AOTRAUMA.ORG Центр Илизарова  

Ортопедия и травматология Общие вопросы/General questions Help Информационные технологии в медицине
 вверх
 отправить
 поиск
 админ
 главная


Эндопротезирование
Ортопедия и травматология Отправлено Пивень Игорь 10 Июль 2008, 10:06
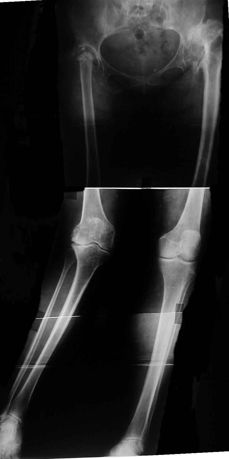
Уважаемые коллеги!В клинику для оперативного лечения поступила пациентка 61 года.
В анамнезе - открытое вправление врожденных вывихов обоих бедер в раннем детстве.
В 1972г. в институте выполнено эндопротезирование правого тазобедренного сустава протезом Сиваша.
Через год после установки эндопротез был удален ввиду развившейся нестабильности вертлужного компонента. В дальнейшем – неоднократные курсы консервативного лечения по поводу стойкого болевого синдрома с кратковременным положительным эффектом.
В настоящий момент пациентка поступила с жалобами на боль, деформацию правого коленного сустава. При осмотре вальгусная деформация на уровне правого коленного сустава 20 град., в нагрузке увеличивается до 30. Движения в правом коленном суставе болезненные, амплитуда 80/180 град. Опороспособность правой нижней конечности нарушена засчёт тотальной нестабильности правого коленного сустава. Стойкой контрактуры в неоартрозе на уровне правого тазобедренного сустава нет. В левом т/б суставе движения качательные, имеется сгибательно-приводящая контрактура, но сохранена опороспособность конечности.
1-м этапом планируем выполнить эндопротезирование правого тазобедренного сустава с использованием ножки типа Wagner. 2-м этапом – эндопротезирование правого коленного сустава. После восстановления функции суставов и опороспособности правой нижней конечности планируем выполнить эндопротезирование левого тазобедренного сустава.
Уважаемые коллеги! Возможны ли в данном случае иные варианты этапности оперативного вмешательства?
Какие типы ножек эндопротезов тазобедренного сустава (стандарт или удлиненные) предпочтительнее использовать в данном случае?

<  |  >

 

  • Сообщения о Ортопедия и травматология
  • Также Пивень Игорь
  • Связаться с автором
  • Ответить

    Re: Эндопротезирование
    Kudinow Konstantin 11 Июль 2008, 15:55
    Уважаемый Игорь.
    Иной вариации этапности нет. Сначала - т\б, затем - колено (ось ведь выставлять по бедру)
    Для т\б сустава, судя по снимку, не обязательно использовать Вагнер, можно любой с дистальной фиксацией (Цваймюллер или ЭС-тайпер)

    При использовании Вагнер будет геморрой с установкой колена, нужен будет укороченный инициатор (хотя у Депюшек он, помоему, есть)
    Хотя ИМХО, конечно. Вам на месте виднее.
    ЗЫ. А чашку какую планируете?
    С уважением, Кудинов. Владивосток.
    [ Ответить ]

    Re: Эндопротезирование
    Rashid Tikhilov 14 Июль 2008, 01:30
    Уважаемый Пивень Игорь,
    Вы рассуждаете абсолютно логично о последовательности действий, и ножка
    Wagner cone так же оптимальна для данной ситуации, хотя возможно использование и конических ножек типа Аллоклассик. Другое дело, что во время операции может быть масса неожиданностей....
    С ув.Р.Тихилов
    [ Ответить ]


    ( Ответить )

    Powered by Zope  Squishdot Powered MedLink
    Посетитель: 0000064
      "По форме правильно, а по существу - издевательство" В.И.Ленин
    ©2001-2019Orthoforum Coordinator.
    [ Главная | Отправить сообщение | Поиск | Админ ]