AOTRAUMA.ORG Центр Илизарова  

Ортопедия и травматология Общие вопросы/General questions Help Информационные технологии в медицине
 вверх
 отправить
 поиск
 админ
 главная


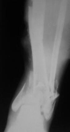
Открытый перелом 43.С3.3
Ортопедия и травматология Отправлено Abdurashid Turaev 24 Апрель 2008, 23:32
Больной 41г переведен из ЦРБ, травма в результате ДТП- 5 дней назад, произведена ПХО раны, наложена гипсовая повязка.
Об-но; начиная с с/з голени продольно - почти циркулярная рана, с признаками инфицирования - покраснение, отечность, усиление боли, местная т-ра и мутные кровянистые выделения из раны, и выраженная деформация голени. В отд нашей коллегой в экстренном порядке в задней поверхности голени щвы распушены, выпушено около 50мл мутной гематомы, АВФ, умеренная дистракция, антибиотики, и т.д.
Наш план; после устранения воспалительных процессов, перемонтаж аппарата, репозиция оставшихся смещений спицами с упорной плошадкой и стабилизация аппарата, дальше по обстановке.
Уважаемые коллеги! Какие будут мнения и дополнения по поводу тактики лечения или критические замечания?
С уважением Абдурашид.

<  |  >

 

  • Сообщения о Ортопедия и травматология
  • Также Abdurashid Turaev
  • Связаться с автором
  • Ответить

    Re: Открытый перелом 43.С3.3
    Alexander Chelnokov 25 Апрель 2008, 07:17
    План довольно оптимистичный. Если инфекция легко купируется, то действительно стабилизировать спицами дистальный отломок большеберцовой кости, освободить стопу.

    Надо сейчас интенсивно бороться с инфекцией местными мерами. Возможно, поставить систему орошения. Делать повторные обработки раны. Дело еще может закончиться некрозом, обнажением кости с последующей сегментарной резекцией.

    [ Ответить ]

    Re: Открытый перелом 43.С3.3
    Odesky Jacob M.D. 25 Апрель 2008, 10:52
    Какие будут мнения и дополнения по поводу тактики лечения или критические замечания?
    С уважением Абдурашид.


    Уважаемый Абдурашид!
    1. Не могли ли Вы познакомить уважаемую публику с некоторыми подробностями раны, например дать не только классификацию перелома по АО, но и по характеру раны. степени циркуляторных проблем и т.д.
    2. Не могли бы Вы дополнить иллюстрационный материал фотографиями конечности, включающей колено, голень и стопу, а также рентген снимки, хотя бы показывающие полностью компоновку аппарата.

    3. Когда Вы пишите ЦРБ, ПХО, ДТП - всем понятно что это такое. Но АВФ может быть разный - монолатеральный, циркулярный, гибридный и т.д.
    Я встречаю это у многих наших коллег... Нам как будто бы стыдно написать "аппарат Илизарова".

    4. Если есть инфекция зачем надо было вставлять спицу в области инфицированной раны?

    5. Вы уверены, что аппарат Илизарова в той компоновке, что он применён, осуществляет нечто большее , нежели скелетное вытяжение?

    6. Я понимаю, что в данной ЦРБ с "АВФ" не дружат... Почему бы Вам не договориться, что подобные открытыте переломы переводились бы к Вам сразу же, а не на 5 сутки?

    7. Тактика лечения переломов пилона разбиралась нами детально на форуме. Вы можете взглянуть в поиске "перелом пилона"

    С уважением!
    [ Ответить ]

    • Re: Открытый перелом 43.С3.3
      Отправитель: Abdurashid Turaev 28 Апрель 2008, 01:04

      Уважаемый Jacob.
      1. ПХО произведена в ЦРБ, поэтому по имеюшимися данным ( клиника, Р-графия, допплер обследования) примерно можно так сформулировать; 43.С3.3/I03-MT3-NV1.
      2.Не могу, потому что аппарат Илизарова наложен нашей молодой коллегой в экстренном порядке, и несовсем удачно и с ошибками, но главную функцию для данного случая -дистракцию выполняет,( поэтому я писал, что будем делать перемонтаж.)
      3.Вы совершенно правы, но нам не стыдно писать КДО аппаратом Илизарова, наоборот это почетно!, видите ли иногда бывает ошибки из-за нихватки времени.
      4. Я тоже думаю убрать эту спицу,
      5. Я уже ответил.
      6. В таких случаях ЦРБ должен вызвать специалиста из центра по линии САС, и специалисть должен решить тактику лечения, этот случай будеть разбираться на уровне облздравотдела.
      7. Спасибо, я обязательно взгляну.
      С уважением Абдурашид.

      [ Ответить ]

     

    ( Ответить )

    Powered by Zope  Squishdot Powered MedLink
    Посетитель: 0404368
      "По форме правильно, а по существу - издевательство" В.И.Ленин
    ©2001-2019Orthoforum Coordinator.
    [ Главная | Отправить сообщение | Поиск | Админ ]