ВХОД ДЛЯ ПАЦИЕНТОВ
вверх
поиск
админ
главная
|
МОС бедра, сустава Лисфранка.Тактика? |
 |
 |
 |
Прислано Петр 28 Октябрь 2008, 18:57
из
Здравствуйте , уважаемые коллеги.
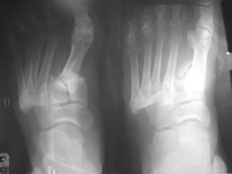
Обратился пациент, мужчина 42лет. для дальнейшего лечения. Травма 11.09., ДТП. 15.09 проведено оперативное лечение фиксаторами.)
(Блокирующий стержень левого бедра - статическая система. Открытое вправление вывиха в суставе Лисфранка и фиксация мет. фиксаторами.) D.S. Переломы диафиза и межмыщелковой области левого бедра, вывих в суставе Лисфранка правой стопы. Состояние после МОС. Через 6 нед. контрольная Ro,( снимки прилагаются).
По тактике дальнейшего лечения мнения разошлись.
По бедру :
1- учитывая межмыщелковый перелом статическая система 3 мес., и перевод в динамическую, наблюдение.
2- При такой Ro - картине будет ложный сустав или рефрактура после удаления стержня, и поэтому идти на пластину с костной пластикой.
По суставу Лисфранка :
1- 8 -9 нед . полный покой в гипсовой шине,а потом дозированная нагрузка.
2- Сейчас (на 7 нед.) пригипсовать каблук под пятку и давать дозированную нагрузку, и на 12 нед, одновременно с переводом статической системы в динамическую провести удаление фиксаторов из стопы.
Какую тактику посоветуете Вы ?.
Обратите внимание: Поля с жирными названиями обязательны.
Старайтесь отвечать в рамках обсуждаемой темы, а не начинать новые обсуждения.
Указывайте адекватную тему сообщения, чтобы было ясно, о чем оно.
Не послайте сообщений не по теме (оффтопик), раздраженных, грубых или обидных комментариев. Здесь это неуместно.
|