AOTRAUMA.ORG Центр Илизарова  

Ортопедия и травматология Общие вопросы/General questions Help Информационные технологии в медицине
 ВХОД ДЛЯ ПАЦИЕНТОВ
 вверх
 поиск
 админ
 главная


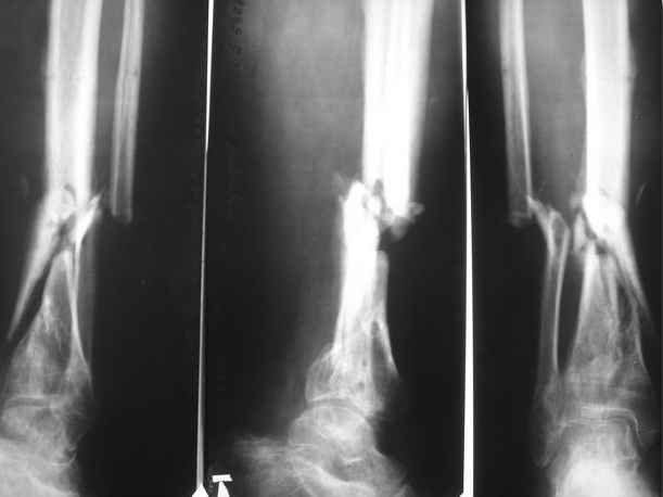
Ложный сустав большеберцовой кости
Ортопедия и травматология Прислано Магданов Денис 31 Август 2008, 18:02
из
Здравствуйте, уважаемые коллеги. Хотелось бы услышать ваше мнение по следующему случаю:
Пациент 35 лет, травма в декабре 2007 г. Открытый оскольчатый перелом костей левой голени в нижней трети со смещением отломков. Травма в результате ДТП. В этот же день выполнена ПХО открытого перелома костей левой голени, скелетное вытяжение. На 3 день ЧКДО с учетом повреждения мягких тканей. Посттравматический период осложнился обширным циркулярным некрозом кожи. Через этапные некроэктомии, и свободную кожную пластику раны зажили вторичным натяжением. По заживлении мягких тканей перемонтаж аппарата. Выписан на амбулаторное лечение. В августе 2008 г. из за выраженного воспаления в местах выхода спиц, аппарат демонтирован. Явления воспаления купированы. Данных за остеомиелит не получено. На данный момент имеем: ложный сустав левой большеберцовой кости в нижней трети. Укорочение левой нижней конечности на 3 см. Комбинированная контрактура левого голеностопного сустава. Клинически – патологическая подвижность в области перелома. Лабораторные показатели в пределах нормы. Местно воспалительных явлений мягких тканей нет.
Планы:
1. Вариант № 1(основной) – в два этапа. 1. Наложить спице-стержневой аппарат, за 5 – 7 – 10 дней устранить смещение отломков (восстановить ось большеберцовой кости). 2 этап закрытый блокированный остеосинтез цельным гвоздем диметра 10 – 11 мм для низких переломов голени (Эксперт, Мастер…). Сначала в статику на 2-3 недели, затем динамизацию.
Вопрос:
1.Достаточна ли длина дистального отломка для жесткой фиксации на гвозде ( как минимум на 3 винтах)?
2. Как будут проходить гибкие риммеры через область ложного сустава при рассверливании костно – мозгового канала?
3. Возможно ли выполнить закрытый блокируемый остеосинтез без предварительного наложения КДА?
4. Где могут быть технические трудности?

Вариант №2 КДА по Илизарову, работать в аппарате, устранить смещение, компрессия, дистракция.
Вариант № 3. КДА по Илизарову , + костная пластика из крыла подвздошной кости кортикально -губчатым трансплантатом, или из малоберцовой кости.
К сообществу за советом! С уважением Д. Магданов.

Послать ответ

Имя
Email
Уведомление Сообщить мне по e-mail об ответах на это сообщение
Название
Комментарий
(Проверьте URL! Не забудьте написать http://!)
Кодировка
Если не знаете, что выбрать, выберите "Просто текст"!
Приложение
Можно приложить к сообщению файл c изображением, который затем будет доступен увидевшим сообщение.
Подготовка иллюстраций:
  • Рентгенограммы: черно-белые полутоновые изображения в формате JPEG (8 bit, greyscale) с разрешением от 300х200 до 1024х768 пикселов;
  • Клинические фотографии: полноцветные изображения в формате JPEG (24 bit, truecolor) с разрешением от 300х200 до 1024х768 пикселов;
  • Схемы и рисунки: черно-белые (2 bit) штриховые (line-art) изображения в формате GIF или compressed TIFF
  • Подберите степень сжатия файла JPEG и размер изображения таким образом, чтобы необходимые детали были различимы, но размер файла не превышал 75 кб.
  • Учтите, что текущая версия программного обеспечения Форума позволяет приложить к одному сообщению лишь один файл-вложение. Поэтому, если необходимо отправить несколько изображений, можно либо послать каждое как отдельное сообщение, либо в графическом редакторе объединить изображения в одно (сделать коллаж).
  • Если при подготовке изображений встречаются трудности, не стесняйтесь обратиться к координатору Форума.

  • Введите видимые символы в обратном порядке. Enter the above characters in reverse order (*Обязательно)
    В тексте сообщения можно использовать теги HTML <B> <I> <P> <A> <LI> <OL> <UL> <EM> <BR> <TT> <HR> <STRONG> <BLOCKQUOTE> <DIV .*> <DIV> <P .*>
  • Обратите внимание: Поля с жирными названиями обязательны.
  • Старайтесь отвечать в рамках обсуждаемой темы, а не начинать новые обсуждения.
  • Указывайте адекватную тему сообщения, чтобы было ясно, о чем оно.
  • Не послайте сообщений не по теме (оффтопик), раздраженных, грубых или обидных комментариев. Здесь это неуместно.
  • Powered by Zope  Squishdot Powered MedLink
    Посетитель: 0394210
      "По форме правильно, а по существу - издевательство" В.И.Ленин
    ©2001-2019Orthoforum Coordinator.
    [ Главная | Отправить сообщение | Поиск | Админ ]