AOTRAUMA.ORG Центр Илизарова  

Ортопедия и травматология Общие вопросы/General questions Help Информационные технологии в медицине
 вверх
 отправить
 поиск
 админ
 главная


Re: Рекурвация голени
Ортопедия и травматология Отправлено Зайцев 14 Июль 2008, 02:03
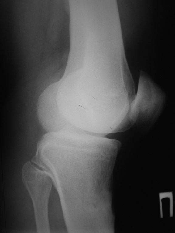
Пациент наконец то объявился вновь, и мы смогли выполнить новые снимки как лежа, так и в нагрузке.
Если у вас остались силы, давайте обсудим

<  |  >

 

  • Сообщения о Ортопедия и травматология
  • Также Зайцев
  • Связаться с автором
  • Ответить

    Re: Рекурвация голени
    Odessky Jacob M.D. 17 Июль 2008, 01:02
    Уважаемый доктор Зайцев!
    Не смотря на плохое качество снимка и недостаточный размер кассеты, а также наружную ротацию коленного сустава, снимок показывает отсутствие сгибательной контрактуры.
    Мой совет : остеотомоя большеберцовой кости тотчас дистальнее прикрепления собственной связки надколенника, малоберцовой кости в средней или на границе нижней и средней трети голени, аппарат Илизарова в компановке, подобной в моей презентации.
    Величина коррекции равная величине переразгибания в коленном суставе.
    С Уважением!
    [ Ответить ]


    ( Ответить )

    Powered by Zope  Squishdot Powered MedLink
    Посетитель: 0392163
      "По форме правильно, а по существу - издевательство" В.И.Ленин
    ©2001-2019Orthoforum Coordinator.
    [ Главная | Отправить сообщение | Поиск | Админ ]