вверх
отправить
поиск
админ
главная
Предыдущее
|
Re: Перелом голени
Андрей Волна 06 Декабрь 2008, 22:43
|
Уважаемые коллеги, случай интересен прежде всего тем, что в данном переломе присутствуют два компонента - внутрисуставной и метадиафизарный, требующих соблюдения разных принципов при хирургическом лечении. Для внутрисуставного компонента необходима анатомичная репозиция с межфрагментарной компрессией и достижением абсолютной стабильности. При наличии импрессии надо быть готовым к замещению дефекта. Артротомию выполнять придётся, но она может быть достаточно деликатной, что, впрочем, не всегда возможно. И здесь хорошим подспорьем является предварительно наложенный аппарат внешней фиксации. Для артроскопически ассоциированной репозиции всё-таки лучше подходят случаи с преобладанием импрессии, а не раскалывания, как у данного пациента.
Для метадиафизарной части этого повреждения обнажение перелома с анатомичной репозицией не является абсолютно необходимым, и, более того, неизбежно приведёт к деваскуляризации кости и возможным проблемам с заживлением перелома. Для этой части перелома желательно шинирование без обнажения зоны перелома. Шинирование может быть интрамедуллярным соответствующим гвоздём или экстрамедуллярным (пластиной или аппаратом внешней фиксации). Главное для метадиафизарной части перелома - это восстановление длины, оси конечности с правильной ротационной установкой и достижением относительной стабильности.
В заключение - клинический пример хирургического лечения похожего перелома из моего архива (1,2). После анатомичной репозиции суставной поверхности с введением стягивающего винта замещён дефект (3,4). Метадиафизарная часть перелома шинирована блокированной пластиной без обнажения отломков (5,6,7).

С уважением, Андрей Волна
|
|
|
Ответить
|
Re: Перелом голени
Наврась Олег 07 Декабрь 2008, 23:27
|
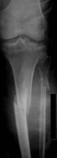
Большое спасибо! Благодаря Вашим советам я принял решение начать с артротомии, остеосинтеза мыщелков стягивающими винтами. С последующим остеосинтезом пластиной с угловой стабильностью. От артроскопии решил отказаться. Посоветуйте, пожалуйста, какова должна быть длина пластины (кол-во отверстий по диафизу). Это важно, так как пациентка приобретает конструкцию. И большого выбора на операции у меня не будет (максимум 2-3 пластины), поскольку в наличии наких конструкций в клинике нет. Фирма заказывает их в Польше. Мне нужно заказать конкретных 2-3 пластины и винты к ним. На снимке - выбраная мной пластина, но я не уверен насчет длины.
|
[
Ответить ]
|
Re: Перелом голени
Отправитель: А.Ситник 08 Декабрь 2008, 20:33
|
Уважаемый Олег,
Длина пластин в зависимости от количества отверстий должна быть указана в каталоге. Соответственно можно померять почти прямо по снимку с учетом его увеличения. Похоже пластины на 8 диафизарных отверстий будет вполне идостаточно, если закажете ещзе на 10 и 12 - фирма не обидится - т.к. при наличии пластинм подходящий перелом появится быстро:)
Удачи,
А.Ситник
|
[
Ответить ]
|
|
( Ответить )
|
|