AOTRAUMA.ORG Центр Илизарова  

Ортопедия и травматология Общие вопросы/General questions Help Информационные технологии в медицине
 вверх
 отправить
 поиск
 админ
 главная


Врожденный псведоартроз после 3ей операции
Ортопедия и травматология Отправлено А.В.Владзимирский 14 Ноябрь 2008, 12:38 ДНИИТО
Уважаемые коллеги!
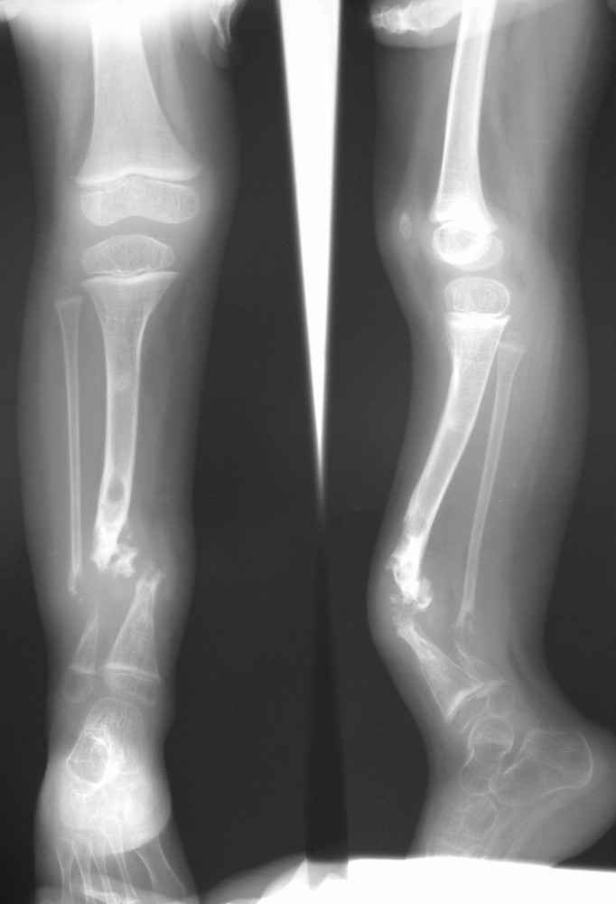
Девочка, 2004 г.р.
Родилась от I беременности, протекавшей с анемией и носительством УПМФ, роды I срочные, осложненные.Дз: Врожденная аномалия правой голени, врожденный ложный сустав, врожденная дисплазия тазобедренных суставов, coxa valga. Нейрофиброматоз, факоматоз.
В 2006 г. - остеоклазия с иммобилизацией циркулярной гипосовой повязкой, в 2007 - интерлок, затем - костная аутопластика, стержневой АВФ.
С 2006 г. определена мышечная дистония.
В 2008 г. впервые со слов родителей установлен диагноз нейрофиброматоз. На МРТ - факоматоз.
Поверхностная ЭМГ от 18.09.2008. - полученные параметры характерны для миопатического синдрома.
Вопрос: какие возможны варианты лечения с учетом тяжелой сопутствующей патологии (нейрофиброматоза)?
Заранее благодарю!

<  |  >

 

  • Сообщения о Ортопедия и травматология
  • Также А.В.Владзимирский
  • Связаться с автором
  • Ответить

    Re: Врожденный псведоартроз после 3ей операции
    Олег 17 Ноябрь 2008, 23:31
    Располагаем опытом лечения более 30 случаев врожденного ложного сустава голени.Ранняя оперативная активность при данной патологии,по нашему мнению вредна и не показана до 3-4 летнего возраста так,как приводит к резкому нарушения кровоснабжения данной области и атрофии костных фрагментов( до этого постоянно ортез или тутор. Методом выбора считаем билокальный остеосинтез с резекцией ложного сустава и одновременным удлинением голени.По поводу сопутствующей патологии необходим постоянный контроль детского невролога и психиатра ( судорожный синдром является противопоказанием аппаратного метода лечения)
    На "диком" западе - однозначно ампутация голени.
    [ Ответить ]

    • Re: Врожденный псведоартроз после 3ей операции
      Отправитель: Alexander Chelnokov 18 Ноябрь 2008, 00:59
      > На "диком" западе - однозначно ампутация голени.

      Что Вы такое говорите. На митингах ASAMI это популярная тема, выступают многие западные коллеги, показывают разные варианты реконструкций. И всякого рода пересадки васкуляризованной надкостинцы даже. В общем, ключ к успеху - добиться утолщения кости в области псевдартроза.

      [ Ответить ]
    • Re: Врожденный псведоартроз после 3ей операции
      Отправитель: Lev Lapidus 19 Ноябрь 2008, 16:06
      Уважаемый Олег.
      Последнее Ваше предложение не делает Вам чести.
      Не надо так пренебрежительно относиться к коллегам.

      Lev Lapidus
      Senior Orthopaedic Surgeon
      Pediatric Orthopaedic Unit,
      Assaf Harofe Medical Center, Zerifin,Israel

      [ Ответить ]
    • Re: Врожденный псведоартроз после 3ей операции
      Отправитель: A. Liberson 19 Ноябрь 2008, 22:11
      I am a delegate of a "wild" east or west - in my hands - Ilizarov as it is currently accepted treatmaent.

      AL

      [ Ответить ]
    Re: Врожденный псведоартроз после 3ей операции
    Ihor 18 Ноябрь 2008, 23:04
    Здравствуйте,уважаемый А.В.Владзимирский

    У нас есть ,небольшой опыт лечения пациентов с данной патологией. Мы проводим оперативное лечение с 4-5-ти летнего возраста. Проводим резекцию ложного сустава, рассверливаем канал большеберцовой кости и используем свободный костный трансплантат с малоберцовой кости. Трансплантат вставляем интраосально ,концы б/б кости сближаем и фиксируем пластинкой .Возможно использовать для фиксации и профилактики рецидивов Тitanium elastic nails
    С уважением Ihor.

    [ Ответить ]

    Re: Врожденный псведоартроз после 3ей операции
    Soul_rio 19 Ноябрь 2008, 00:05
    1 этапом накладывайте аппарат, устраняйте деформаци, достигните переудлиннения на 2-4 см.

    2 этап. Васкуляризованная!!!!! костная пластика зоны ложного сустава свободным малоберцовым трансплантатом.

    P.S. Сделайте ангиографию.
    [ Ответить ]

    Re: Врожденный псведоартроз после 3ей операции
    Игорь Атманский 24 Ноябрь 2008, 20:18
    Уважаемый, А.В.Владзимирский!
    РНЦ "ВТО" им. акад. Г.А. Илизарова имеет уникальный опыт по лечению врожденных аномалий конечностей.
    И.Атманский

    [ Ответить ]


    ( Ответить )

    Powered by Zope  Squishdot Powered MedLink
    Посетитель: 0187156
      "По форме правильно, а по существу - издевательство" В.И.Ленин
    ©2001-2019Orthoforum Coordinator.
    [ Главная | Отправить сообщение | Поиск | Админ ]