AOTRAUMA.ORG Центр Илизарова  

Ортопедия и травматология Общие вопросы/General questions Help Информационные технологии в медицине
 вверх
 отправить
 поиск
 админ
 главная


Несращение бедра
Ортопедия и травматология Отправлено Виноградский Александр 15 Сентябрь 2008, 20:00 СОКПН госпиталь для ветеранов войн
Уважаемые коллеги! Помогите определиться с дальнейшей тактикой лечения несращения бедра.
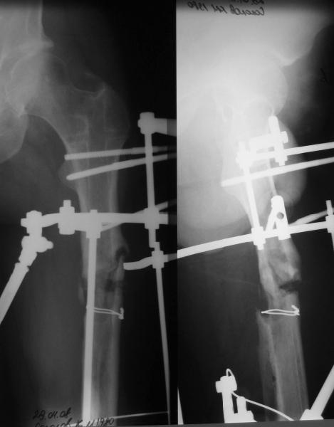
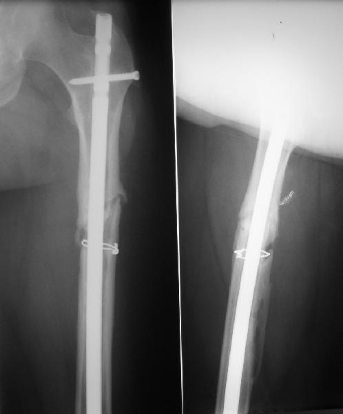
Пациент попал под наше наблюдение через 3 недели после первого остеосинтеза (фото 1). Учитывая, нестабильность остеосинтеза, выстоящий стержень закрыто перештифтовали (фото 2), через 3 месяца динамизация. К 5 месяцам имели укорочение 2 см, при том, что динамический винт стал статическим. От дальнейшей динамизации отказались, учитывая наличие контакта между фрагментами и возможность прогрессирования укорочения. К 1,5 года сращение не достигнуто (фото 3). Удалили гвоздь, выполнили дистракционный остеосинтез с целью стимуляции остеогенеза и компенсации укорочения (фото 4), потом закрыто перештифтовали после рассверливания (фото 5). На сегодняшний день, через 4 месяца после последней операции (фото 6) признаков регенерата нет, длина восстановлена, ходит без дополнительной опоры.
Возможные варианты: 1)подождать - однако регенерата не заметно 2)Снова потерять длину (динамизация, компрессирющий остеосинтез на этом гвозде, после перепроведения проксимальных винтов и копрессирующей заглушки, восстановление длины после сращения) 3)Костная пластика
Спасибо!

<  |  >

 

  • Сообщения о Ортопедия и травматология
  • Также Виноградский Александр
  • Связаться с автором
  • Ответить

    Re: Несращение бедра
    Alexander Chelnokov 27 Сентябрь 2008, 09:30
    Непростая ситуация. В том числе из-за большого числа вариантов. Можно добавить еще и замещение кейджем. Мы бы, наверно, пошли по пути удлинения на другом уровне.
    [ Ответить ]


    ( Ответить )

    Powered by Zope  Squishdot Powered MedLink
    Посетитель: 0000176
      "По форме правильно, а по существу - издевательство" В.И.Ленин
    ©2001-2019Orthoforum Coordinator.
    [ Главная | Отправить сообщение | Поиск | Админ ]