вверх
отправить
поиск
админ
главная
Предыдущее
|
Re: Огнестрельное ранение бедра
Djoldas Kuldjanov 23 Октябрь 2008, 21:00
|
Уважаемые коллеги,
Спасибо Алексею и Александру за упоминание доклада на недавней Московской конференции. С рассылкой доклада на сайт нет возражений, буду рад, если интересующиеся найдут полезным что-то в его содержании, а также с удовольствием приму критические замечания.
В наших условиях редко дискутируется вопрос фиксировать или нет огнестрельные повреждения костей. Имеется множество доказательных статьей в пользу ранней фиксации огнестрельных повреждений. Имея огромный опыт ранении в мирное время, западная медицина достаточно уделяет внимание этому аспекту травматологии.
При фиксации пластиной вопросов нет, пластина укладывается на кость через открытый промежуток раны и в дальнейшем продолжаются восстановительные работы по мягкотканыим проблемам.
Вопрос возникает, когда методом фиксации выбран интрамедуллярный имплант. Что лучше, рассверливание канала или без?
Даже из ответов участников видно, что в этом вопросе консенсуса нет, одни предпочитает рассверливание, а другие считают что от рассверливания канала больше вреда, и что разрушается внутриканальное кровообращения.
Трудно спорить особенно с теми, кто догматически верит, что канальное кровообращение "запретная зона!", хотя имеются исследование, что канальное кровообращение восстанавливается в течение двух с половиной недели.
При банальных переломах без колебания мы выбираем методику с рассверливанием, потому что плотно сидящий в канале гвоздь дает мало осложнении.
Фиксацию без рассверливания канала применяем в тех исключительных случаях, где надо быстро, без дополнительного вреда (damage control) зафиксировать перелом больным с политравмой и тем, у кого имеется ушибы легкого.
Множественные работы коллег доказывают, что фиксация без рассверливания дает большинство случаев несращений. Малый диаметр гвоздя не дает необходимой стабильности и может дать осложнения. Замена гвоздя на больший по диаметру решит проблему потенциальных ложных суставов, но такие случаи должны планироваться заранее, потому что заблаговременное предупреждение о возможной ре-операции позволит избежать последующих претензий со стороны больных.
Здесь доказательные статьи насчет рассверливания:
1. Treating gunshot femoral shaft fractures with immediate reamed intramedullary nailing. A S Levy, M J Wetzler, G Guttman, D J Covall, B Fink, G P Whitelaw, S Kozin
2. Retrograde IMN can be used for gunshot wounds
By Mary Ann Porucznik Detroit: J Trauma. 1993 Jun;34(6):783-5.
3. Femur fractures caused by gunshots: treatment by immediate reamed intramedullary nailing.
Bergman M, Tornetta P, Kerina M, Sandhu H, Simon G, Deysine G, Alcindor F.Department of Orthopedic Surgery, Kings County Hospital Center, Brooklyn.
Рассверливание канала при травме легкого чревато осложнением, потому что посттравматически в легких теряются компенсаторные возможности справляться с потоком жировых частиц образующих во время рассверливания канала.
Из-за повышенного давления в канале частицы жира устремляются в легочную артерию (у нас имеется видео ролик из мониторинга легочной артерии ультразвуковым доплером, при виде падаюшего снегопада в легочной артерии во время рассверливания становится жутко!)
В таких случаях лучше повременить с внутренней фисацией и воспользоваться более щадящим методом - наружным фиксатором.
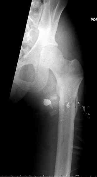
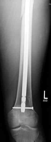
В нашем случае 21 летний боец уличного фронта, фиксацию провели на следующий день, зафиксирован интрамедуллярным штифтом. Не стали делать первичную хирургическую обработку точечной раны, зафиксирован как есть. Клинические снимки:


Конечно, наш случай не эталон, возможно, на месте вам виднее, может быть, нет необходимости ориентироваться на зарубежные ссылки, если получается лечить аппаратом Илизарова на месте, почему нет? Необходимо посмотреть собственный арсенал, чем фиксировать, и какая теория, иначе любой отличный метод можно превратить в источник остеомиелита.
Сам скептически отношусь к тому, когда говорят что одного взгляда достаточно, чтобы сделать такой случай у себя. Без спешки примите решение, возможно, еще не время, и, наверное, будет разумным поехать к тому у кого большой опыт.
Успеха вам!
Djoldas Kuldjanov, MD
Department of Orthopedic Surgery
St. Louis University Medical Center
|
|
|
Ответить
|
Re: Огнестрельное ранение бедра
Сергей 25 Октябрь 2008, 22:16
|
Здравствуйте, если не трудно скиньте видео ролик из мониторинга легочной артерии. было бы интересно посмотреть.
Заранее спасибо.
|
[
Ответить ]
|
Re: Огнестрельное ранение бедра
Ерсин Жунусов 26 Октябрь 2008, 08:58
|
Ассаламалейкум Джолдас ага!
Ваши клинические примеры убедительно показывают о высокой эффективности интрамедуллярного остеосинтеза при огнестрельных открытых переломах без дефекта костной ткани. У меня есть пациент тоже с огнестрельным открытым переломом на границе н/з и с/з бедра, но с дефектом кости до 3,0 см (ограбление автозаправки, охранник)по нашей классифкации IIISoG1Mo то есть дефекта мягких тканей и повреждения сосудов и нервов нет, но есть дефект кости. При поступлении мною проведена ПХО и наложен стержневой аппарат, дефект кости первичный, но по задней поверхности крупные осколки связанные с надкостницей я сохранил, сейчас рана зажила первичным натяжением. Как Вы думаете если ретроградно заблокировать есть шанс что, зона дефекта срастется без замещения, за счет осколков? Вообще опыт интрамедуллярного остеосинтеза при открытых переломах (неогнестрельного генеза) у нас есть и результаты достаточно не плохие особенно в плане стабильно-функциональности. В принципе мы склонены к биос, но лушче посоветоваться с теми, кто имеет больше опыта. С уважением Ерсин. НИИТО. Астана. зав. множественой травмы.
|
[
Ответить ]
|
Re: Огнестрельное ранение бедра
Отправитель: Alexander Chelnokov 26 Октябрь 2008, 09:13
|
Соображения общего характера, пока снимков нет. Нет разницы, ретро- или антеградно штифтовать. Конечно, мощный гвоздь с толстыми винтами при наличии краевого дефекта достаточен. Если же дефект в итоге все-таки окажется сегментарным, винты рано или поздно сломаются.
Насколько вероятно какое развитие событий - без снимков гадать труднее. Если все-таки вариант с сегментарным дефектом не исключается - пока есть аппарат, можно его домонтировать, чтобы сделать удлинение на другом уровне соответственно компрессии в зоне дефекта. А после этого заштифтовать.
|
[
Ответить ]
|
|
( Ответить )
|
|