ВХОД ДЛЯ ПАЦИЕНТОВ
вверх
поиск
админ
главная
исходное
|
Re: Последствия чрезвертельного перелома бедренной
послал Djoldas Kuldjanov 25 Март 2008, 23:38
|
Из предложенных вариантов быстрейший результат можно ожидать после поэтапного эндопротезирования.
"Антибиотико-цементные" спейсеры после купирования
инфекции уже после первого этапа позволяют больным
передвигаться самостоятельно, иногда нагружая конечность годами.
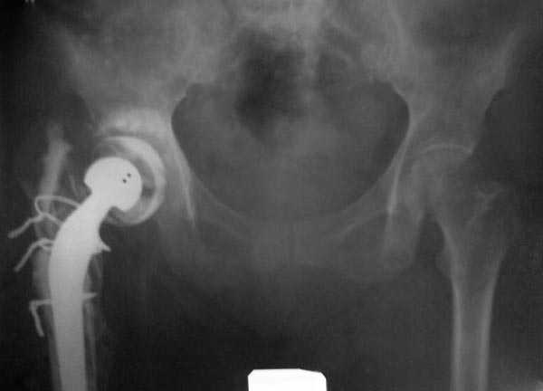
Как-то показывал случай после осложненного тотального эндопротеза, сперва из-за отсутствия экономических возможности, а затем привыкшая к своей участи вот уже более 8 лет ходит на временном "протезе-спейсере".

Полость вертлужной впадины и проксимальное бедро были заполнены custom made временным протезом из цемента.
Для бедренного компонента можно применить старую
длинную ножку протеза и желательно малого диаметра.
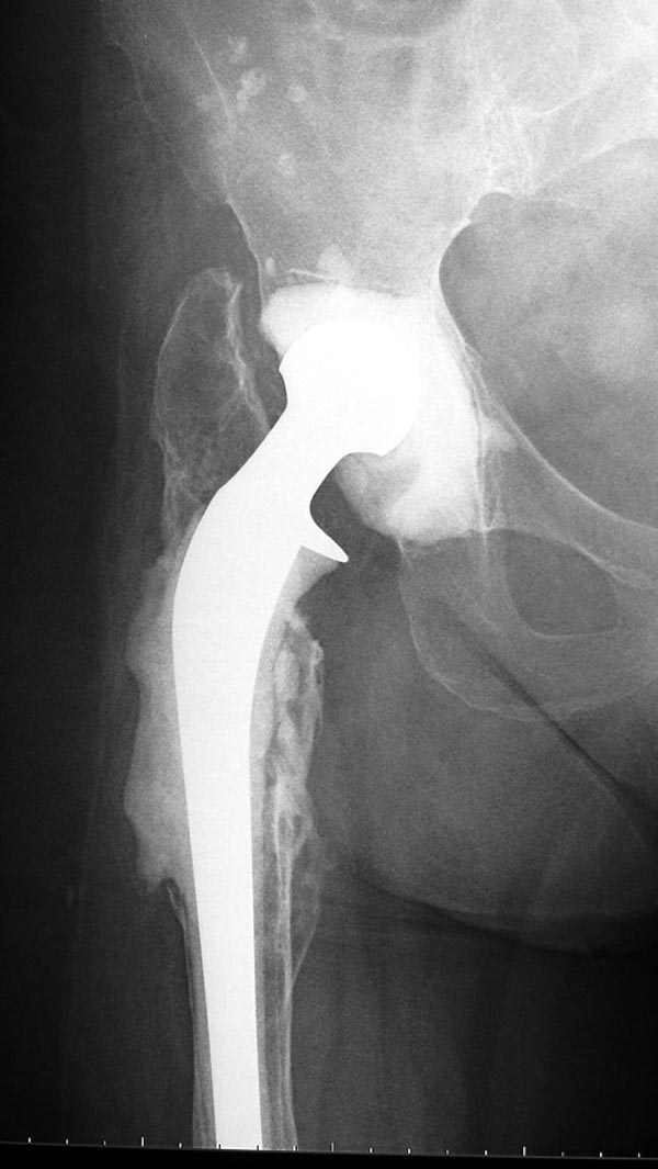
Цементная смесь наносится вручную на металл и
затем доводится до ровного диаметра поверхности
снятием лишнего цемента шаблоном. Такие шаблоны были в старом интрамедуллярном наборе, различные по диаметру отверстия на металлической пластине. Протез с цементом проводится через отверстие в шаблоне для точного совпадения с размером проксимального римера. Таким образом приготовленный феморальный компонент будет
держаться в бедренной кости плотно.
В зависимости от процесса дозу антибиотика можно
увеличить в два раза: Tobramycin 2.4 gm Vancomycin 2 mln. На такое количества порошка для получения
нормальной полимеризации цемента необходимо добавить дополнительную цементную жидкость.
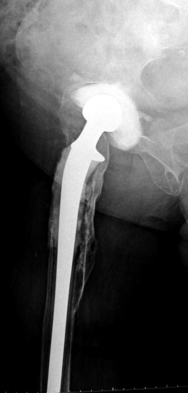
В вертлужную полость устанавливается цемент и головкой протеза выдавливается выемка, т.е. создается место для головки. В проксимальное бедро устанавливается заранее подготовленный цементный бедренный компонент.
Через пару месяцев после улучшения мягкотканой
кондиции можно приступить к окончательному протезу.
Но, учитывая молодой возраст и отсутствие
аваскулярного некроза головки, я бы все таки
позаботился бы восстановить собственную головку.
Конечно для восстановления понадобится больше времени и больной должен быть готов на возможные неудачи.
Такие сложные случае должны пройти адекватное
официальное "консультирование" больного.
Для этого сперва проводим в условиях операционной
формальную Irrigation&Debridment с заполнением полости спейсером из антибиотиков, рана не закрывается первично, а вакуумируется губкой из по системе KCI на поверхности раны создающий 50-200 mmHg негативного давления с интенсивностью 10-50 mmHg/second.
Положительных моментов от вакуума много, кроме
улучшения местного кровообращения, уменьшение
поверхности раны, предупреждение вторичного
инфецирования, и ещё одно из самых главных
экономических преимуществ, нет надобности в ежедневных перевязках, и гигиенически приятно когда рана закрыта и нет грязной промокающей повязки, что облегчает жизнь обслуживающего персонала.
Критерием закрытия раны является только "отрицательная"! культура посева из раны на
анаэробную и аэробную флору. То есть I&D может
повториться несколько раз до чистой флоры. Также
ирригацию предлагаем проводить Simpulse Pulsed Lavage System не менее 5 литров стерильной жидкости под давлением. Количество промываемой жидкости зависит от загрязненности раны.

Сегодня в операционной провел малый эксперимент,
различные губки (sponge) найденные в операционной
(фото) на ровной поверхности были прикрыты обычной
стерильной пленкой Iobane, присоеденена к ней трубка из внутривенной системы и обычный отсос от
анестеологической машины. Самодельный вакуум работал как нормальный.
В дальнейшем заменил бы наружный фиксатор из частей аппарата Илизарова на более стабильный - стержневой фиксатор таз-бедро. В тазу можно применить полукольцо стержнями за крыло таза и дистально 2-3 стержня между передней и боковыми головками четерехглавой мышцы. Дельтовидная рама сверху вниз усилит конструкцию.
Можно на аппарате или на вытяжении немного дотянуть для создания запаса длины.
Следующий этап восстановление применением Blade Plate. Универсальный имплант и сегодня является уникальным по механическим характеристикам для восстановления проксимального отдела бедра где имеется сложная биомеханика.
Имеющиеся 130 градусные для вальгуса пластины от
Synthes короткие всего на две дырки, выход, обычная длинная 95 градусная Blade Plate разгибается до 105-110 градусов. Металл трудно поддается деформации, и его не согнуть между тепловой батереей в операционной, надо подготовить заранее после предварительного нагрева в механической мастерской.
Проведя клинок горизонтально в шейку, и соединив с
диафизом бедра создаем небольшой вальгус, тем самым увеличиваем длину конечности. Образовавшийся дефект кости надо заполнить блоком цемента, который предупреждает инфицирования и дает устойчивость конструкции. После затихания процесса можно приступить ко вторичному заполнению аутокостью или можно применить костную массу из того же местного костного регенерата.
Обещанный Synthesом локинг вариант пластины еще до нас не дошел, но блокирующая на пластине шайба поможет созданию локинг концепт.
Djoldas Kuldjanov, MD
Department of Orthopedic Surgery
St. Louis University Medical Center
|
| Послать ответ |
Обратите внимание: Поля с жирными названиями обязательны.
Старайтесь отвечать в рамках обсуждаемой темы, а не начинать новые обсуждения.
Указывайте адекватную тему сообщения, чтобы было ясно, о чем оно.
Не послайте сообщений не по теме (оффтопик), раздраженных, грубых или обидных комментариев. Здесь это неуместно.
|