ВХОД ДЛЯ ПАЦИЕНТОВ
вверх
поиск
админ
главная
исходное
|
Семинар по остесинтезу таза с демонстрацией операции
послал Атом Тер-Григорян 03 Декабрь 2008, 05:16
|

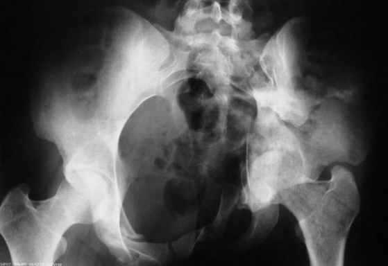
Рентгенограмма до операции
Перелом. Внутритазовый обзор.
Остеосинтез подвздошной кости
Укладка тазовой пластины "matta"
Операционная. Оперирует д.м.н. проф. Казанцев А.Б.
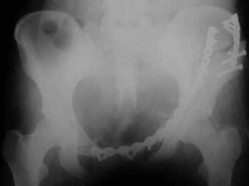
Рентгенограмма после операции. Изв. за качество. На днях переделаем.
|
| Послать ответ |
Обратите внимание: Поля с жирными названиями обязательны.
Старайтесь отвечать в рамках обсуждаемой темы, а не начинать новые обсуждения.
Указывайте адекватную тему сообщения, чтобы было ясно, о чем оно.
Не послайте сообщений не по теме (оффтопик), раздраженных, грубых или обидных комментариев. Здесь это неуместно.
|