ВХОД ДЛЯ ПАЦИЕНТОВ
вверх
поиск
админ
главная
|
Нагноение после интрамедуллярного остеосинтеза |
 |
 |
 |
Прислано Александр Ситник 19 Апрель 2008, 22:37
из
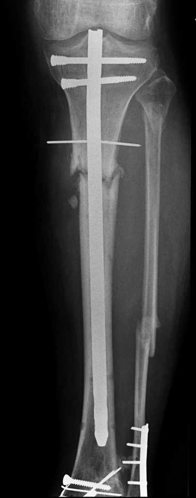
У пациента 55 лет после открытого перелома костей голени остро развилось глубокое нагноение верхней трети голени.
Травма в октябре 2007 года открытый перелом 3 ст - ПХО, наложение стержневого аппарата, остеосинтез ложыжек при поступлении. После заживления ран через 10 дней - закрытый интрамедуллярный остеосинтез без рассверливания. Применялась отклоняющая спица, которая оставлена подкожно для контроля положения проксимального фрагмента. Певичное заживление ран.
Динамизация остеосинтеза через 1,5 месяцев, однако в динамике рентгенологически - признаки формирования ложного сустава. Последние 2 месяца ходьба с полной нагрузкой без клинических жалоб.
5 дней назад без видимой причины подъем температуры, гиперемия по внутренней поверхности в/3 голени, формирование абсцесса. При вскрытии 2 дня назад около 80 мл сливкообразного гноя. Спица удалена (видимо она и была причиной инфицирования), винты нестабильны - также удалены. Гвоздь оставили на месте (пока). Дном гнойной раны явлется кость, зонд доходит до гвоздя. в настоящее вроем рана дренируется выпускниками, количество отделяемого уменьшается.
Вопрос по дальнейшему лечению. Интрамедуллярная фиксация оказалась нестабильной, поэтому рассматриваем 2 варианта:
1. Удаление стержня - переход на ВКДО по Илизарову с промывным дренированием канала.
2. То же, но вместо промывания - интрамедуллярный тонкий стержень с антибиотиком на цементе.
Просьба откликнуться имеющих личный опыт лечения таких осложнений относительно нюансов, и возможно других вариантов.
С уважением
А. Ситник
Обратите внимание: Поля с жирными названиями обязательны.
Старайтесь отвечать в рамках обсуждаемой темы, а не начинать новые обсуждения.
Указывайте адекватную тему сообщения, чтобы было ясно, о чем оно.
Не послайте сообщений не по теме (оффтопик), раздраженных, грубых или обидных комментариев. Здесь это неуместно.
|