AOTRAUMA.ORG Центр Илизарова  

Ортопедия и травматология Общие вопросы/General questions Help Информационные технологии в медицине
 ВХОД ДЛЯ ПАЦИЕНТОВ
 вверх
 поиск
 админ
 главная
 исходное


Re: Перелом таранной кости
послал Djoldas Kuldjanov 15 Ноябрь 2008, 21:23
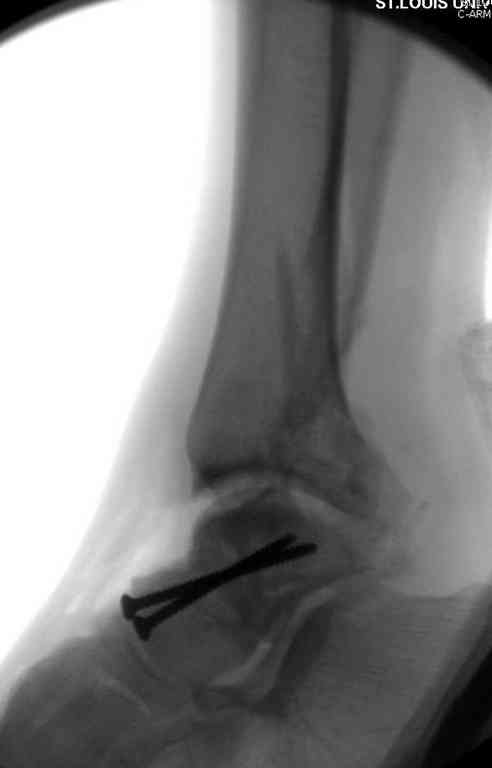
Во множестве случаев перелом таранной кости сопровождается вывихом или с другими переломами стопы или голеностопа. Репозиция переломовывихов таранной кости является ургентной процедурой и должна выполняться независимо от больницы: "заштатной", или это продвинутый центр. Задача дежурного врача в короткие сроки установить таранную кость под плафон большеберцовой кости, и удержание отломков.



Проведение окончательной фиксации зависит от типа повреждений, например медиально открытые переломы с ранами 1-2 степени можно зафиксировать после первой же Irrigation&Debridment.



При случаях, когда невозможно проведения первичной фиксации, временный наружный фиксатор является облегчающим инструментом, потому что создается разгрузка сустава в таранно-большеберцовом сочленении и создаются наилучшие условия для заживления ран.



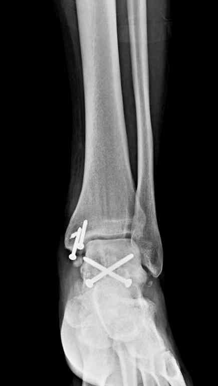
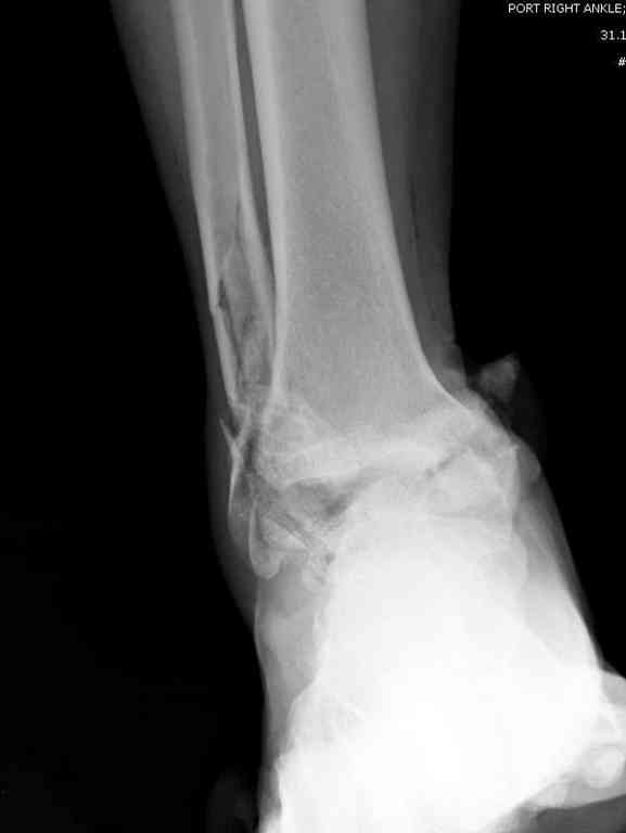
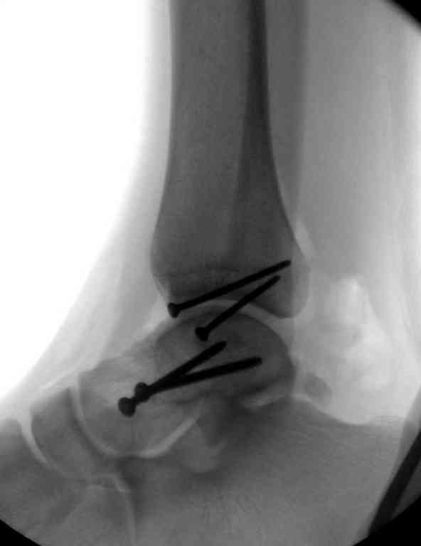
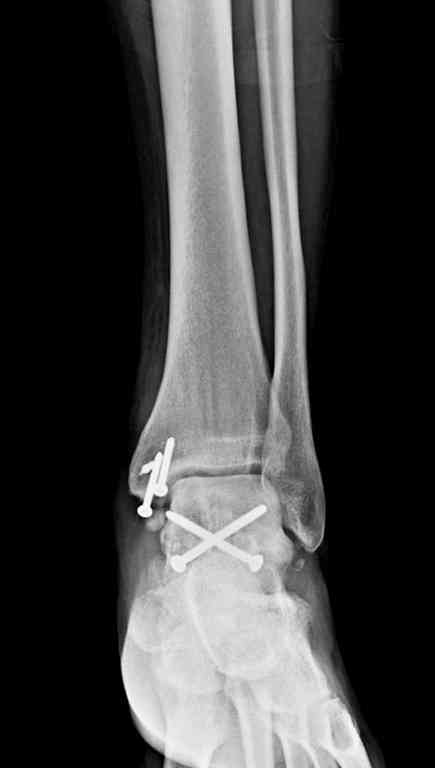
Здесь на фото примеры:




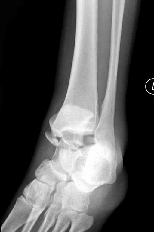
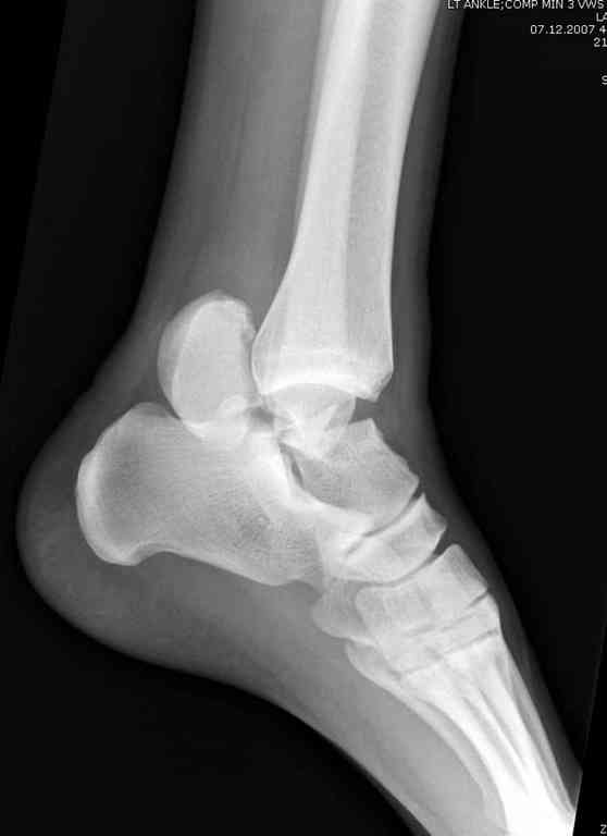
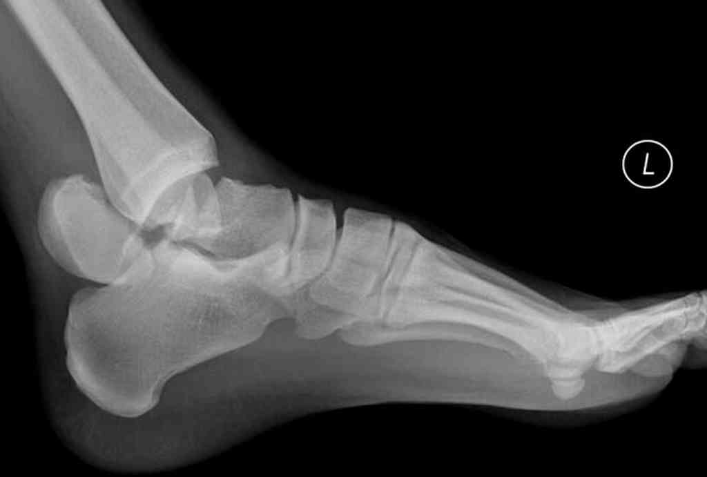
Переломовывих тарана с повреждением медиальной стороны. Через 4 часа после поступления проведена репозиция и фиксация тарана после Irrigation&Debridment. Частичное несращение медиальной лодыжки не беспокоит, вернулся к активному образу жизни. Полная нагрузка разрешена через 11 недель. Финальные снимки через 11 месяцев.



Второй случай прооперирован вчера.


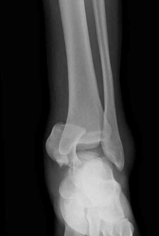
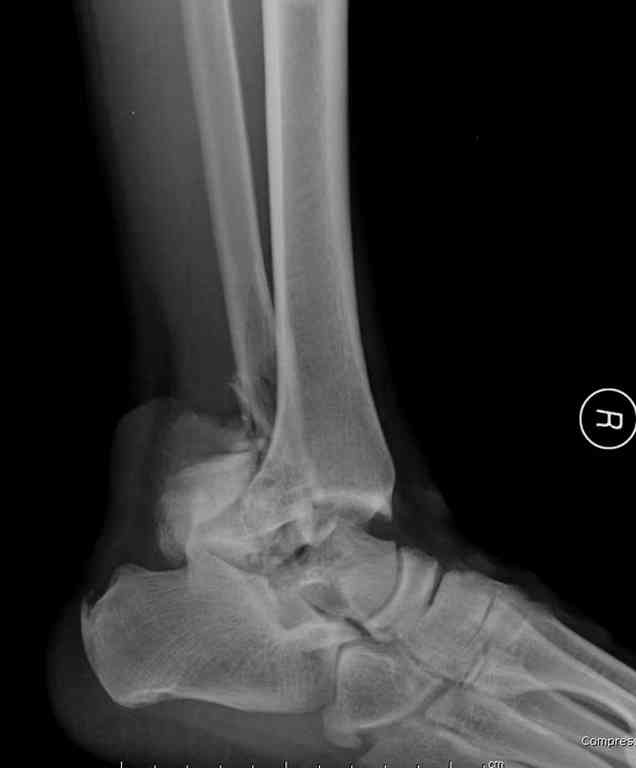
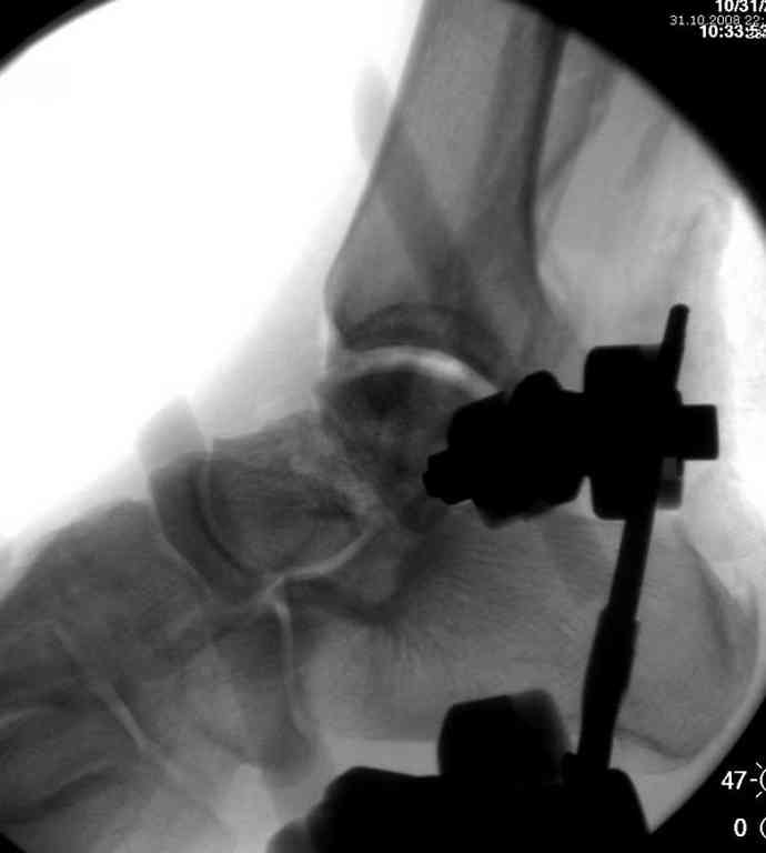
10 дней назад поступил с открытым повреждением медиальной лодыжки и переломо вывихом таранной кости. Ургентно сделана репозиция с наложением наружного фиксатора + Irrigation&Debridment.

Во время репозиции выявили повреждение заднего сухожилия м. тибиалис и задней большеберцовой артерии. Медиальную рану удалось закрыть частично и установлен вакуум.

Дважды провели Irrigation&Debridment с заменой вакуума.

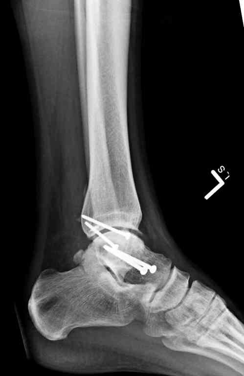
Вчера провели фиксацию.

Из-за многооскольчатости дистальной части малоберцовой, где невозможно было провести фиксацию шурупами, перелом зафиксирован подпирающей пластиной, которая должна служить дополнением отсутствующей дистальной части малоберцовой (lateral cortex substitute).

Для стабильности два шурупа на синдесмоз.

Медиальную рану с приближенными краями продолжаем вакуумировать (KCI). Наружный фиксатор оставлен на пару недель, надеюсь, небольшая рана будет гранулировать и закроется без кожной пластики. Фиксация медиальной ложыжки не планируется.

Djoldas Kuldjanov, MD
Department of Orthopedic Surgery
St. Louis University Medical Center

Послать ответ

Имя
Email
Уведомление Сообщить мне по e-mail об ответах на это сообщение
Название
Комментарий
(Проверьте URL! Не забудьте написать http://!)
Кодировка
Если не знаете, что выбрать, выберите "Просто текст"!
Приложение
Можно приложить к сообщению файл c изображением, который затем будет доступен увидевшим сообщение.
Подготовка иллюстраций:
  • Рентгенограммы: черно-белые полутоновые изображения в формате JPEG (8 bit, greyscale) с разрешением от 300х200 до 1024х768 пикселов;
  • Клинические фотографии: полноцветные изображения в формате JPEG (24 bit, truecolor) с разрешением от 300х200 до 1024х768 пикселов;
  • Схемы и рисунки: черно-белые (2 bit) штриховые (line-art) изображения в формате GIF или compressed TIFF
  • Подберите степень сжатия файла JPEG и размер изображения таким образом, чтобы необходимые детали были различимы, но размер файла не превышал 75 кб.
  • Учтите, что текущая версия программного обеспечения Форума позволяет приложить к одному сообщению лишь один файл-вложение. Поэтому, если необходимо отправить несколько изображений, можно либо послать каждое как отдельное сообщение, либо в графическом редакторе объединить изображения в одно (сделать коллаж).
  • Если при подготовке изображений встречаются трудности, не стесняйтесь обратиться к координатору Форума.

  • Введите видимые символы в обратном порядке. Enter the above characters in reverse order (*Обязательно)
    В тексте сообщения можно использовать теги HTML <B> <I> <P> <A> <LI> <OL> <UL> <EM> <BR> <TT> <HR> <STRONG> <BLOCKQUOTE> <DIV .*> <DIV> <P .*>
  • Обратите внимание: Поля с жирными названиями обязательны.
  • Старайтесь отвечать в рамках обсуждаемой темы, а не начинать новые обсуждения.
  • Указывайте адекватную тему сообщения, чтобы было ясно, о чем оно.
  • Не послайте сообщений не по теме (оффтопик), раздраженных, грубых или обидных комментариев. Здесь это неуместно.
  • Powered by Zope  Squishdot Powered MedLink
    Посетитель: 0380353
      "По форме правильно, а по существу - издевательство" В.И.Ленин
    ©2001-2019Orthoforum Coordinator.
    [ Главная | Отправить сообщение | Поиск | Админ ]