AOTRAUMA.ORG Центр Илизарова  

Ортопедия и травматология Общие вопросы/General questions Help Информационные технологии в медицине
 вверх
 отправить
 поиск
 админ
 главная
 Предыдущее
 Весь тред


Re: подбор имплантата
Sereda Andrey 22 Август 2008, 16:22
, а обычные рентгенснимки есть?
  • Сообщения о Help
  • Также Sereda Andrey
  • Связаться с автором
  • Ответить

    Re: подбор имплантата
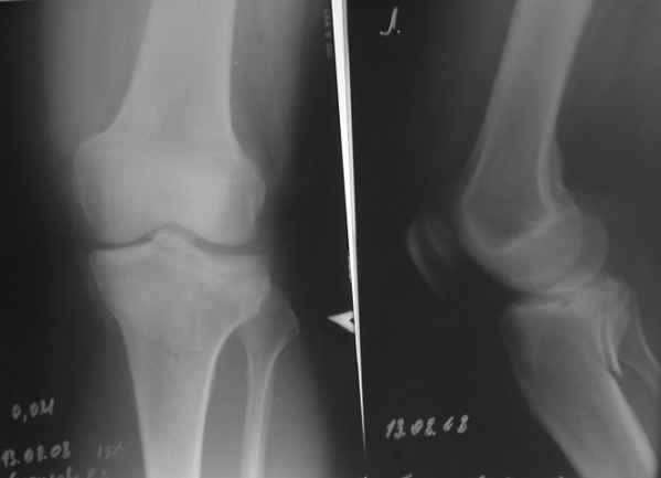
    С. Киселев 22 Август 2008, 16:57
    конечно есть, просто не дошли. Посылаю




    [ Ответить ]

    • Re: подбор имплантата
      Отправитель: Sereda Andrey 22 Август 2008, 22:16
      Действительно, доступ капризный. Из имплантов я бы выбрал Tomofix от синтез.

      [ Ответить ]

     

    ( Ответить )

    Powered by Zope  Squishdot Powered MedLink
    Посетитель: 0197851
      "По форме правильно, а по существу - издевательство" В.И.Ленин
    ©2001-2019Orthoforum Coordinator.
    [ Главная | Отправить сообщение | Поиск | Админ ]