AOTRAUMA.ORG Центр Илизарова  

Ортопедия и травматология Общие вопросы/General questions Help Информационные технологии в медицине
 вверх
 отправить
 поиск
 админ
 главная


Аневризмальная киста
Ортопедия и травматология Отправлено Курышев Данила 05 Июнь 2008, 02:01 ТДГБ г.Москва
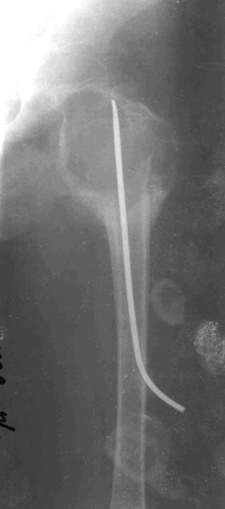
Ребёнок 7 лет. Девочка. Патологический перелом на фоне кисты бедренной кости в ноябре 2007 года.
Скелетное вытяжение. Первичное сращение перелома. После сращения выполнено проведение ТЕN до шейки бедра в надежде на некую стабильность и дренирование кисты в костномозговой канал. На гистологии – типичная картинка для аневризмального процесса. Ребёнок выписан и в апреле 2008 года госпитализирован повторно в связи с прогрессированием аневризмальных изменений на рен.снимках. Двукратное промывание полости гемостатиками под наркозом. Кровь артериальная под давлением 12-15 см.
Повторное в этом году поступление – неделю назад. Резкие боли в области левого бедра после неловкого падения. Срочно госпитализирована. На рентгенограмме – обширное вздутие кортекса проксимального отдела бедра, распространяющееся от физарной зоны до малого вертела. На пункции – артериальная кровь под давлением 14-15 см. Промывание гемостатиками так и не дало чистых вод. Наружный дренаж оставлять опасно.
Течение заболевания практически не оставляет сомнений в необходимости перейти на открытое вмешательство. Вот только сам план операции породил множество версий. Радикальнее всего (и кровавее) – резекция, «семафорная пластика» трансплантатами. Сердце не лежит, так как ели уже рецидивы с полным восстановлением картины через несколько лет у детей в этом возрасте, да и массивно, с кровопотерей превеликой. Красив вариант с кистоскопией артроскопом. Имеется изогнутый каутер, которым, под контролем оптики, можно останавливать кровотечение из сосудов, однако угол зрения оптики и угол полезного действия каутера не безграничны. Больше склоняемся к открытой трепанации кисты. Важнейшим вопросом является – чем и как заполнять полость кисты. Рассматриваются варианты: введение TEN до головки через костномозговой канал, цементирование фиксатора у верхнего и нижнего края кисты, заполнение губчатым аллотрансплантатом; тугое заполнение кисты гелем чешской IKVA, с соответствующим гемостазом; последний вариант – коагуляция всего и вся с заполнением полости гранулами или чипсами. Все эти мысли с оглядкой на неблагоприятно-агрессивное течение процесса в активной кисте. Ошибаться не хочется.
Будем очень признательны за любой конструктивный совет по дальнейшему лечению девочки.
С уважением.
Курышев Данила

<  |  >

 

  • Сообщения о Ортопедия и травматология
  • Также Курышев Данила
  • Связаться с автором
  • Ответить

    Re: Аневризмальная киста
    йСПШЬЕБ дЮМХКЮ 05 Июнь 2008, 12:14
    КИСТА
    Кликните для загрузки файла Абызова май 2008 гб.jpg
    21KB (21534 bytes)

    [ Ответить ]


     

    ( Ответить )

    Powered by Zope  Squishdot Powered MedLink
    Посетитель: 0389977
      "По форме правильно, а по существу - издевательство" В.И.Ленин
    ©2001-2019Orthoforum Coordinator.
    [ Главная | Отправить сообщение | Поиск | Админ ]