Ответить
|
Re: Сустав Лисфранка
Денис Римашевский 13 Март 2008, 15:13
|
Здравствуйте!
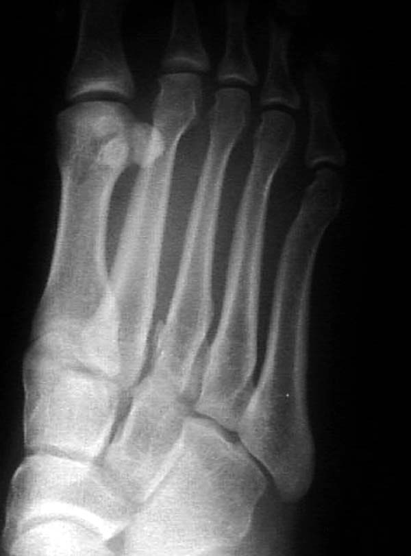
По снимкам нельзя исключить разрыв связки Лисфранка (связки между медиальной клиновидной костью и основанием второй плюсневой). Помогает в диагностике клиника (наличие изолированной гематомы на подошвенной поверхности стопы) и МРТ картина. Если связка повреждена - необходимо оперативное лечение.
Денис Римашевский
|
[
Ответить ]
|
Re: Сустав Лисфранка
Отправитель: sergey adonin 14 Март 2008, 08:25
|
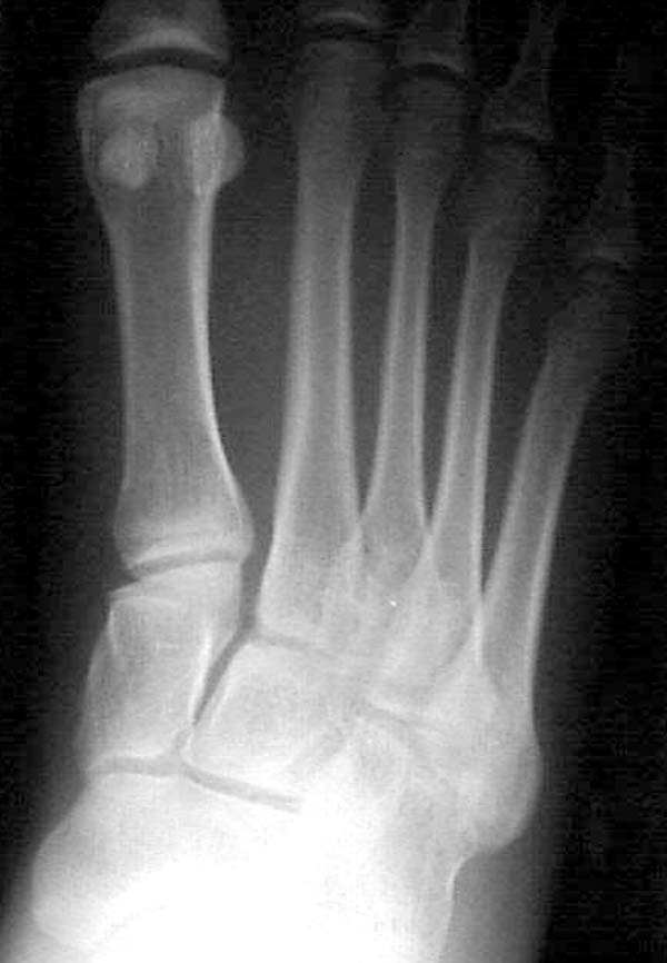
по снимкам также нельзя исключить повреждение еще десятка -двух связок. Нормальные снимки.
Кормить аналгетиками, разгрузить ногу, наблюдать
|
[
Ответить ]
|
|
Re: Сустав Лисфранка
Александр Белоконь 14 Март 2008, 19:58
|
По первому снимку, не видя больного, мог бы заподозрить перелом основания 3-й плюсневой кости. Поэтому избрал бы тактику консервативного лечения, как при переломе плюсневых костей без смещения!
С уважением, Александр!
|
[
Ответить ]
|
Re: Сустав Лисфранка
Отправитель: Лукавин Руслан 16 Март 2008, 01:38
|
Полностью поддерживаю. Наверное стоит проверить локализацию боли осевой нагрузкой на каждый палец отдельно. Если 3 реагирует максимально - вопрососв быть не должно.
|
[
Ответить ]
|
|
Re: Сустав Лисфранка
Djoldas Kuldjanov, M.D. 21 Март 2008, 17:20
|

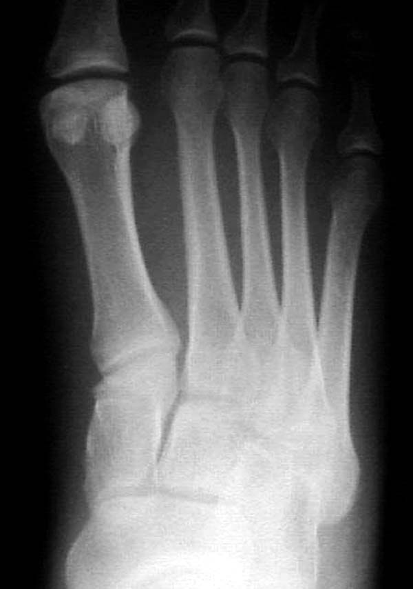
Здесь КТ и сравнительные снимки стопы под нагрузкой.
Диагностировано повреждение медиальной и латеральной колонны.
Если оперативное лечение - как и каким доступом?
Djoldas Kuldjanov, MD
Department of Orthopedic Surgery
St. Louis University Medical Center
|
[
Ответить ]
|
( Ответить )
|