ВХОД ДЛЯ ПАЦИЕНТОВ
вверх
поиск
админ
главная
исходное
|
Re: DHS + ретроградный гвоздь или реконструктивный гвоздь?
послал Andrey Volna 27 Июнь 2008, 16:19
|

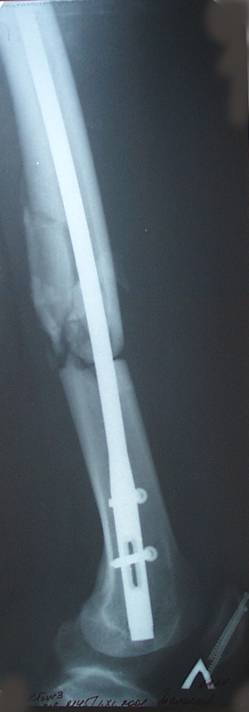
Уважаемый Сергей, избрав вариант DHS плюс ретроградный гвоздь Вы явно обезопасите себя от проблем, связанных с введением штифта через trochanteric fossa. Очень это может быть проблематично, Вы правы. Поэтому DHS плюс ретроградный гвоздь - спокойно выполнимый вариант, особенно в "чужом" отделении. Схожий свой случай из далёкого теперь уже 1999г. прилагаю, только вместо канюлированных винтов у Вас будет DHS (VHS). А если антеградный гвоздь - то только из тех, что предназначены к введению через верхушку вертела. И это тоже выполнимо, но сложнее. Мне так кажется.
С уважением, Андрей Волна
|
| Послать ответ |
Обратите внимание: Поля с жирными названиями обязательны.
Старайтесь отвечать в рамках обсуждаемой темы, а не начинать новые обсуждения.
Указывайте адекватную тему сообщения, чтобы было ясно, о чем оно.
Не послайте сообщений не по теме (оффтопик), раздраженных, грубых или обидных комментариев. Здесь это неуместно.
|