения можно выполнить КТ кистевого сустава (формирование замыкательной пластинки, склероз концов отломков и т.д.,), а так же по КТ можно выявить сохраняется ли подвывих каких-либо костей запястья или нет. При наличии ложного сустава целесообразно будет удалить винт,обработать концы отломков, разрушив замыкательные пластинки и выполнить остеосинтез ладьевидной кости винтом с костной аутопластикой зоны псевдоартроза (либо гидроксиаппатитом...) Гипс 1,5 мес мин. Снимков найти сейчас не получилось. позже дошлю.
С уважением Катя
|
[
Ответить ]
|
|
( Ответить )
|
|