Ответить
|
Re: Патологический перелом шейки + беременность
Alexander Chelnokov 22 Июль 2008, 09:13
|
Приветствую, коллеги
ВМАБ> Уважаемые коллеги!В отделение поступила девушка 27 лет на 24 неделе беременности с
ВМАБ> патологическим переломом шейки правой бедренной кости.
А патологический - это что подразумевается? Mts?
ВМАБ> Помогите определиться с тактикой лечения. Оперировать сейчас или
ВМАБ> дождаться родоразрешения?
Зависит от того, что за "патологичность" перелома. Если ничего опухолевого нет, то почему не малоинвазивный остеосинтез, не затягивая?
ВМАБ> Если сейчас, то что предпочтительней:
ВМАБ> подвертельная остеотомия с костной пластикой или
ВМАБ> эндопротезирование?
Я бы начал с остеосинтеза спонгиозными винтами.
ВМАБ> У нас есть сомнения в "жизнеспособности" головки.
А что за сомнения? Если дождаться родоразрешения, сомнений уже ни в чем не будет.
|
[
Ответить ]
|
Re: Патологический перелом шейки + беременность
Бехтерев Антон 22 Июль 2008, 10:17
|
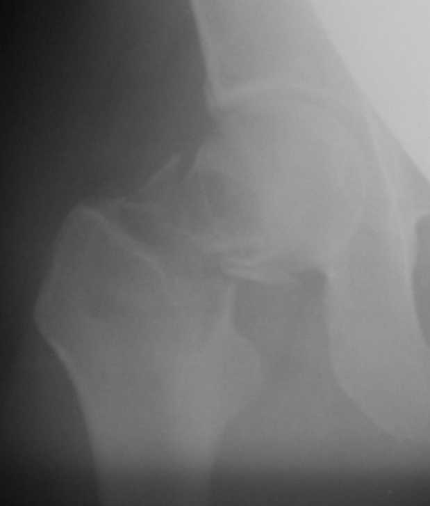
Приношу извинения, думал, что на прилагающейся рентгенограмме видно, что перелом произошел на месте обширной кисты, занимающей шейку и вертельную область. По характеру перелом многооскольчатый, дуга Адамса также представлена в виде осколков.
|
[
Ответить ]
|
Re: Патологический перелом шейки + беременность
Отправитель: Alexander Chelnokov 22 Июль 2008, 20:07
|
Если нет подозрений на первичную злокачественую опухоль, тогда опять остеосинтез, но конструкцией с угловой стабильностью, т.е. либо гамма/PFN (я бы выбрал), либо DHS. Без пластики. Вероятно, КТ могла
бы уточнить протяженность. Но головка выглядит хорошо, есть за что зацепиться.
|
[
Ответить ]
|
Re: Патологический перелом шейки + беременность
Отправитель: В. Машталов 22 Июль 2008, 22:17
|
Мы тоже склоняемся к малоинвазивному остеосинтезу, скорее винты ,причем 6,5 а не 7,3, т.к. головка у больной миниатюрная, 40 размер максимум, и с учетом отсутствия шейки может крутнуться на шеечном винте и развалиться, а 2
винта РFN в ней помещаются только по краю. Планируем оставить с незначительной нагрузкой, как минимум купируем болевой синдром, восстановим
активность , предупредим миграцию бедра, родит -будем дальше думать.
Увы, консультировались насчет КТ, не рекомендуют из-за лучевой нагрузки на плод (укрыть плод на кт фартуком на получается), на операции по ЭОПом можно укрыть плод и стрельнуть не более 2-3 раз. Здоровье плода превыше опороспособности матери, сначало реализуем программу рождаемости, далее
будем решать программу высокотехнологичной помощи.
Спасибо за советы!
С уважением к сообществу.
В. Машталов.
|
[
Ответить ]
|
Re: Патологический перелом шейки + беременность
Отправитель: Alexander Chelnokov 22 Июль 2008, 23:10
|
ВМ> Мы тоже склоняемся к малоинвазивному остеосинтезу , скорее винты ,причем
ВМ> 6,5 а не 7,3, т.к. головка у больной миниатюрная ,40 размер максимум,
На снимке без масштабной линейки все выглядит обычных размеров...
Гоовка диаметром 40 мм - вполне годится для любого гвоздя. При описанной проблеме одни винты могут не предотвратить варусный коллапс.
ВМ> и с учетом отсутвия шейки может крутнутся на шечном винте и развалиться, а 2
ВМ> винта РFN в ней помещаются только по краю.
Диаметр шеечных винтов у гаммы или pfn разных конструкций 10-12 мм, второй винт 6,5 мм, в 40 мм головке места им вполне хватит. Гаммы есть нынче и с антиротационным компонентом (U-blade), хотя можно и обойтись винтом мимо гвоздя или 1-2 спицами. Да можно и реконструкционный гвоздь использоать с обоими винтами 6,5 мм.
ВМ> Увы, консультировались насчет КТ, не рекомендуют из-за лучевой нагрузки на
ВМ> плод (укрыть плод на кт фартуком на получается), на операции по ЭОПом можно
В таком сроке негативного влияния на плод можно не опасаться.
|
[
Ответить ]
|
Re: Патологический перелом шейки + беременность
Отправитель: Anton Vakulenko 22 Июль 2008, 20:13
|
Наверное, лучше все-таки повторно переслать рентгенограммы.
|
[
Ответить ]
|
|
Re: Патологический перелом шейки + беременность
Антон Бехтерев 22 Июль 2008, 23:44
|

"Поправил" рентгенограмму. Так не лучше?
|
[
Ответить ]
|
Re: Патологический перелом шейки + беременность
Odessky Jacob M.D. 23 Июль 2008, 01:32
|
Уважаемые коллеги! Не рано ли вы начали обсуждать какие железки и как ставить???
Что вы знаете о природе патологии, кроме того, что имеете дело с 27 летней беременной женщиной с патологическим переломом в области остеолизиса проксимального бедра?
В любом случае надо торопиться с диагнозом основного процесса.
Локальный остелизис может относиться к 3- категориям: Доброкачественные опухоли, злокачественные (первичные или вторичные)и не-неопластические такие . как simple (unicameral) bone cyst (SBC) and primary aneurysmal bone cyst (ABC), обе не имеют опухолевых клеток и фиброзная дисплазия, кроме того может быть инфекционного,обменного характера.
Посмотрите тут есть полная статья по диагностике.
http://imaging.birjournals.org/cgi/content/full/15/4/298
и тут
http://www.wheelessonline.com/ortho/metastastic_bone_carcinoma
Проблема в данном случае - беременность.
Если бы срок был больше 28 недель - естественное или оперативное родоразрешение, с последующей полной диагностикой.
В данной ситуации можно попробовать спасти плод, только не за счёт матери!!! Поговорите с Вашими микропедиатрами, какой у них есть опыт ведения недоношеных и с какого срока. Если есть опыт со сроков меньших 28 недель, то надо после всех возможных анализов провести открытую биопсию, не вынимая плод, и делать это перед всеми скенированиями, СТ и другими радиологическими исследованиями. Пока придёт ответ, Вы выиграете неделю - 10 дней. А этого срока может вполне хватить для микропедиатров. Конечно же если Вы сделаете рентгенографию грудной клетки и найдёте там первичную опухоль лёгкогоили нащюпаете опухоль молочной железы, на маммографии которой будут признаки малигнизтрования, Ваша тактика может измениться. Но на этом этапе, Я думаю, что это метод выбора.
Я в своей практике встретил такой случай, у 30 летней женщины, у неё была беременность 28 недель, а причина патологического перелома ппроксимального бедра - метастаз опухоли молочной железы.
Мы её взяли в операционную, вначале гинекологи сделали кесарево сечение, затем мы , в ту же сессию - полное протезирование тазобедренного сустава.
И ещё - я настоятельно советую перевести этот случай на английский язык
С уважением!
|
[
Ответить ]
|
Re: Патологический перелом шейки + беременность
Odessky Jacob M. D. 03 Август 2008, 12:23
|
Уважаемые коллеги! Прошло 2 недели после опубликования данного случауя. Не соблоговолят ли авторы топика проинформировать уважаемую публику о дальнейшей судьбе данной пациентки.
С уважением
|
[
Ответить ]
|
Re: Патологический перелом шейки + беременность
Дедок Михаил 04 Август 2008, 01:29
|
Согласен с предыдущим коллегой. Что сделали?.
Главный принцип не навреди. Я бы сделал трепанбиопсию. Если нет "зла" можно вообще не трогать, а прооперировать после оперативного родоразрешения в сроки благоприятные для плода- тотальное эндопротезирование. Остеосинтез в данной ситуации, по моему, обречен на неудачу. Если Это "зло" - Вам удасться спасти мать? Если нет нужно спасать плод. А еще никто не отменял Центральные НИИ РАМН и консультации в них.
|
[
Ответить ]
|
Re: Патологический перелом шейки + беременность
Владимир Машталов & Антон Бехтерев 04 Август 2008, 21:55
|

Приносим извинения за молчание. Больная прооперирована: под контролем ЭОП (защита плода несколькими халатами) выполнена закрытая репозиция на ортопедическом столе и фиксация Stryker Gamma 3 nail. Послеоперационные рентгенограммы мы решили не делать, чтобы не давать и без того чрезмерную нагрузку на плод. Поэтому придется довольствоваться картинкой с ЭОПа, правда сделанную на неподходящий для таких условий съемки фотоаппарат.
|
[
Ответить ]
|
Re: Патологический перелом шейки + беременность
Владимир Машталов & Антон Бехтерев 04 Август 2008, 22:01
|
Да, забыли добавить, что во время оперции взят материал на гистологическое исследование (результат еще не получен) и в полость инъецирован жидкий OSTEOSET® (видно на аксиальной проекции). Металлокнструкции, которые видны на рентгенограммах - это те проводники, по которым вводился в полость OSTEOSET®.
|
[
Ответить ]
|
Re: Патологический перелом шейки + беременность
Отправитель: Odessky Jacob M.D. 13 Август 2008, 14:49
|
Уважаемые коллеги!
Есть ли ответ патологов?
|
[
Ответить ]
|
Re: Патологический перелом шейки + беременность
Отправитель: В.Машталов 19 Август 2008, 20:44
|
важаемый Jacob!
Вернулся из отпуска, увидел результаты гистологии: "дистрофические изменения губчатой костной ткани"
Зла не нашли, остановились на диагнозе; солитарная костная киста
Больная активизирована, хождение на костылях с 30% нагрузкой на конечность, рекомендации - родоразрешения кесаревым сечением.
После родов Р-контроль для решения вопроса о дальнейшей тактике лечения.
Был использован биодеградируемый цемент HydroSet ( Stryker), плотность его остатков соизмерима с плотностью гипса. Дополнительные антиротационные винты не вводили, На Эоп контроле стабильность нам показалась достаточной, а наличие еще одного винта в полости кисты могло вызвать фрагментацию
цементного блока. Время экспозиции на ЭОпе 2 мин, надеемся, что не очень нагрузили маму и плод (к сожалению так не можем определять дозу лучевой
нагрузки от времени экспозиции, может кто-то знает методику?)
По результатам лечения дадим информацию на форум.
Всему сообществу спасибо за обсуждение и советы!
С ув. В. Машталов
|
[
Ответить ]
|
|
Re: Патологический перелом шейки + беременность
Гринь Алексей 20 Август 2008, 21:31
|
Уважаемые коллеги. Кто нибудь знает о допустимой рентгеннагрузке выраженной в количестве R-снимков и\или ЭОП-снимков:
1. на одного человека
2. на сформированный плод (после 20-й недели), как в данном случае.
С уважением Алексей.
|
[
Ответить ]
|
( Ответить )
|
|