AOTRAUMA.ORG Центр Илизарова  

Ортопедия и травматология Общие вопросы/General questions Help Информационные технологии в медицине
 вверх
 отправить
 поиск
 админ
 главная


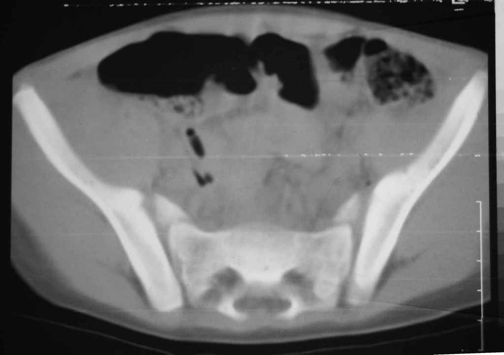
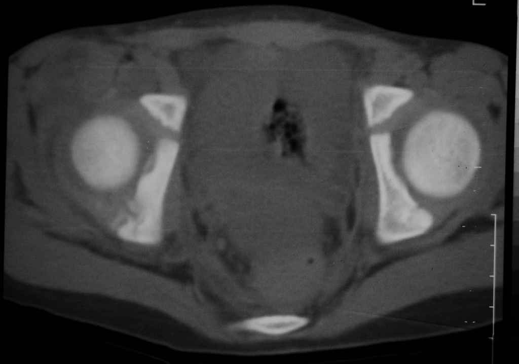
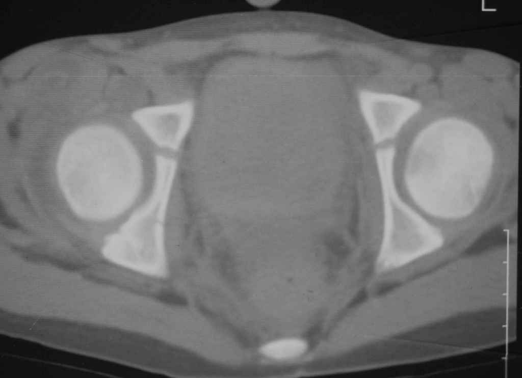
Перелом вертлужной впадины
Ортопедия и травматология Отправлено Алексей Крылосов 22 Сентябрь 2008, 13:36 ДГКБ N9 Екатеринбург
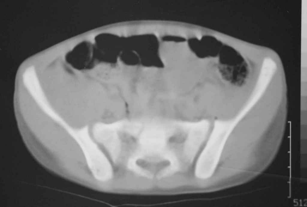
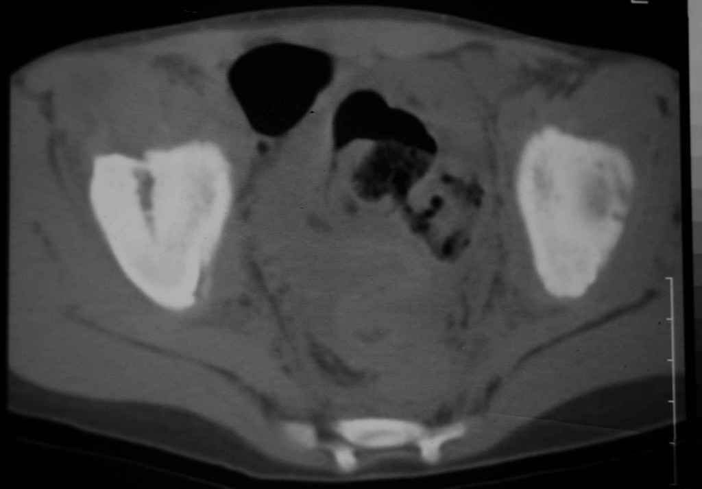
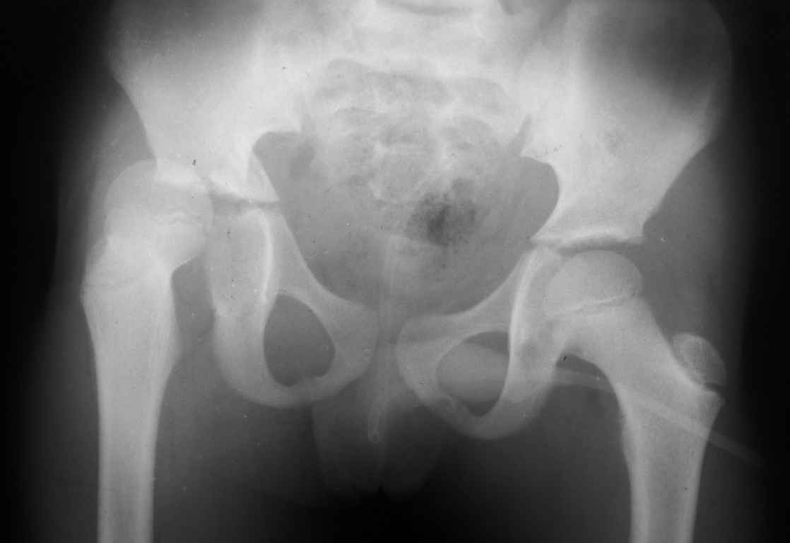
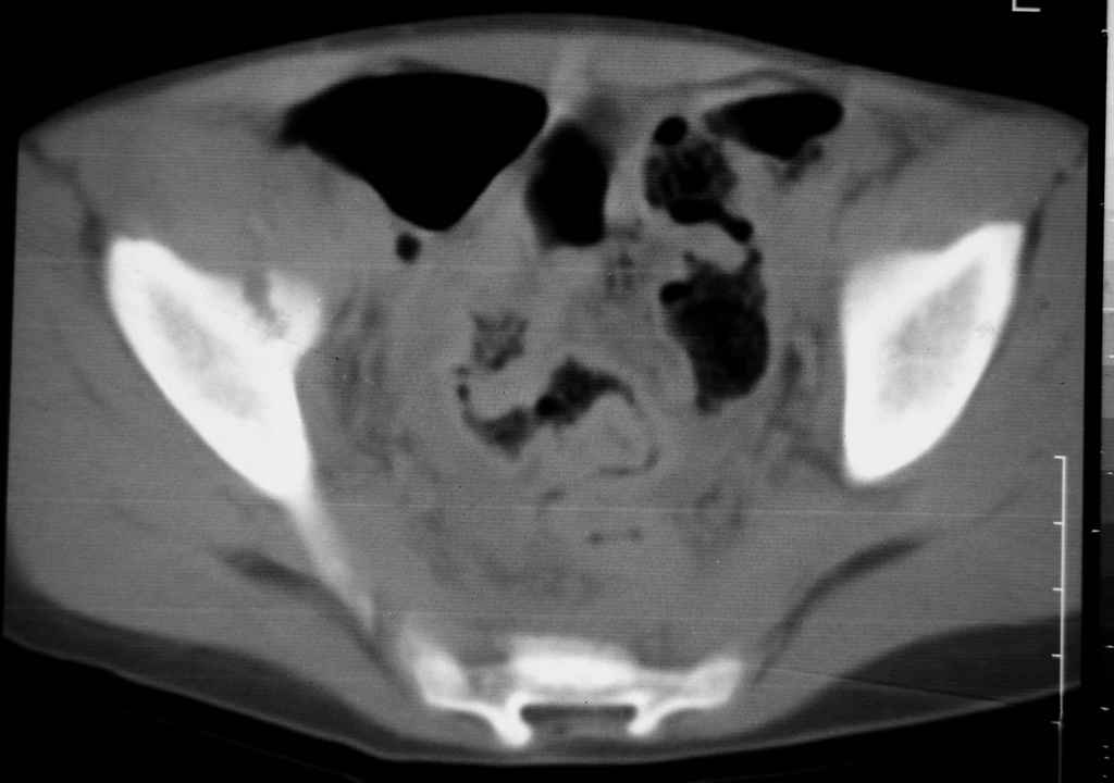
Уважаемые коллеги, помогите определиться с тактикой лечения.Ребёнок 7 лет, травма 11.09.08, поступил с травматическим вывихом бедренной кости.
Вывих вправлен, конечность фиксирована на скелетном вытяжении. Что делать с переломом подвздошной кости? Лечить консерватино или оперировать?

<  |  >

 

  • Сообщения о Ортопедия и травматология
  • Также Алексей Крылосов
  • Связаться с автором
  • Ответить

    Re: Перелом вертлужной впадины
    Антон Шахин 22 Сентябрь 2008, 21:19
    Уважаемый Алексей! Операция не требуется. Продолжить ск вытяжение.
    [ Ответить ]

    Re: Перелом вертлужной впадины
    Lev Lapidus 22 Сентябрь 2008, 23:41
    Увожаемый Алексей.
    Можете спокойно продолжать консервативное лечение.
    [ Ответить ]


    ( Ответить )

    Powered by Zope  Squishdot Powered MedLink
    Посетитель: 0182933
      "По форме правильно, а по существу - издевательство" В.И.Ленин
    ©2001-2019Orthoforum Coordinator.
    [ Главная | Отправить сообщение | Поиск | Админ ]