Ответить
|
Re: Ложный сустав шейки бедра
Alex 16 Ноябрь 2008, 21:36
|
возможно ли выполнить реостеосинтез шейки бедра
К сожалению, невозможно. В этом случае актуально эндопротезирование. В экзотические методики с использованием Илизаровского аппарата у данной больной лично я не верю...
|
[
Ответить ]
|
Re: Ложный сустав шейки бедра
Димтрий бондарь 16 Ноябрь 2008, 22:31
|
К великому сожалению кроме эндопротезирования другого выхода не существует , увы :(( . миокальцик + препараты кальция = танец с бубном .
А головка , судя по рентген картинке - не живая .
Удачи !
С уважением Д.Б.
|
[
Ответить ]
|
Re: Ложный сустав шейки бедра
Alexander Chelnokov 16 Ноябрь 2008, 23:03
|
ГА> месяцев появились боли в области левого тазобедренного сустава. На
ГА> контрольных снимках обнаружено не сращение шейки левого бедра.
ГА> Регулярно принимала миокальцик + препараты кальция. Прошла курс
ГА> ударно-волновой терапии №10.
А какое отношение миакальцик и препараты кальция имеют к перелому? На деньги, потраченные на аппарат SWT, весь коллектив больницы мог бы
съездить на Канары...
Да и судя по результату, эти замечательные воздействия куда менее эффективны, чем репозиция с легкой вальгизацией и правильный подбор длины шеечного элемента фиксатора.
ГА> Учитывая, что головка бедра живая, возможно ли выполнить
ГА> реостеосинтез шейки бедра? Как это сделать и чем фиксировать?
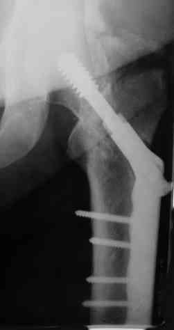
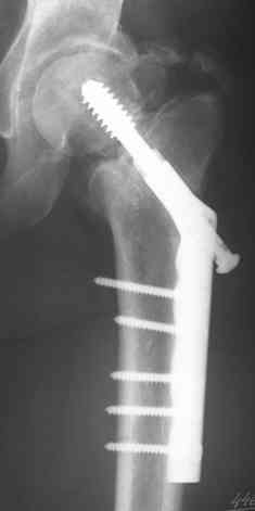
Вальгизирующая остеотомия по Marti с латерализацией, фиксация клинковой
пластиной (см. рис.) - хотя результат менее предсказуем, чем при эндпротезировании.

Вот еще Д. Кулджанов про нее писал.
|
[
Ответить ]
|
Re: Ложный сустав шейки бедра
Отправитель: Гринь Алексей 17 Ноябрь 2008, 17:32
|
С протезированием мне понятно, спасибо.
Александр Николаевич, благодарю за прекрасную деменстрацию остеотомии и за ссылку на Д.Кулджанова.
Меня интересуют технические момены:
1. вкрывается ли область ложного сутава?,
2. рубцы удаляются или нет?
3. выполняется ли какая нибудь пластика?
4. какая (губчатая, кортикальная кость, ортекс и т.д.)?
5. куда пластический материал вводить?
С уважением Гринь Алексей.
|
[
Ответить ]
|
Re: Ложный сустав шейки бедра
Отправитель: Андрей Каминский 17 Ноябрь 2008, 21:20
|
Сращение можно достичь после выполнения медиализирующей межвертельной остеотоми, но функция сустава пострадает значительно. Вполне оправдано применение эндопротезирования с использованием твердых пар трения: керамика-керамика или металл-металл. Последняя, при использовании больших головок, даст больной полное востановление функции.
Каминский А.В., г.Курган.
|
[
Ответить ]
|
Re: Ложный сустав шейки бедра
Отправитель: Alexander Chelnokov 17 Ноябрь 2008, 21:22
|
Dear Андрей.
You wrote:
> Сращение можно достичь после выполнения медиализирующей
Не надо медиализирующей, наоборот, латерализируюшей.
|
[
Ответить ]
|
Re: Ложный сустав шейки бедра
Отправитель: Alexander Chelnokov 17 Ноябрь 2008, 22:54
|
> прекрасную демонстрацию остеотомии
Это у американских коллег где-то нашлось.
> и за ссылку на Д.Кулджанова.
Если на форуме поискать, были и еще обсуждения.
> 1. вскрывается ли область ложного сустава?,
> 2. рубцы удаляются или нет?
> 3. выполняется ли какая нибудь пластика?
Нет, все делается закрыто. Возможно, кто-то и открывал и чего-то вводил при такой остеотомии, но читать про это не доводилось.
|
[
Ответить ]
|
|
Re: Ложный сустав шейки бедра
Рашид Муртузалиевич Тихилов 18 Ноябрь 2008, 22:25
|
Уважаемый Алексей,
В старые добрые времена мы в таких случаях выполняли медиализирующую вальгизирующую остеотомию с костной пластикой линии ложного сустава. К/пластика возможна по двум вариантам: по каналу кортикальным аллографтом, либо с внедрением аутокостного трансплантата из крыла на мышечной ножкке со стороны шейки в головку. Первый вариант к/пластики достаточно деликатный и малотравматичный, второй-более травматичный и технически более сложный.
С ув.Р.Тихилов
|
[
Ответить ]
|
Re: Ложный сустав шейки бедра
Отправитель: Гринь Алексей 19 Ноябрь 2008, 05:32
|
Уважаемый Рашид Муртузалиевич, уточните пожалуйста что такое "кортикальным аллографтом", и как это выполнить.
С ув.Гринь Алексей.
|
[
Ответить ]
|
|
Re: Ложный сустав шейки бедра
Djoldas Kuldjanov 19 Ноябрь 2008, 22:49
|
В основном в тактике лечения несращений шейки бедра существует две группы методик: восстановление кровоснабжения в проксимальной части бедра и заживление ложного суставе путем биомеханической коррекции.
Если по порядку:
fibular osteosynthesis - в 94% успешный результат доложен при применении свободной фибулярной пластики с дополнительным шурупом у детей в возрасте от 8-17 лет, но были трудности удержания достигнутого и у 4 случае закончились кокса варой.
Nagi ON, Dhillon MS, Gill SS J Orthop Trauma 1992;6(3):306-13
Фиксация Quadratus femoris muscle-pedicle graft (MPG) примененый при свежих переломах, и доложенный успех у 95%, только у 5% осложнение АВН, это вызывает скепсис, потому что технически трудно отделить квадратус без повреждения Medial Circumflex Artery.
Johnson KD, Brock G; A review of reduction and internal fixation of adult femoral neck fractures in a county hospital.; J Orthop Trauma 1989;3(2):83-96; Lippincott-Raven
anterior trochanteric muscle-pedicle graft имеет только историческую ценность, потому что в литературе описаны случаи применения в 1926 для туберкулезных суставов. Технические трудности вызывает мобилизация графта на место.
vascularized fibular graft (VFG) вызывает небольшой оптимизм в лечении ложных суставов шейки за счет улучшения кровоснабжения головки бедра, но трудности с экипировкой операционной и наличие специалиста. Главное - это не восстанавливает биомеханику тазобедренного сустава.
Vasculararized iliac bone graft.
Из крыла подвздошной кости и глубокой илиак сиркумфлекс артерии, отрицательные стороны - необходимость переднего расширенного доступа Smith-Peterson и биомеханика.
Несмотря на доложенные хорошие результаты, почти все предложенные методы имеют отрицательную сторону, в основном техническую. Трудность доступа, дополнительная травма при выделении, внутрисуставные работы, а самое главное - ни одна из предложенных методик не восстанавливает длину конечности. В некотрых случаях была необходимость дополнительной фиксации кокситной повязкой.
Поэтому отбрасывая все остальное, считаем, что Intertrochanteric valgus osteotomy или Межвертельная вальгусная остеотомия создает те необходимые биомеханические преимущества, которые восстановят измененную биомеханику.
Среди всех остальных этот вариант является менее инвазивным, отличный результат от 75-90%, отсутствует дополнительный риск повреждения кровоснабжения головки бедра, и главное - биомеханические преимущества.
Results of repositioning osteotomies in delayed healing or pseudarthrosis of the proximal femur. Ballmer FT, Ballmer PM, Mast JW, Ganz R
За счет увеличения сил абдукторов, увеличения сил суставной реакции уменьшается рычаг моментов абдукторов и уменьшается скольжения в зоне ложного сустава и происходит его сращение. Также за счет вальгуса восстановится длина конечности.
Метод успешно применен при случаях когда имелось локальный остеонекроз шейки (доказанный МРТ)
Intertrochanteric osteotomy for non-union of the femoral neck.
Marti RK, Schuller HM, Raaymakers ELJ Bone Joint Surg [Br] 1989 Nov;71(5):782-7
Основной задачей является изменение механики из варуса в вальгус и установка вектора сил перпендикулярно к линии ложного сустава. При восстановлении необходимо учесть, что чрезмерная вальгизация также является нежелательной. Увеличивается сила давления на сустав и на хрящ, что может привести к артрозным изменениям.
Технически все делается внесуставно, без вскрытия места ложного сустава, в положение больного на спине, для облегчения работы ближе к краю операционного стола.
На вертеле делается "срез" в латеральном кортекса для клинка пластины и специальное долото вводится под 90-градусным углом к бедру по заранее приготовленному предоперационному плану.
Делается межвертельная остеотомия с удалением клина в 20-30 градусов в зависимости от шеечно-диафизарного угла, а все остальное сделает 120 градусная Blade Plate.
Для предупреждения вальгуса механической оси конечности необходима латеризация бедра, кусок кости от остеотомии, уложеный между пластиной и латеральным кортексом, латерализует бедренный диафиз.
Из осложнении во время операции, встречали два, первый пенетрация клинком переднего кортекса шейки, и компрессия срывала нижний участок между клинком и линией остеотомии.
Применение С-дуги и небольшое вскрытие сустава спереди шейки предупредит пенетрацию, и преоперационный план поможет избежать осложнений.

На представленных снимках некоторые моменты, предоперационный план, латерализация, расчет длины, ориентир для введения и наборы.
Djoldas Kuldjanov, MD
Department of Orthopedic Surgery
St. Louis University Medical Center
|
[
Ответить ]
|
Re: Ложный сустав шейки бедра
Отправитель: Гринь Алексей 20 Ноябрь 2008, 19:32
|
Уважаемый Джолдас, сердечно Вас благодарю за прекрасные коментарии. Вы рассеяли мои сомнения по выбору тактики лечения.
С уважением Гринь Алексей.
|
[
Ответить ]
|
|
Re: Ложный сустав шейки бедра
Игорь Атманский 24 Ноябрь 2008, 20:29
|
Эндопротезирование в 39 лет это действительно не самый лучший вариант, особенно когда о выживаемости протеза до 30 лет говорят для пациентов, которым эту операцию выполняют в среднем в возрасте 60-65 лет. Но 7 мес. после перелома это большой срок для проведения реконструктивных операций. Субхондральный склероз свидетельствует скорее всего о том, что головка, не смотря на её внешний вид по рентгенограммам, "мертва". На фоне эндокринных нарушений у пациентки артропастика скорее всего обречена на неудачу. Имею собственный не очень удачный опыт реконструктивных операций "экзотическими методиками с использованием аппарата Илизарова" в аналогичных случаях. В настоящее время предпочёл бы эндопротезирование. В менее отягощённых условиях методика, приведённая D. Kuldjanov - вальгизация с латерализаций, даёт потрясающие результаты. Правда имею опыт только остеосинтезом аппаратом Илизарова.
С уважением, И.Атманский.
|
[
Ответить ]
|
( Ответить )
|
|