AOTRAUMA.ORG Центр Илизарова  

Ортопедия и травматология Общие вопросы/General questions Help Информационные технологии в медицине
 вверх
 отправить
 поиск
 админ
 главная


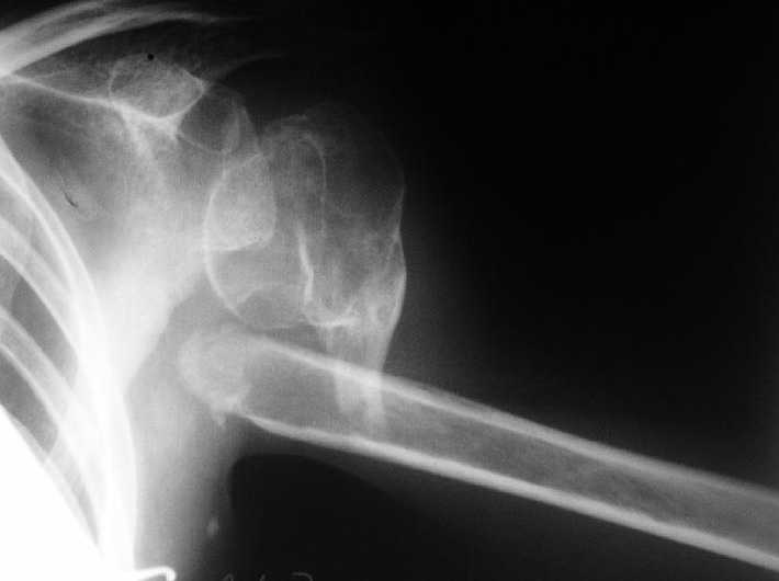
Несращение плеча, деформация головки
Ортопедия и травматология Отправлено Андрей Богаткин 03 Декабрь 2008, 21:48
Здравствуйте уважаемые коллеги.Помогите, пожалуйста, определиться с тактикой.Больная 40 лет, множественная травма в июне 2007 года. Лечилась в городской больнице.
Повреждение проксимального отдела плеча вели консервативно в гипсовой повязке. В настоящее время больную беспокоят боли в области плечевого сустава, слабость верхней конечности. Амплитуда движений в плечевом суставе в пределах 30-40 градусов. Пациентка хотела бы увеличить объем движений и силу.Движения сейчас в основном за счет ложногго сустава. Варанты - остеосинтез, артролиз, эндопротезирование, оставить как есть. Как-то н один однозначно не привлекает.

<  |  >

 

  • Сообщения о Ортопедия и травматология
  • Также Андрей Богаткин
  • Связаться с автором
  • Ответить

    Re: Несращение плеча, деформация головки
    Ivan Petrov 03 Декабрь 2008, 22:42
    Как насчет артродеза в функционально выгодном положении? Головку можно использовать как пластический материал для артродеза.
    [ Ответить ]

    Re: Несращение плеча, деформация головки
    Максим Королев 04 Декабрь 2008, 07:58
    Андрей! На мой взгляд 40 лет и жить с "такой" рукой помоему не очень хочеться. Я бы сделал КТ с целью оценить жизнеспособность головки плечевой кости. И выбор по ситуации: при выраженом асептическом некрозе-ревизионное эндопротезирование, при жизнеспособной-резекция
    ложного сустава, декортикация и фиксация блокируемой пластиной-ранняя разработка амплитуды движний в плечевом суставе. Думаю что не все
    потеряно для данной пациентки. Успехов.
    Максим Королев.
    [ Ответить ]

    Re: Несращение плеча, деформация головки
    Александр Геннадьевич Рыков 04 Декабрь 2008, 07:59
    Нужно пытаться добиться сращения методами открытого остеосинтеза с прогнозированием в будующем эндопротезирования (если надо будет). Будет
    нелегко. Удачи. А Рыков Хабаровск.
    [ Ответить ]

    Re: мЕЯПЮЫЕМХЕ ОКЕВЮ, ДЕТНПЛЮЖХЪ ЦНКНБЙХ
    юМРНМ фЮЦКХМ 04 Декабрь 2008, 13:14
    юМДПЕИ! оПЕДКЮЦЮРЭ ОЮЖХЕМРЙЕ ДЮКЭМЕИЬСЧ "ЯВЮЯРКХБСЧ" ФХГМЭ Я НАЕГДБХФЕММНИ Б "БШЦНДМНЛ" ТСМЙЖХНМЮКЭМНЛ ОНКНФЕМХХ ПСЙНИ, ДСЛЮЧ, ОПЕФДЕБПЕЛЕММН. бМЮВЮКЕ МЕНАУНДХЛН ДСЛЮРЭ НА НЯРЕНЯХМРЕГЕ Я НЯНАШЛ БМХЛЮМХЕЛ НРМЕЯРХЯЭ ОПХ ЩРНЛ Й ХЯЯКЕДНБЮМХЧ ЯНЯРНЪМХЪ ПНРЮРНПМНИ ЛЮМФЕРШ ОКЕВЮ. б ЯКСВЮЕ ОНДРБЕПФДЕММНИ МЕФХГМЕЯОНЯНАМНЯРХ ЦНКНБЙХ ОКЕВЕБНИ ЙНЯРХ Х ЙЮЙ ОНЯКЕДМХИ БЮПХЮМР, ДСЛЮРЭ НА ЩМДНОПНРЕГХПНБЮМХХ. щМДНОПНРЕГ ДНКФЕМ АШРЭ НАЪГЮРЕКЭМН РНРЮКЭМШИ (Я ЦКЕМНХДМШЛ ЙНЛОНМЕМРНЛ).
    я СБЮФЕМХЕЛ, фЮЦКХМ ю.б., цйа╧67 лНЯЙБЮ
    [ Ответить ]

    Re: мЕЯПЮЫЕМХЕ ОКЕВЮ, ДЕТНПЛЮЖХЪ ЦНКНБЙХ
    юМРНМ фЮЦКХМ 04 Декабрь 2008, 14:23
    юМДПЕИ! оПЕДКЮЦЮРЭ ОЮЖХЕМРЙЕ ДЮКЭМЕИЬСЧ "ЯВЮЯРКХБСЧ" ФХГМЭ Я НАЕГДБХФЕММНИ Б "БШЦНДМНЛ" ТСМЙЖХНМЮКЭМНЛ ОНКНФЕМХХ ПСЙНИ, ДСЛЮЧ, ОПЕФДЕБПЕЛЕММН. бМЮВЮКЕ МЕНАУНДХЛН ДСЛЮРЭ НА НЯРЕНЯХМРЕГЕ Я НЯНАШЛ БМХЛЮМХЕЛ НРМЕЯРХЯЭ ОПХ ЩРНЛ Й ХЯЯКЕДНБЮМХЧ ЯНЯРНЪМХЪ ПНРЮРНПМНИ ЛЮМФЕРШ ОКЕВЮ. б ЯКСВЮЕ ОНДРБЕПФДЕММНИ МЕФХГМЕЯОНЯНАМНЯРХ ЦНКНБЙХ ОКЕВЕБНИ ЙНЯРХ Х ЙЮЙ ОНЯКЕДМХИ БЮПХЮМР, ДСЛЮРЭ НА ЩМДНОПНРЕГХПНБЮМХХ. щМДНОПНРЕГ ДНКФЕМ АШРЭ НАЪГЮРЕКЭМН РНРЮКЭМШИ (Я ЦКЕМНХДМШЛ ЙНЛОНМЕМРНЛ).
    я СБЮФЕМХЕЛ, фЮЦКХМ ю.б., цйа╧67 лНЯЙБЮ

    [ Ответить ]


    ( Ответить )

    Powered by Zope  Squishdot Powered MedLink
    Посетитель: 0388451
      "По форме правильно, а по существу - издевательство" В.И.Ленин
    ©2001-2019Orthoforum Coordinator.
    [ Главная | Отправить сообщение | Поиск | Админ ]