вверх
отправить
поиск
админ
главная
|
Анкилоз локтевого сустава у ребенка 13лет |
 |
 |
 |
Отправлено Ihor 07 Апрель 2008, 00:50
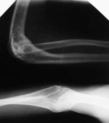
Здравствуйте, уважаемые коллеги. Обратился пациент 13 лет с анкилозом левого локтевого сустава, после остеомиелита . Несколько лет тому назад больному пытались сохранить сустав в одной клинике. из документов известно, что резецировали головку лучевой кости и сформировали блок плечевой кости. На сегодняшний день: локтевой сустав в положении сгибания 80гр. просупинационные движения 10/0/10. Пациент не может самостоятельно надеть ботинки и застегнуть брюки. Я планирую выполнить коррегирующую разгибательную остеотомию плечевой кости в н/3
Посоветуйте, пожалуйста: 1. Какое положение конечности будет максимально выгодным для пациента на сегодняшний день и для дальнейшего протезирования (в перспективе) 2.Если остеотомия, то на каком уровне, метод фиксации. Огромное Спасибо за Ваше внимание. С уважением. IHOR.
<
|
>
|
|
Ответить
|
Re: Анкилоз локтевого сустава у ребенка 13лет
DM 08 Апрель 2008, 00:39
|
Может попробовать еще раз попытаться сохранить сустав: выполнить моделирующую артропластику локтевого сустава с наложением шарнирно-дистракционного аппарата?
|
[
Ответить ]
|
Re: Анкилоз локтевого сустава у ребенка 13лет
Константин_Т 08 Апрель 2008, 15:54
|
Не понимаю, что даст остеотомия. Шнурки завяжет,а питаться не сможет.
Еще хуже.
Резекционная артропластика из двух доступов с выделением локтевого нерва. Шарнирно-дистракционный аппарат. Не много , но 30-40 град можно получить.
|
[
Ответить ]
|
Re: Анкилоз локтевого сустава у ребенка 13лет
Отправитель: Ihor 09 Апрель 2008, 12:34
|
Здравствуйте, уважаемые коллеги.
Большое спасибо, за Ваши советы. Разрешите спросить подробнее о методе артропластики. Используете ли Вы трансплантаты? Буду очень благодарен за информацию.
С уважением. IHOR.
|
[
Ответить ]
|
Re: Анкилоз локтевого сустава у ребенка 13лет
Отправитель: Aharon Liberson 10 Апрель 2008, 12:38
|
Agree- You probably should consider his prosupination.
He needs an extention of only one of his elbows for the toilet purpose , not for bagging.-Hope its there, the other limb.
An interposition operation would give him some Range of Movements (taking away some of his strength). I had an experience with Fascia Lata.
I do not think of a total elbow. Distraction might end with ossification, like any other procedure- you should move him early.
Prosupination will have some improvement with a kind of Darrach or Kapondji.
Overall-there is no question of fixation, but the opposite is true.
AL
|
[
Ответить ]
|
|
( Ответить )
|
|