ВХОД ДЛЯ ПАЦИЕНТОВ
вверх
поиск
админ
главная
|
Надо ли делать реконструкцию перед протезом? |
 |
 |
 |
Прислано Рунков А.В. 24 Март 2008, 17:10
из УНИИТО
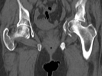
Уважаемые коллеги, возник вопрос по лечению нашей пациентки 60 лет. Около года назад множественная травма: в том числе Т-образный перелом вертлужной впадины.
На сегодняшний день сращение отломков имеется на ограниченных участках, имеется дефект задней колонны вертлужной впадины. Движения неплохие, ходит с костылями, приступая на ногу.
По мнению эдопротезистов при установке антипротрузионного кольца или октопуса не хватит костного материала и необходимо перед протезированием выполнить реконструкцию впадины, иначе чашка протеза неминуемо выпадет.
Просьбы поделиться положительным и отрицательным опытом протезирования в подобных случаях.
Возможно ли обойтись без реконструкции?
Или лучше с ней?
С уважением РАВ.
Обратите внимание: Поля с жирными названиями обязательны.
Старайтесь отвечать в рамках обсуждаемой темы, а не начинать новые обсуждения.
Указывайте адекватную тему сообщения, чтобы было ясно, о чем оно.
Не послайте сообщений не по теме (оффтопик), раздраженных, грубых или обидных комментариев. Здесь это неуместно.
|