AOTRAUMA.ORG Центр Илизарова  

Ортопедия и травматология Общие вопросы/General questions Help Информационные технологии в медицине
 вверх
 отправить
 поиск
 админ
 главная


tilt fx
Ортопедия и травматология Отправлено Dan Shlatterer 21 Август 2008, 09:14
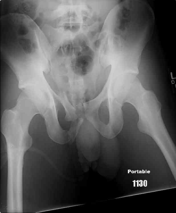
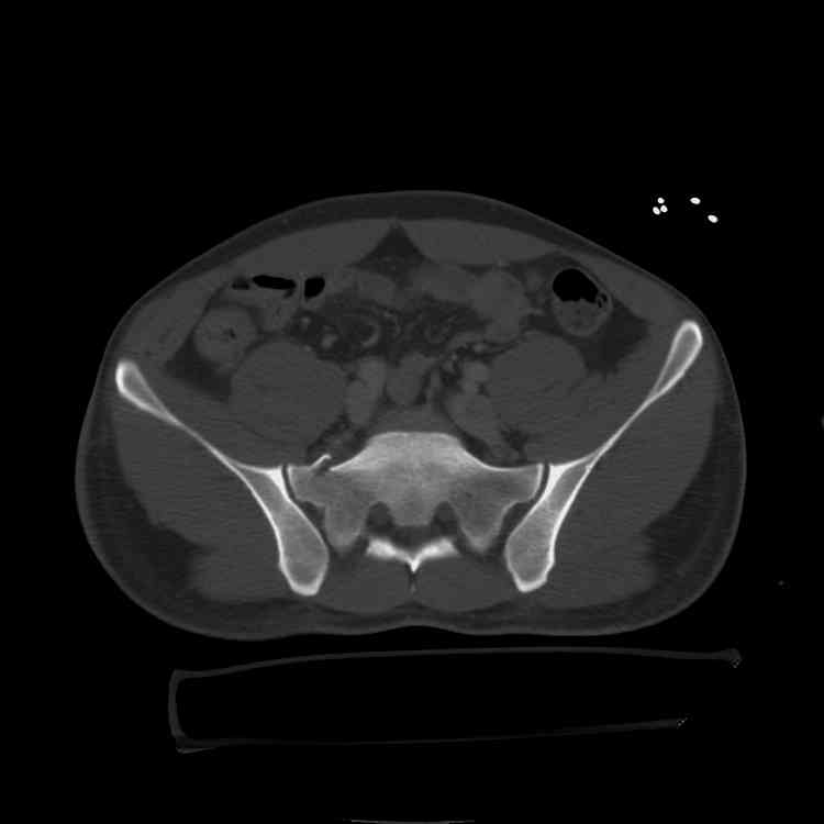
hello,this is a healthy 22yo male. peds vs auto.
no other injuries. has anyone treated these non-operatively? thanks.
dan
Daniel Schlatterer, DO, MS
Atlanta Medical Center
303 Parkway Dr. NE
Atlanta, GA 30312
404-265-157

<  |  >

 

  • Сообщения о Ортопедия и травматология
  • Также Dan Shlatterer
  • Связаться с автором
  • Ответить

    Re: tilt fx
    Jeff Anglen 21 Август 2008, 21:50
    Absolutely, Can’t imagine why it would be treated surgically in a male.

    Jeff Anglen, MD
    Professor and Chairman, Department of Orthopaedics
    Indiana University School of Medicine
    541 Clinical Drive, Suite 600
    Indianapolis, IN 46202
    [ Ответить ]

    Re: tilt fx
    Ivan Petrov 22 Август 2008, 09:34
    It's type A pelvic-ring lesions. Because
    the pelvic ring is stable, it
    cannot be displaced by physiologic
    forces and may be treated non-operativly in male.
    [ Ответить ]

    Re: tilt fx
    Chip Routt 30 Август 2008, 15:47
    One bit of important yet omitted info is the patient's physical exam... if this pelvic ring injury is unstable to exam, then I'd recommend operative reduction and stable fixation to him.

    chip

    M.L. Chip Routt, Jr.,M.D.
    Professor-Orthopedic Surgery
    Harborview Medical Center
    325 Ninth Avenue
    Box 359798
    Seattle, WA 98104-2499
    [ Ответить ]


    ( Ответить )

    Powered by Zope  Squishdot Powered MedLink
    Посетитель: 0187362
      "По форме правильно, а по существу - издевательство" В.И.Ленин
    ©2001-2019Orthoforum Coordinator.
    [ Главная | Отправить сообщение | Поиск | Админ ]