AOTRAUMA.ORG Центр Илизарова  

Ортопедия и травматология Общие вопросы/General questions Help Информационные технологии в медицине
 вверх
 отправить
 поиск
 админ
 главная


перелом большеберцовой кости
Ортопедия и травматология Отправлено Алексей 05 Декабрь 2008, 12:09 ЦРБ
больной 30ти лет получил травму в быту, подвернул левую голень.
На данный момент на скелетном вытяжении.рентген снимки прилагются.Какие будут у вас мнения по поводу остеосинтеза. Были ли у вас подобные случаи и какие методы вы бы предложили.

<  |  >

 

  • Сообщения о Ортопедия и травматология
  • Также Алексей
  • Связаться с автором
  • Ответить

    Re: перелом большеберцовой кости
    Иван Владимирович 05 Декабрь 2008, 16:34
    здравствуйте Алексей. ситуация не простая. в данном случае мы имеем многооскольчатый перелом б\берцовой кости. помогать надо. можно применить малоинвазивный синтез в виде пластины с угловой стабильностью. восстановить длину конечности и ось. на самом переломе можно не вмешиваться положить мостовидно. если у Вас нет такой технологии то как минимум поправить вытяжение. думать об интрамедуллярной фиксации я бы не советывал. Удачи.
    [ Ответить ]

    Re: перелом большеберцовой кости
    Сергей 05 Декабрь 2008, 17:59
    здравствуйте. но рентгенограмме не видно проксимального отдела большеберцовой кости, если там повреждений нет, то почему так категорично против БИОС? На мой взгляд вполне возможно заштифтовать закрыто. кстати, перелом закрытый или открытый?
    [ Ответить ]

    • Re: перелом большеберцовой кости
      Отправитель: Алексей 05 Декабрь 2008, 19:27
      Перелом закрытый, пока ведем на скелетном вытяжении.


      [ Ответить ]
    Re: перелом большеберцовой кости
    Djoldas Kuldjanov 05 Декабрь 2008, 20:23
    "Были ли у вас подобные случаи и какие методы вы бы предложили."???

    Ну коллеги, слов нет, что это значит?
    Кому надо консультацию по поводу тактики лечения низкоэнергетического перелома голени?
    Может быть, больной находится в отделении хирургии, где, кроме стабилизации перелома голени, больной нуждается в стабилизации других органов?
    Здесь сайт для ортопедов, мне кажется, любой травматолог даже из ЦРБ знает каноны лечения банального перелома голени.
    Может быть, я упустил скрытые моменты, обосновывающие необходимость консультации на уровне Форума?

    Вообще для консультации необходимо полное обследование больного, особенно интересует проксимальный отдел, имеются ли рентгеновские снимки конечности с захватом суставов?

    А так, при изолированных переломах, если имеется - гвоздь интрамедуллярно, нет гвоздя - аппарат, ну совсем ничего - простой гипс, ведь травма-то низкоэнергетическая.


    Djoldas Kuldjanov, MD
    Department of Orthopedic Surgery
    St. Louis University Medical Center
    [ Ответить ]

    • Re: перелом большеберцовой кости
      Отправитель: Adonin 06 Декабрь 2008, 20:21
      совершенно согласен, проблема "выеденного яйца не стоит"


      Однако... Как видите, первая же рекомендация - "только пластина, и никаких гвоздей!". Кстати, хотелось бы услышать, почему :)

      [ Ответить ]
    • Re: перелом большеберцовой кости
      Отправитель: В.Машталов 08 Декабрь 2008, 19:39
      Уважаемый Джолдас!!!
      Вы писали
      > Кому надо консультацию по поводу тактики лечения низкоэнергетического
      > перелома голени?
      > Здесь сайт для ортопедов, мне кажется, любой травматолог даже из ЦРБ знает
      > каноны лечения банального перелома голени.


      Только для Вас :) открою один секрет - не все травматологи из ЦРБ знают как ПРАВИЛЬНО лечить банальные переломы голени, а фрагментарно оскольчатые тем более.
      Нет, открою два секрета:), второй - не все хотят узнать как ПРАВИЛЬНО лечить банальные переломы голени.
      Сам факт обращения молодого коллеги на форум похвален, ОН хочет узнать как правильно лечить! Я предполагаю, что коллега почитав наш форум, сходил на АО страницы, и т.д. принял для себя какое-то решение о виде остеиснтеза, но не имея рядом в ЦРБ (а это часто бывает - уже третий секрет) поддержку старших опытных товарищей, ишет поддержку в лице нашего форума.

      Мой совет молодому коллеге - этот перелом можно вылечить консервативно, на скелетном вытяжении устранить деформацию, 3-4 недели , далее перевод на гипсоваю повязку.
      Может не современно, но в Ваших условиях более прогнозируемо, исходя из 2-х принципов 1- не навредить 2- самый малоинвазивный метод лечения-
      консервативный.
      Что-бы сейчас сделал я- БИОС т.к. уже давно разучился лечить скелетным вытяжением и в случаи проблем научился обосновывать (читай оправдываться) свои ошибки.
      С ув. В. Машталов

      [ Ответить ]
      • Re: перелом большеберцовой кости
        Отправитель: Ерсин Жунусов 10 Декабрь 2008, 20:01
        Уважаемый коллега! Я тоже согласен с Вами. Вчера только выезжал в ЦРБ (тяжелая политравма),всего 120 км от столицы полный ноль. не то что о штифтах или LCP о самом элементарном можно мечтать. елси нет возмножности лучше не навредить, в крайнем случае при стабилизации общего состояния скелетное вытяжение перевести на лонгету или циркулярку и направить в ближайщую травматологическую клинику, а мы советуем общему хирургу из ЦРБ делай то или другое, а потом когда видим последствия хаватаемся за голову, кто это делал? надо ему оторвать что-то и т.д. я тоже согласен мнением о том, что коллега из ЦРБ правильно поступил, обратился на форум и мне кажестя не надо стесняться спрашивать. Как говорят "век живи век учись". С уважением Ерсин Жунусов, зав отд множеств травмы НИИТО Астана.

        [ Ответить ]
      • Re: перелом большеберцовой кости
        Отправитель: Djoldas Kuldjanov 10 Декабрь 2008, 20:13
        Привет Владимир,

        Конечно, я понял свою ошибку. Кстати, на второй же день обратился к Алексею с извинением за несдержанный комментарий по поводу его случая.
        Спасибо Алексею, я был реабилитирован за допущенную ошибку, и мы нашли понимание.

        Спасибо всем.

        [ Ответить ]
    Re: перелом большеберцовой кости
    Ivan Petrov 10 Декабрь 2008, 23:55
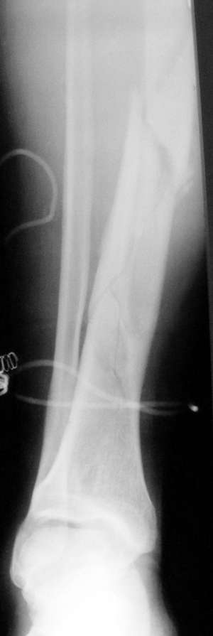
    В условиях "виртуальной" ЦРБ, обсуждаемой в данном топике, однозначно я рекомендовал бы аппарат Илизарова. В нижней трети голени репозиция отломков контролируется пальпаторно, что делает ненужным применение ЭОП, столь необходимого для БИОС. Если говорить о пластине, то из-за отсутсвия мышц на данном участке возможно лишь применение низкопрофильных конструкций с угловой стабильностью, вряд ли доступных в ЦРБ.На прилагаемых рентгенограммах аппарат Илизарова наложенный практический "вслепую" (1 рентгенконтроль в конце операции).
    Кликните для загрузки файла Lower leg.jpg
    333KB (341858 bytes)

    [ Ответить ]


    ( Ответить )

    Powered by Zope  Squishdot Powered MedLink
    Посетитель: 0000168
      "По форме правильно, а по существу - издевательство" В.И.Ленин
    ©2001-2019Orthoforum Coordinator.
    [ Главная | Отправить сообщение | Поиск | Админ ]