ВХОД ДЛЯ ПАЦИЕНТОВ
вверх
поиск
админ
главная
исходное
|
Re: Огнестрельное ранение бедра
послал Бережной Сергей 21 Октябрь 2008, 22:19
|
Уважаемый Иван.
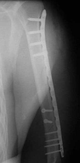
Несмотря на высокоэнергетический характер ранения, пуля не попала непосредственно в кость, а прошла рядом. Таким образом, для бедренной кости это ранение нельзя назватьв полном смысле этого слова высокоэнергетическим. К сожалению, не видно выходное отверстие. В любом случае, при таком переломе интрамедуллярный остеосинтез вполне показан. Кроме того, если пациент попал к Вам в первые часы после ранения, рана не должна рассматриваться как инфицированная. В качестве примера возможности даже более травматичной операции при таком характере перелома привожу следующий случай.

Пациент оперирован на 5-е сутки (переведен из другого лечебного учреждения)после сквозного пулевого ранения плеча и грудной клетки (непроникающее ранение той же пулей). Выполнен минимально инвазивный остеосинтез блокируемой метадиафизарной пластиной, повторная хирургическая обработка ран плеча. Заживление всех ран первичное, сращение наступило в обычные сроки.
|
| Послать ответ |
Обратите внимание: Поля с жирными названиями обязательны.
Старайтесь отвечать в рамках обсуждаемой темы, а не начинать новые обсуждения.
Указывайте адекватную тему сообщения, чтобы было ясно, о чем оно.
Не послайте сообщений не по теме (оффтопик), раздраженных, грубых или обидных комментариев. Здесь это неуместно.
|