AOTRAUMA.ORG Центр Илизарова  

Ортопедия и травматология Общие вопросы/General questions Help Информационные технологии в медицине
 вверх
 отправить
 поиск
 админ
 главная


перелом пилона. тактика лечения
Ортопедия и травматология Отправлено Андрей Рубленко 28 Август 2008, 20:21
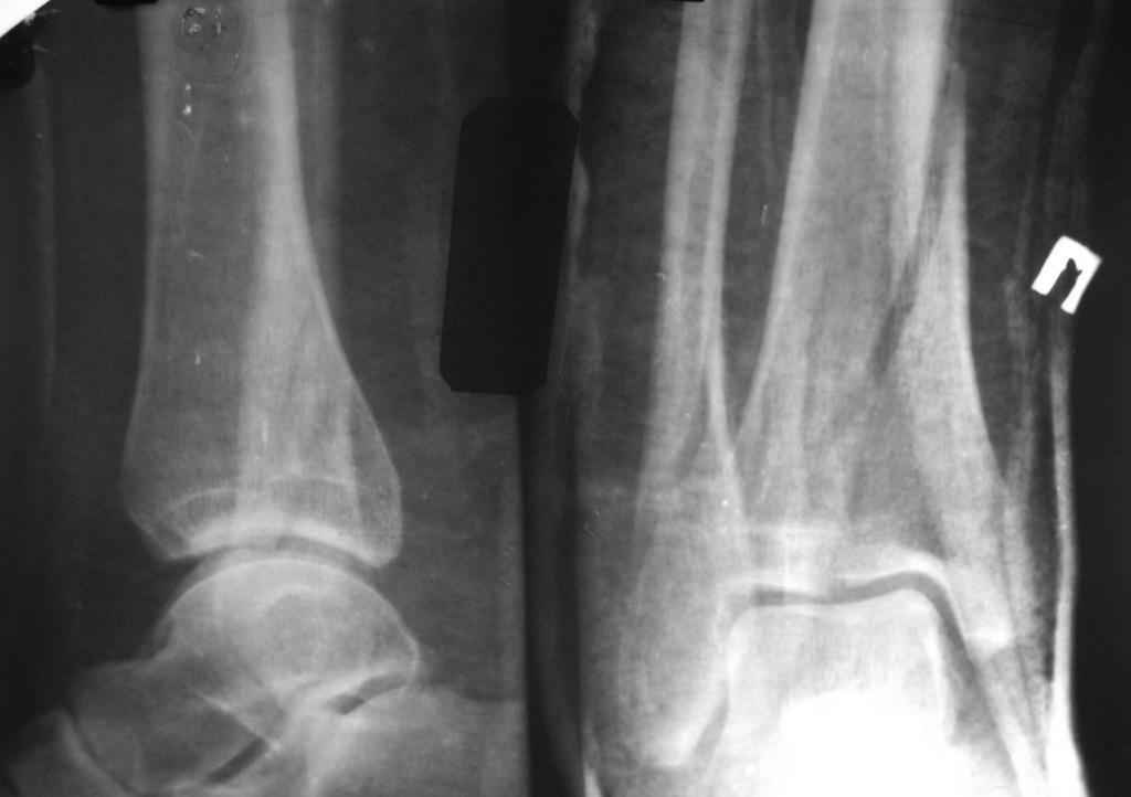
помогите определиться с тактикой лечения даного перелома пилона
Больной, 46 лет. Травма 27.08.08. При поступлении, в травмпункте была проведена блокада места перелома, иммобилизация гипсовой повязкой. Единого мнения по поводу дальнейшего лечения пока нет. Просьба высловиться по поводу возможностей лечения даного перелома, вообще возможности оперативного лечения. Спасибо за ответы.

<  |  >

 

  • Сообщения о Ортопедия и травматология
  • Также Андрей Рубленко
  • Связаться с автором
  • Ответить

    Re: перелом пилона. тактика лечения
    Odessky Jacob M.D. 29 Август 2008, 10:20
    Ув. доктор Рубленко!!!
    Тактика лечения зависит от состояния больного, вида перелома и возможностей мед. учереждения...
    Будьте любезны расширить своё краткое описание, не всегда краткость сестра таланта...
    С уважением!!!
    [ Ответить ]

    Re: перелом пилона. тактика лечения
    Андрей Рубленко 29 Август 2008, 18:18
    прошу прощения за то, что забыл приложить снимки



    [ Ответить ]

    Re: перелом пилона. тактика лечения
    Адонин 30 Август 2008, 17:23
    открытая репозиция и фиксация
    - малоберцовая - 3.5 мм 1\3 трубчатая пластина.
    - большеберцовая - масса вариантов, начиная с множественных шурупов без пластины и заканчивая locking plate для дистальной тибии
    [ Ответить ]

    Re: перелом пилона. тактика лечения
    Евгений Филоненко 03 Сентябрь 2008, 03:19
    Зайдите на ссылку, возможно пригодится.
    http://www.aovideo.ch/published/player.aspx?id=20160rrm0198

    [ Ответить ]

    Re: перелом пилона. тактика лечения
    odessky Jacob M.D. 05 Август 2013, 12:45
    http://weborto.net/forum/1219933263/index_html
    Уважаемые коллеги! В свое время мы уже обсуждали тактику лечения подобной патологии.
    [ Ответить ]


    ( Ответить )

    Powered by Zope  Squishdot Powered MedLink
    Посетитель: 0392195
      "По форме правильно, а по существу - издевательство" В.И.Ленин
    ©2001-2019Orthoforum Coordinator.
    [ Главная | Отправить сообщение | Поиск | Админ ]