ВХОД ДЛЯ ПАЦИЕНТОВ
вверх
поиск
админ
главная
|
Псевдоартроз бедренной кости! |
 |
 |
 |
Прислано Роман Д. 08 Октябрь 2008, 19:04
из
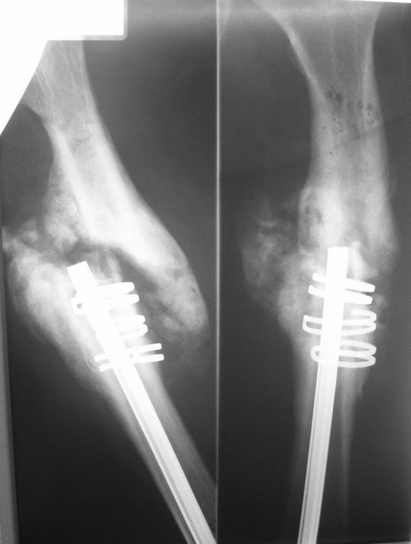
Псевдоартроз бедренной кости+остеомиелит,что делать?
В декабре 2006г политравма в результате ДТП,соп.дз: Закрытый винтообразный оскольчатый перелом с/з правого бедра. Выполнена открытая репозиция, остеосинтез гвоздем Кюнчера + кольца NiTi. Через 15мес штифт сломался, был наложен АВФ, осложнением которого явился остеомиелит бедренной кости.
Уважаемые коллеги, помогите пожалуйста разобраться в дальнейшей тактике лечения, прогнозе.
заранее спасибо!
Обратите внимание: Поля с жирными названиями обязательны.
Старайтесь отвечать в рамках обсуждаемой темы, а не начинать новые обсуждения.
Указывайте адекватную тему сообщения, чтобы было ясно, о чем оно.
Не послайте сообщений не по теме (оффтопик), раздраженных, грубых или обидных комментариев. Здесь это неуместно.
|