ВХОД ДЛЯ ПАЦИЕНТОВ
вверх
поиск
админ
главная
исходное
|
Re: Фиброзная дисплазия подвздошной кости
послал Djoldas Kuldjanov 22 Сентябрь 2008, 11:22
|
В прошлом были подобные комментарии, но учитывая, что многие коллеги участники не имели возможности ознакомиться с нашей концепцией лечения дисплазии у молодых решил повториться по поводу данного случая....
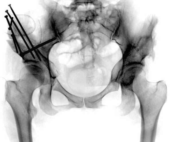
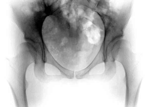
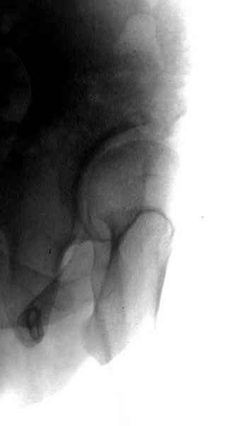
Картина типичной эволюции дисплазии сустава "кистовидная перестройка", на фоне неправильного взаймоотношения сустава "да тут угол Виберга 0 градусов" на вершине наибольшей нагрузки в вертлужной впадине образовался участок разрежения, "киста", в последующем через этот участок образуется перелом - стадия фрагментация дисплазии.
"Слишком мало информации. Каков характер болевого синдрома? Нагрузочный? Насколько выражено ограничение движений в суставе? Действительно ли болевой синдром связан с суставом? Были ли попытки консервативного лечения (в частности внутрисуставного введения протезов синовиальной жидкости? Если консервативного лечения не было, то начать надо с него. Есть ли возможность выполнить МРТ таза для уточнения характера костной перестройки, состояния хряща тазобедренного сустава?
Для установки диагноза достаточно информации, на рентгенограмме передний и задний край ацетабулум образовали перекрест, "цифру восемь", указывающий на небольшую ретроверсию, а суставная щель одинаковой ширины на всем протяжении, что доказывает, что с покрытием хряща проблем нет. Головка бедра покрыта всего наполовину, это явное нарушения взаимоотношений.
Неоднократные обсуждения на форуме "пропущенных переломов" показывает, что короткие урезанные снимки приводят к ошибке, тем более у данного больного для решения тактики лечения необходимо детальное исследование суставов.
Желательно все разбираемые случаи представить со всеми снимками, так легче принимается решение.
А для данного случая, необходим прямой снимок таза с отдельными суставами, также включить боковые снимки сустава, немаловажно знание покрытия головки спереди.
С клиникой ясно, боли в суставе связаны с нагрузкой, разгрузка сустава обычно помогает но ненадолго.
Консервативное лечение - потеря времени и финансов, обычно у молодых активных больных через год теряется сустав.
МРТ поможет, но не главное в диагностике дисплазии.
К сожалению, часто лечение диспластического коксартроза сводится лишь к остеотомиям (бедра или таза) и эндопротезированию."
В развитых ортопедических центрах после дисплазии в молодом возрасте для сохранения сустава периацетабулярная остеотомия стала стандартом лечения.
"Однако до 39 лет у пациента не было болей в суставе, и он возможно не знал о наличии у него дисплазии"
Правильно, многие в молодом возрасте не подозревают о наличии диспластических явлений, болезнь начинается с боли в суставе, особенно у женщин в третьей декаде жизни после замужества и беременности, когда набранный вес давит на сустав, а у мужчин набранный вес за короткое время приводит к ухудшению взаимотношений в суставе.
"Второй сустав у него не болит, хотя в течение последнего года он нагружает его "за двоих"
Долго работать “за двоих” не будет, скоро начнутся проблемы со вторым суставом, и поэтому рекомендуется срочная операция, который спасет второй сустав.
"Рентгенологические изменения в суставе не критические."
Отсутствие нормальных ренгенологических взаимотношении в суставе считается критическим, и отсюда генез всех перечисленных симптомов.
"блокада запирательного нерва, внутрисуставное введение гормонов, артроскопическое вмешательство могут отсрочить выполнение эндопротезирования на 3-5 лет."
Из-за отсутствия научных исследований всех перечисленных методов в лечении диспластического состояния трудно комментировать о полезности такой терапии.
Как я отметил, даже "для больного 40 лет (с оптимистическим расчетом на ревизионное эндопротезирование через 15 лет) это важно" мы бы рекомендовали коррегирующию периацетабулярную остеотомию с ревизией сустава и остеопластикой импинжмента шейки.

"Авторитеный ортопед, доктор Лонштейн, нероднократно призывал лечить не рентгенограмму, а больного."
Трудно спорить с авторитетом, но это как раз тот случай, когда ранние рентгенологические проявления дают возможность предугадать образование артроза в тазобедренном суставе в будущем.
Цель периацетабулярной операции - восстановление нормальных взаимоотношении в суставе, поэтому рекомендуемые остеотомии в молодом возрасте предназначены для профилактики дальнейшего разрушения сустава.
Кстати, после остеотомии и удаления нагрузки от проекции кист в нашей серии были самостоятельное выздоровление кисты и зарастание фрагментированного участка стенки кисты даже после минимальной фиксации.
Конечно, для оперативного решения необходимы другие технологические условия и другой менталитет больных, трудно уговорить на оперативное лечение по профилактике и сохранению сустава, когда по мнению наших коллег здесь "нормальная рентгенограмма".
Еще трудно там, где преобладает тенденция "лучше подождать", где больные и врачи настроены крайне агрессивно к новшествам, лучше "некритичный сустав" лечить назначением паллиативных "суставных эссенций", заранее зная что такое лечение преждевременно губит сустав и увеличивает статистику по эндопротезированию.
Поэтому, учитывая недоступность такой технологии на месте, подождать до ухудшения сустава и потом возможно двухсторонним эндопротезированием облегчить его страдания.
Djoldas Kuldjanov, MD
Clinical Professor
Department of Orthopedic Surgery
St. Louis University Medical Center
|
| Послать ответ |
Обратите внимание: Поля с жирными названиями обязательны.
Старайтесь отвечать в рамках обсуждаемой темы, а не начинать новые обсуждения.
Указывайте адекватную тему сообщения, чтобы было ясно, о чем оно.
Не послайте сообщений не по теме (оффтопик), раздраженных, грубых или обидных комментариев. Здесь это неуместно.
|