ВХОД ДЛЯ ПАЦИЕНТОВ
вверх
поиск
админ
главная
|
Застарелое повреждение голеностопа |
 |
 |
 |
Прислано Mikhail Smokov 14 Август 2008, 02:28
из
Уважаемые коллеги, помогите определиться с тактикой лечения для пациента с хронической болью в голеностопном суставе.
Коллеги, помогите определиться с тактикой лечения для пациента с проблемой в голеностопном суставе.
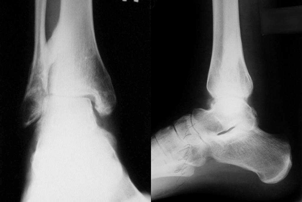
На консультацию обратился пациент 30 лет, вес около 65 кг, с жалобами на боли в голеностопном суставе, недостаток планто и дорсофлексии. Боли беспокоят при нагрузке в области синдесмоза. В анамнезе: в январе 2007г. перелом лодыжек. На Ро снимках 2007 года трехлодыжечный перелом, разрыв дистального межберцового синдесмоза, подвывих стопы кнаружи. Прооперирован в одной из районных клиник. На Ро-контроле после оперативного вмешательства МОС латеральной лодыжки 1-м кортикальным винтом, МОС медиальной лодыжки кортикальным винтом, МОС дистального синдесмоза спонгиозным винтом проведеным четко через зону синдесмоза. В октябре 2007 удаление фиксаторов. На последних снимках дисконгруэнтность суставных поверхностей, гетеротопическая оссификация межкостного пространства у дистального межберцевого синдесмоза и оссификация последнего. Последние снимки прилагаются. Как только появится пациент повторно - планирую выполнить КТ голеностопного сустава на предмет внутрисуставных костно-хрящевых тел. Помогите определиться с дальнейшей тактикой лечения.
Обратите внимание: Поля с жирными названиями обязательны.
Старайтесь отвечать в рамках обсуждаемой темы, а не начинать новые обсуждения.
Указывайте адекватную тему сообщения, чтобы было ясно, о чем оно.
Не послайте сообщений не по теме (оффтопик), раздраженных, грубых или обидных комментариев. Здесь это неуместно.
|