Ответить
|
Re: Чрезвертельный перелом у возрастного пациента
Alexander Chelnokov 05 Июнь 2008, 16:44
|
Дорогой Юрий Алексеевич, для вертельных переломов фиксация нужна с возможностью нагрузки без ограничений, т.е с угловой стабильностью.
Это DHS или гамма (можно другие PFN), вводимые закрыто. Мысль о винтах от лукавого. Если выдержит остеосинтез винтами - выдержит и DHS или гамму.
|
[
Ответить ]
|
Re: Чрезвертельный перелом у возрастного пациента
В.Машталов 05 Июнь 2008, 21:31
|
Приветствую!
Если оперировать с целью ранней вертикализации больного, винты не смогут
обеспечить опорной функции конечности в данном случае, тем более в 92 года ограничения нагрузки костылями невозможна, больной если и встанет, то
нагрузка будет полной. " соматически сохранный" , на Р граммах качество кости достаточное - шеечно-диафизарный гвоздь (не травматичнее винтов) и полная нагрузка. Увы, а может к радости, средний возраст наших пациентов растет. Мы уже давно не пугаемся 85 лет, а на Камчатке народ наверноее
здоровее.
Удачи
В. Машталов
|
[
Ответить ]
|
Re: Чрезвертельный перелом у возрастного пациента
Павел Кирилюк 05 Июнь 2008, 21:32
|
Здравствуйте !
Уважаемый Юрий Алексеевич! Возможно эта методика уже и устарела, но мы в подобных случаях иногда используем стержневые АВФ. Два длинных стержня Шанца вводятся по шейке бедра, два или три в диафиз на уровне верхней трети и монтируем на внешней планке однополюсно. Методика весьма малоинвазивна. Выполняется на ортопедическом столе, желательно под ЭОП и спмнномозговой анестезией, но можно и без ЭОП.
Хота , конечно , DHS или гамма предпочтительнее.
С уважением , Павел .
|
[
Ответить ]
|
Re: Чрезвертельный перелом у возрастного пациента
Андрей Волна 06 Июнь 2008, 21:54
|
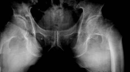
Это стабильный перелом А1.2. Противопоказано - остеосинтез винтами (не достаёт стабильности при переломах типа А), эндопротезирование - неоправданно травматичное вмешательство.
Показан - или DHS, или гвоздь. В случае стабильных переломов, таких как данный, биомеханически это работает одинаково хорошо. То есть, если пожилой пациент не может ходить при помощи костылей - полная нагрузка не противопоказана, даже в случае остеосинтеза DHS. Преимущество DHS - меньшая цена. Преимущество гвоздей - миниинвазивность. Но, ещё раз подчеркну, биомеханически при переломах А1 - это одно и тоже. При нестабильных переломах- А2 и А3 - показан гвоздь. А если DHS - то только с накладкой. Эндопртезирование при переломах типа А проводится чрезвычайно редко - только при данных переломах на фоне ДОА. И то не всегда и не всеми ортопедами это поддерживается. Так что выдумывать не надо - следуйте общепринятому протоколу.
С уважением, Андрей Волна.
|
[
Ответить ]
|
Re: Чрезвертельный перелом у возрастного пациента
Отправитель: Юрий Алексеевич Булахтин 07 Июнь 2008, 14:02
|
А если DHS - то только с накладкой.
Дорогой Андрей!
В отношении цены - все в точку. Ничего покупать нельзя, лепить из того, что есть. Кому непонятно - читайте нацпроект.
Т.е. социально я никого"грузить" не собираюсь, а клинически глаз зацепился за фразу "А если DHS - то только с накладкой". А что такое DHS без накладки?
|
[
Ответить ]
|
Re: Чрезвертельный перелом у возрастного пациента
Отправитель: В.Машталов 07 Июнь 2008, 14:06
|
> такое DHS без накладки?

Это просто DHS. А накладка используется при переломах типа А3 для стабилизации вертела, можно винтами или прошить проволокой.
Накладка существует только к оригинальными версиями имплантатов. У RUклонов этой опции нет.
|
[
Ответить ]
|
Re: Чрезвертельный перелом у возрастного пациента
Отправитель: Алтай Джафаров 09 Июнь 2008, 00:35
|
в данном случае DHS мне видется предпочтительнее по
техническим и экономическим аспектам. протезирование
возможно при налиичии у вас ножек типа Лейнбах.
с уважением
Алтай Джафаров
п.с. для DHS накладка-trochanter stabilizing plate
|
[
Ответить ]
|
Re: Чрезвертельный перелом у возрастного пациента
Отправитель: адонин 09 Июнь 2008, 02:18
|
спасибо. Раньше никогда не видел. Теперь нашел в гугле.
|
[
Ответить ]
|
Re: Чрезвертельный перелом у возрастного пациента
Отправитель: адонин 09 Июнь 2008, 02:08
|
то, что изображено на картинке - это что угодно. но только не DHS :)
|
[
Ответить ]
|
|
Re: Чрезвертельный перелом у возрастного пациента
Ильдар Ф. Ахтямов 07 Июнь 2008, 13:58
|
Уважаеыый Юрий Алексеевич! Может вместо остеосинтеза поставить однополюсный (лучше биполярный) протез? 25-30 минут вмешательства и завтра будет мобилен. АИФ
|
[
Ответить ]
|
Re: Чрезвертельный перелом у возрастного пациента
Отправитель: Юрий Алексеевич Булахтин 07 Июнь 2008, 14:00
|
Клинически полностью согласен. Финансово - пациент ветеран ВОВ, лечится в госпитале бесплатно, предлагать купить ничего нельзя, а у нас... и т.д. Протез по этим причинам даже не рассматривается.
С уважением,
Булахтин
|
[
Ответить ]
|
|
Re: Чрезвертельный перелом у возрастного пациента
Анатолий Канзюба 08 Июнь 2008, 21:08
|
Доброй ночи! Присоединяюсь к предложению об однополюсном протезировании. Просто и надежно. Собственное наблюдение - женщина за 80 лет уже 4 года ходит без посторонней помощи.
|
[
Ответить ]
|
Re: Чрезвертельный перелом у возрастного пациента
Отправитель: Alexander Chelnokov 08 Июнь 2008, 21:09
|
Коллеги, это обычный вертельный перелом, не шеечный. Остеосинтез упомянутыми конструкциями и менее инвазивен, и обеспечивает опорность конечности
сразу же, и срастаются такие переломы быстро. Эндопротезирование тут попросту избыточно.
|
[
Ответить ]
|
Re: Чрезвертельный перелом у возрастного пациента
Отправитель: адонин 09 Июнь 2008, 02:13
|
совершенно согласен - классический случай для банального DHS. травматичность DHS и время оперативного вмешательства ниже , чем при однополюсном эндопротезировании, нагрузку на адекватно введенный шуруп и эндопротез можно давать абсолютно одинаковую.
|
[
Ответить ]
|
|
( Ответить )
|
|