Ответить
|
Re: Тяжелый перелом пилона
Alexander Chelnokov 01 Октябрь 2008, 11:07
|
Первым этапом наложить бы дистрактор "голень-стопа". После улучшения состояния мягких тканей - открытая репозиция в первую очередь суставной поверхности, с фиксацией либо аппаратом, либо пластиной. Это если коротко и в общем. Если интересуют какие-то частности - давайте их обозначим и обсудим.
|
[
Ответить ]
|
Re: Тяжелый перелом пилона
Ivan Petrov 02 Октябрь 2008, 00:24
|
Относительно стратегии полностью согласен с Александром. Кроме того, после репозиции, скорее всего получится метафизарный дефект костной ткани, который потребует возмещения аутокостью или заменителями.
|
[
Ответить ]
|
Re: Тяжелый перелом пилона
Андрей Рагозин 02 Октябрь 2008, 11:21
|
Александр Николаевич как всегда прав. Первым этапом наложить дистрактор "голень-стопа"или аппарат, если позволят мягкие ткани, устранить смещения в малоберцовой кости и провести ее внутреннюю фиксацию. После спадения отека и улучшения состояния мягких тканей произвести открытую репозицию суставной поверхности, костную пластику дефектов "опорным трансплантатом". Стабилизацию отломков пластиной. Если есть уверенность в стабильности фиксации аппарат снять, если есть сомнения на некоторое время его оставить. Если ткани не позволяют уложить пластину оставить аппаратную фиксацию до 4 мес.
|
[
Ответить ]
|
Re: Тяжелый перелом пилона
Отправитель: Alexander Chelnokov 02 Октябрь 2008, 18:41
|
Видимо, не зря этот, который "как всегда прав", не написал про внутреннюю фиксацию малоберцовой кости первым делом. При переломах пилона ее фиксировать если и надо, то только для воссоздания вилки сустава, и можно с этим как минимум не торопиться. В приложении статья на эту тему.
Файл PDF, 210 Kb.
И еще в приложении - стендовый доклад наших американских коллег, и проф. Seligson про это говорил в своей лекции на обществе Кюнчера
прошлой осенью.

|
[
Ответить ]
|
Re: Тяжелый перелом пилона
Отправитель: Андрей Рагозин 02 Октябрь 2008, 19:29
|
Дорогой Александр Николаевич!
Громадное спасибо за статью. прочитал и мне очень понравилось.
Обязательно освежите ее в памяти. Я опять же с Вами соглашусь что в случаях переломов дистальных отделов костей голени типа А (внесуставных) вопросы необходимости фиксации малоберцовой кости можно обсуждать. Но эта статья также подтверждает,
что для внутрисуставных переломов в настоящее время сохраняют актуальность классические принципы АО, изложенные Ruedi и Allgower в 1969 г.
Первый из этих принципов восстановление длины малоберцовой кости.
Одновременная внутренняя фиксация обеих костей рискована при любом состоянии мягких тканей, поэтому если мы до конца лечения не собираемся лечить больного в АВФ, маленькая операция остеосинтеза малоберцовой кости позволит уменьшить травматичность 2-го этапа хирургического лечения и облегчит анатомическую реконструкцию суставной поверхности. Все осложнения в статье показаны с применением далеко не современных пластин. При наличии современных фиксаторов операции стали значительно менее травматичны и таких разрезов давно уже никто не делает.
С уважением,
А. Ragozin
|
[
Ответить ]
|
Re: Тяжелый перелом пилона
Отправитель: Андрей Рагозин 02 Октябрь 2008, 22:31
|
> И ще в приложении - стендовый доклад наших американских коллег, и
> проф. Seligson про это говорил в своей лекции на обществе Кюнчера
> прошлой осенью.
В России с давних пор любовь к иностранщине, даже богов и тех чтим импортных.
Использование двух доступов сразу очень опасно трудности с заживлением ран до 70%, открытая репозиция, пластика и фиксация большеберцовой кости пластиной на отеке так же опасны из-за высокого количества осложнений.
Использовании мини доступа для метафизарной пластины с блокированием даже на отеке достаточно безопасно т.к. устранение грубых смещений производится дистрактором, а преимущества:
- восстановление оси и длины голени (легче ориентироваться), облегчается в последующем
восстановление правильного положения передне-латерального фрагмента эпиметафиза большеберцовой кости, т.к. он связан с малоберцовой костью при помощи межберцовой связки. В то же время увеличивается стабильность.
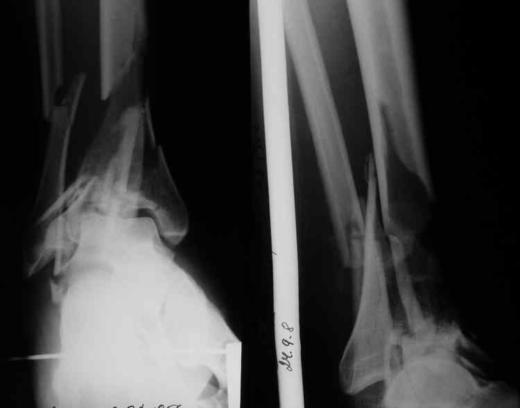
А использование стержня для лечения переломов пилона, на маленькой картинке мне очень понравилось.
С уважением,
А. Ragozin
|
[
Ответить ]
|
Re: Тяжелый перелом пилона
Отправитель: Alexander Chelnokov 02 Октябрь 2008, 23:08
|
RA> В России с давних пор любовь к иностранщине, даже богов и тех чтим импортных.
Вряд ли нужно спорить с тем, что опыт применения множества современных технологий в "иностранщине" куда больше, качество анализа результатов и публикаций повыше, чем в стране родных
осин.
RA> восстановление правильного положения передне-латерального фрагмента
RA> эпиметафиза большеберцовой кости, т.к. он связан с малоберцовой
RA> костью при помощи межберцовой связки. В то же время увеличивается
RA> стабильность.
Догма о раннем синтезе fibula при переломах пилона общеизвестна, как и это ее обоснование. И она, видимо, вполне была оправдана в 1969 г., в
додистракторную эру. И именно зная все эти соображения, коллеги как раз и представили наглядные клинические примеры в пользу ее
пересмотра.
Показано, что проблема восстановления анатомии при переломах пилона успешно решается вообще без остеосинтеза малоберцовой кости. И практика, как критерий истины, это вполне наглядно подтверждает. В том числе наша. Кстати говоря, есть ведь немалое число тяжелых переломов пилона, когда малоберцовая вообще цела остается, и от этого проблем не сильно меньше.
RA> А использование стержня для лечения переломов пилона, на
RA> маленькой картинке мне очень понравилось.
Так и до "любви к иностранщине" недалеко! ;-)
|
[
Ответить ]
|
|
Re: Тяжелый перелом пилона
Michael Berenshtein 03 Октябрь 2008, 01:49
|
Уважаемые коллеги!
Спор о первичной фиксации м.берцовой кости при переломе пилона очень старый.
Есть аргументы и за и против. Лично я за.
1. фиксация м.б кости дает дополнительную устойчивость при временном аппарате наружной фиксации и позволяет использовать простые одноплоскостные стержневые аппараты
2. в тех случаях когда сохранен дистальный синдесмоз фиксация м.б кости способствует репозиции
3. фиксация м.б кости пластинкой с анатомической репозицией дает хороший референс для правильного восстановления длины б.б кости и правильному восстановлению вилки сустава
4. чаще всего при истинном переломе пилона мягкие ткани на м.б. костью не повреждены что позволяет выполнить фиксацию.
В цитируемой вами Александр статье говорится о вне суставных переломах с неповрежденным синдесмозом, т.е. без повреждения вилки. А это две большие разницы.
Так что я за фиксацию м.б кости первично при внутрисуставных истинных переломах пилона параллельно с временным аппаратом или дистрактором
С уважением
Михаил Беренштейн
|
[
Ответить ]
|
Re: Тяжелый перелом пилона
Отправитель: Alexander Chelnokov 03 Октябрь 2008, 02:18
|
Приветсвую, дорогой Michael,
MB> Спор о первичной фиксации м.берцовой кости при переломе пилона очень старый.
MB> Есть аргументы и за и против. Лично я за.
MB> 1. фиксация м.б кости дает дополнительную устойчивость при временном
MB> аппарате наружной фиксации и позволяет использовать простые одноплоскостные
Аргументы все известные, но не очень состоятельные. Даже в далеких от xUSSR местностях ратуют при этой локализации именно за циркулярные
аппараты, которые "подвешивают" сегмент. А "простые одноплоскостные" от пролежня на пятке не гарантируют.
MB> 2. в тех случаях когда сохранен дистальный синдесмоз фиксация м.б кости
MB> способствует репозиции
А при целом синдесмозе и малоберцовой что способствует? Кроме того, бывают ситуации, когда до дистракции малоберцовая в правильных взаимоотношениях с тараном. Очень удобно ее 1-2 спицами к тарану пришпилить, а потом дать дистракицю за стопу. Длина и ось малоберцовой чудно восстанавливаются без обнажения перелома и пластинки.
MB> 3. фиксация м.б кости пластинкой с анатомической репозицией дает хороший
MB> референс для правильного восстановления длины б.б кости и правильному
При использовании дистрактора это избыточно. Правильная длина - ценность относительная, иной раз надо сделать acute shortening, и встреча с малоберцовой, уже каким-то торопыгой фиксированной
пластиной не радует.
MB> 4. чаще всего при истинном переломе пилона мягкие ткани на м.б. костью не
MB> повреждены что позволяет выполнить фиксацию.
А применение дистрактора позволяет не выполнять. Не все, что сделать можно, делать нужно. Грамотное использование дистрактора во многих
случаях позволяет решить все проблемы, вообще не фиксируя fibula, ни заранее, ни потом.
MB> статье говорится о вне суставных переломах с неповрежденным
MB> синдесмозом, т.е. без повреждения вилки. А это две большие разницы.
Хе. Немалое число наших коллег при встрече с пациентами, описанными в этой статье, не задумываясь, начали бы с фиксации fibula.
MB> Так что я за фиксацию м.б кости первично при внутрисуставных истинных
MB> переломах пилона параллельно с временным аппаратом или дистрактором
Полагаю, напоминание о том, что много когда удается решить проблему с пилоном вообще без остеосинтеза малоберцовой, все-таки полезно. А то
есть коллеги, которые любой перелом малоберцовой считают обязательным синтезировать. Потому что уже давно есть такая догма.
Не вызывает споров, что если вилка голеностопного сустава без остеосинтеза малоберцовой не восстанавливается, надо будет делать ее синтез.
|
[
Ответить ]
|
|
Re: Тяжелый перелом пилона
Евгений Чекашкин 03 Октябрь 2008, 18:00
|
Саша, приветствую,
Спасибо за статью - прочитал с удовольствием.
При переломах тиб. пилона всегда фиксирую малоберцовую - проще реконструировать суставную поверхность тибии, *прислонившись* к уже
стабилизированной малоберцовой, нежели в *свободном полёте* - Михаил Берtнштейн все тезисы *за* детально изложил и ничего не могу к этому
добавить.
Если кто-то комфортнее себя чувствует не фиксируя м.б. - флаг в руки, главное- результат реконструкции суставной поверхности.
По поводу доп. травмирования тканей при фиксации пластиной м.б. кости - мышцы уже отслоены от кости энергией перелома, да и техника фиксации, как заметил Андрей Рагозин, изменилась. Приходилось встречаться с коллегами, которые фиксировали м.б. ретроградно Rush nail через кожный прокол в апикальной части наружной лодыжки.
Всего доброго,
Евгений Чекашкин
|
[
Ответить ]
|
Re: Тяжелый перелом пилона
Отправитель: Alexander Chelnokov 03 Октябрь 2008, 20:27
|
E> При переломах тиб. пилона всегда фиксирую малоберцовую - проще
Нет никаких сомнений, что это массово так и делается с 1969 г., и по каким соображениям - тоже известно. Тем интереснее обнаружить, что такая общая практика, автоматизм практически, вполне может быть пересмотрена, и проблем от этого скорее убавляется.
В любом случае, сейчас мы уже знакомы с вариантом не фиксировать спешно любой перелом малоберцовой кости, каждый имеет возможность при встрече со следующим пациентам из любопытства попробовать этот подход, преодолев давнюю привычку.
E> Приходилось встречаться с коллегами, которые фиксировали м.б.
E> ретроградно Rush nail через кожный прокол в апикальной части
Внутрикостный остеосинтез fibula делается много где и много чем. И напряженная спица им. проф. Лазарева прекрасно работает, и эластичный титановый гвоздик, и блокированный, и всякие другие. Мы в последнее время стали фиксировать малоберцовую одним винтом к большеберцовой.
То есть речь-то не о том, чем ее фиксировать. А о том, что во многих случаях, когда мы, не задумываясь, синтезируем fibula, да еще и за несколько дней до окончательной операции, можно ее не трогать вообще.
|
[
Ответить ]
|
Re: Тяжелый перелом пилона
Отправитель: Евгений Чекашкин 04 Октябрь 2008, 01:27
|
Саша, Здравствуй,
Спасибо за письмо. В травме и ортопедии разработано масса подходов и техник, и на начальном этапе своей карьеры было очень интересно и занимательно попробовать как можно больше, насколько позволяли условия и возможности - нормальный этап:-)) Со временем, думаю не только у меня, формируется практически обоснованный подход к лечению определённого вида травмы, как в обсуждаемом случае. Я бы не назвал это автоматизмом или привычкой- это осознанный подход, который себя оправдал в моей практике. Если кто-то предпочитает не фиксировать м.б. при переломах пилона и при этом остается довольным своим результатом - я буду только рад этому, всё, что мы делаем, направлено на восстановление функции сустава. Если бы фиксация м.б. в
сочетании с унилатеральным внешним фиксатором при переломе тиб.пилона (не дистального перелома б.б.!!!) приводила к осложнениям, я бы, конечно,
пересмотрел подход. В представленнной статье *сияющая* пластина уложена по наружной поверхности - я этого давно не делаю - задняя поверхность лучше защищена тканями и соответственно безопаснее. Очевидно, что мотивацией к чему-то новому является неудовлетворительный результат применямой
технологии. В рассматриваемом случае принципиальный подход сохранен, а технологичность хирургии отлична от 69 года: разные фиксаторы, разные доступы, использование дистрактора, флюороскопический контроль, манипулирование фрагментами с помощью спиц- джойстиков.... - нельзя сказать, что всё застыло в развитии:-))
Как бы мы не стремились к прогрессу и импровизации - колесо останется круглым, только раньше оно было на телеге, а сейчас на каком-нибудь порше или же подобном:-))
PS На счёт *иностранщины* или *своего* - это лишнее, какая разница кто и где предложил, работало бы...
Всего Доброго,
Евгений
|
[
Ответить ]
|
Re: Тяжелый перелом пилона
Отправитель: Alexander Chelnokov 04 Октябрь 2008, 13:30
|
Разговор переходит на более общую тему.
E> Спасибо за письмо. В травме и ортопедии разработано масса подходов и техник
Это же не статика, мол, было когда-то разработано, и выбор дальше не меняется.
E> практически обоснованный подход к лечению определённого вида травмы, как в
E> обсуждаемом случае. Я бы не назвал это автоматизмом или привычкой- это
E> осознанный подход, который себя оправдал в моей практике.
Женя, именно ущербностью этого (practice-based) подхода и обусловлены те глобальные изменения в виде evidence-based medicine, которые в последние годы все сильнее влияют на нашу практику.
Кроме того, работа врача предполагает постоянный пересмотр стереотипов. Если удовлетворяться раз сформировавшимся "осознанным подходом, который себя оправдал", то становится незачем ездить на
конференции, читать книги и журналы, слушать критику со стороны коллег и пытаться что-то изменить, знакомясь с опытом других.
E> сочетании с унилатеральным внешним фиксатором при переломе тиб.пилона ( не
E> дистального перелома б.б.!!!)приводила к осложнениям, я бы , конечно,
E> пересмотрел подход.
Мы можем много лет рутинно делать ненужные действия, которые не так уж часто приводят к осложнениям, чтобы это просто-таки форсировало пересмотреть подход. Сколько лет массово ставили банки?
E> В представленнной статье *сияющая* пластина уложена по
E> наружной поверхности - я этого давно не делаю - задняя поверхность лучше
На сегодня этот выбор не общепринятый, есть немало сторонников и наружного положения пластины. Тут-то речь о том, что можно достичь
желаемого результата, вообще пластиной не фиксируя малоберцовую.
E> Очевидно, что мотивацией к чему-то новому является
E> неудовлетворительный результат применямой технологии.
Это уж очень грубо-прямолинейная мотивация.
Настолько черно-белые результаты сейчас редкость, и мотивация к изменениям есть даже при одинаковом результате - любая экономия сил, средств и времени.
E> технологичность хирургии отлична от 69 года: разные фиксаторы, разные
E> доступы, использование дистрактора, флюороскопический контроль,
E> манипулирование фрагментами с помощью спиц- джой-стиков.... - нельзя
E> сказать, что всё застыло в развитии:-))
Конечно. И, оказывается, длина и форма малоберцовой кости контролируются без ее открытой репозиции с фиксацией пластиной.
|
[
Ответить ]
|
|
Re: Тяжелый перелом пилона
Артем Ровенский 04 Октябрь 2008, 00:06
|
Изучая отдальонные результаты лечения данных переломов сообщаю (более 300 случаев)
1. 25-27% п/операционного остеомиелита после остеосинтеза пластинами ( в том числе и LCP)
2. по литературе на ихнем западе при переломах типа С - 85% ортопедов за внеочаговый остеосинтез
3. у нас 80% закончилось артродезом г/сустава с хорошим функциональным результатом ( зачем думать о каком-то хитром синтезе м/б кости?)
так что однозначно за аппарат Илизарова ( дистракция + открытая репозиция на 12-14 день) .
|
[
Ответить ]
|
Re: Тяжелый перелом пилона
Odessky Jacob M.D. 04 Октябрь 2008, 02:24
|
Уважаемые коллеги, за последние несколько лет нами неоднократно обсуждались переломы Пилона!!!
На сколько я помню, в прошлом мною были выложены презентации по этому тяжёлому перелому.
Я позволю себе проделать это ещё раз, т.к. являюсь противником открытой репозиции малоберцовой кости.
Всё остальное вы найдёте в приложенных файлах.
Poster, PDF, 876 Kb
 Poster, PDF, 415 Kb
С Уважением!
|
[
Ответить ]
|
( Ответить )
|
|