ВХОД ДЛЯ ПАЦИЕНТОВ
вверх
поиск
админ
главная
исходное
|
Re: Множественные переломы нижних коенечностей на фоне деформаций
послал Сычёв Д. 24 Июнь 2008, 21:46
|
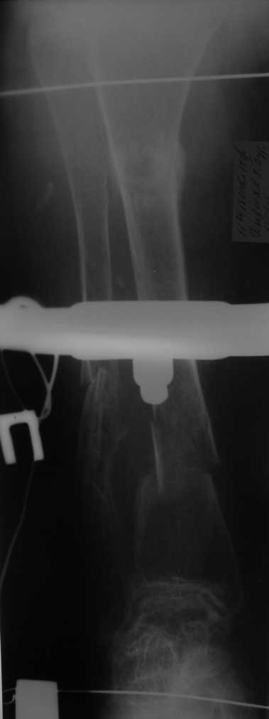
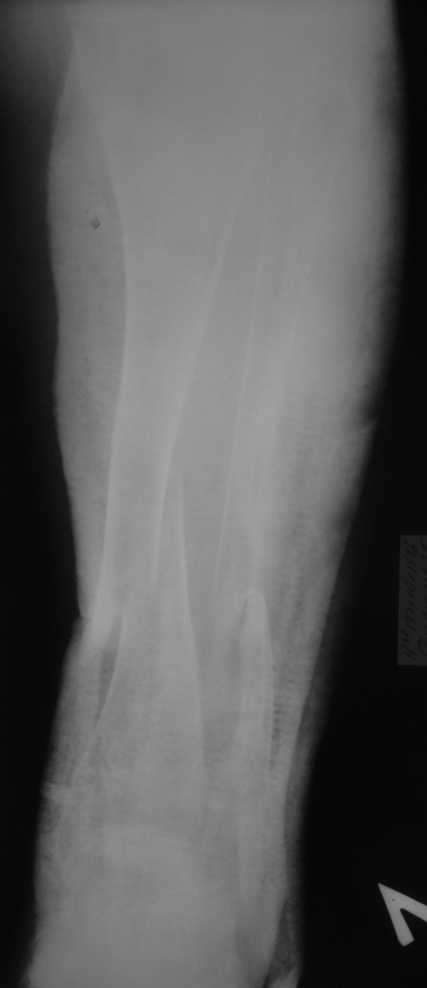
Спасибо большое за совет и предложенную тактику лечения.
Но даже при малоинвазивной методике лечения применимой для даной больной существуют следующие проблемы: выраженный остеопороз, тонкий кортикал, очень широкий канал.
Хотел бы узнать ваше мнение по поводу металлофиксаторов которые можно применить в данном случае.

Контрольные рентгенограммы прилагаю.
Заранее большое спасибо!
|
| Послать ответ |
Обратите внимание: Поля с жирными названиями обязательны.
Старайтесь отвечать в рамках обсуждаемой темы, а не начинать новые обсуждения.
Указывайте адекватную тему сообщения, чтобы было ясно, о чем оно.
Не послайте сообщений не по теме (оффтопик), раздраженных, грубых или обидных комментариев. Здесь это неуместно.
|