AOTRAUMA.ORG Центр Илизарова  

Ортопедия и травматология Общие вопросы/General questions Help Информационные технологии в медицине
 ВХОД ДЛЯ ПАЦИЕНТОВ
 вверх
 поиск
 админ
 главная


Коксит vs. Ас.некроз
Ортопедия и травматология Прислано Моисеев Ю.И. 27 Май 2008, 01:34
из
Уважаемые коллеги! Помогите с дифф. диагнозом и тактикой лечения.
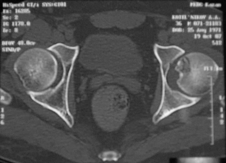
Молодой человек, 37л. Начало заболевания сентябрь 2007, резкие боли в области лев. тазобедренного сустава, повышение температуры до 39 гр., в течение недели, лабораторные данные: лейкоцитоз со сдвигом влево. Посев крови на стерильность возбудителя не выявил. По данным Рг, РКТ выставлен диагноз: Левосторонний коксит? Асептический некроз? Проводилось лечение: цефсон в/в неделю, иммобилизация кокситной повязкой 1 мес. Обратился повторно 10 дней назад с жалобами на сильные боли в левом тазобедренном суставе, белая кровь – нормограмма, СОЭ 46 мм/ч. На сегодняшний день: болей не отмечает. Лаб.данные: белая кровь – нормограмма, СОЭ 30 мм/ч. Рентген и РКТ прилагаем.
Рассмотреная тактика лечения: операционная биопсия.
При отрицательных данных за коксит - диагноз асептический некроз - эндопротезирование

При положительных данных за коксит какие методы могут быть использованы?
Правомочна ли резекция головки, установка спейсера, тотальное эндопротезирование.
На какой срок устанавливать спейсер? Имеет ли здесь право как методы лечения сегметарная резекция головки, артродезирование тазобедренного сустава?

Послать ответ

Имя
Email
Уведомление Сообщить мне по e-mail об ответах на это сообщение
Название
Комментарий
(Проверьте URL! Не забудьте написать http://!)
Кодировка
Если не знаете, что выбрать, выберите "Просто текст"!
Приложение
Можно приложить к сообщению файл c изображением, который затем будет доступен увидевшим сообщение.
Подготовка иллюстраций:
  • Рентгенограммы: черно-белые полутоновые изображения в формате JPEG (8 bit, greyscale) с разрешением от 300х200 до 1024х768 пикселов;
  • Клинические фотографии: полноцветные изображения в формате JPEG (24 bit, truecolor) с разрешением от 300х200 до 1024х768 пикселов;
  • Схемы и рисунки: черно-белые (2 bit) штриховые (line-art) изображения в формате GIF или compressed TIFF
  • Подберите степень сжатия файла JPEG и размер изображения таким образом, чтобы необходимые детали были различимы, но размер файла не превышал 75 кб.
  • Учтите, что текущая версия программного обеспечения Форума позволяет приложить к одному сообщению лишь один файл-вложение. Поэтому, если необходимо отправить несколько изображений, можно либо послать каждое как отдельное сообщение, либо в графическом редакторе объединить изображения в одно (сделать коллаж).
  • Если при подготовке изображений встречаются трудности, не стесняйтесь обратиться к координатору Форума.

  • Введите видимые символы в обратном порядке. Enter the above characters in reverse order (*Обязательно)
    В тексте сообщения можно использовать теги HTML <B> <I> <P> <A> <LI> <OL> <UL> <EM> <BR> <TT> <HR> <STRONG> <BLOCKQUOTE> <DIV .*> <DIV> <P .*>
  • Обратите внимание: Поля с жирными названиями обязательны.
  • Старайтесь отвечать в рамках обсуждаемой темы, а не начинать новые обсуждения.
  • Указывайте адекватную тему сообщения, чтобы было ясно, о чем оно.
  • Не послайте сообщений не по теме (оффтопик), раздраженных, грубых или обидных комментариев. Здесь это неуместно.
  • Powered by Zope  Squishdot Powered MedLink
    Посетитель: 0182825
      "По форме правильно, а по существу - издевательство" В.И.Ленин
    ©2001-2019Orthoforum Coordinator.
    [ Главная | Отправить сообщение | Поиск | Админ ]